Помогите разобраться!Образование головного мозга.

   

 

  Мужчина без направления.Жалобы на потерю памяти,шум в ушах в течение последнего года.

                

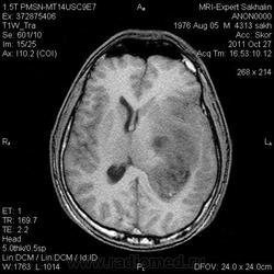
Постконтраст:

                

Заподозрила образование  из сосудистого сплетения заднего рога бокового желудочка  .Смещение срединных структур.Здесь отек смешанного типа?

  • https://radiomed.ru/sites/default/files/styles/case_slider_image/public/user/5662/rom14.jpg?itok=06eprSYN
  • https://radiomed.ru/sites/default/files/styles/case_slider_image/public/user/5662/rom15.jpg?itok=xPhfPbI5
  • https://radiomed.ru/sites/default/files/styles/case_slider_image/public/user/5662/rom16.jpg?itok=dczaYIKV
  • https://radiomed.ru/sites/default/files/styles/case_slider_image/public/user/5662/rom17.jpg?itok=wnHqs2VS
  • https://radiomed.ru/sites/default/files/styles/case_slider_image/public/user/5662/rom18.jpg?itok=CEWXpBUf
  • https://radiomed.ru/sites/default/files/styles/case_slider_image/public/user/5662/rom19.jpg?itok=WXqq-5ZB
  • https://radiomed.ru/sites/default/files/styles/case_slider_image/public/user/5662/rom20.jpg?itok=pAlVH0CO
  • https://radiomed.ru/sites/default/files/styles/case_slider_image/public/user/5662/rom22.jpg?itok=qZ14sjFN
  • https://radiomed.ru/sites/default/files/styles/case_slider_image/public/user/5662/rom23.jpg?itok=jG1K79o-
  • https://radiomed.ru/sites/default/files/styles/case_slider_image/public/user/5662/rom24.jpg?itok=ng4DbJzj
  • https://radiomed.ru/sites/default/files/styles/case_slider_image/public/user/5662/rom25.jpg?itok=R3Ge-oDK
  • https://radiomed.ru/sites/default/files/styles/case_slider_image/public/user/5662/rom26.jpg?itok=9ovo8Dq8
  • https://radiomed.ru/sites/default/files/styles/case_slider_image/public/user/5662/rom27.jpg?itok=pJpzlliA
  • https://radiomed.ru/sites/default/files/styles/case_slider_image/public/user/5662/rom28.jpg?itok=8LYEI_XN
  • https://radiomed.ru/sites/default/files/styles/case_slider_image/public/user/5662/rom29.jpg?itok=qlTxzurQ
  • https://radiomed.ru/sites/default/files/styles/case_slider_image/public/user/5662/rom30.jpg?itok=_bIklZb5
  • https://radiomed.ru/sites/default/files/styles/case_slider_image/public/user/5662/rom31.jpg?itok=DJ3SrAr5
  • https://radiomed.ru/sites/default/files/styles/case_slider_image/public/user/5662/rom32.jpg?itok=-pwnYp3k
  • https://radiomed.ru/sites/default/files/styles/case_slider_image/public/user/5662/rom33_0.jpg?itok=vukAzmWi
  • https://radiomed.ru/sites/default/files/styles/case_slider_image/public/user/5662/rom34_0.jpg?itok=J9K7vb2D
  • https://radiomed.ru/sites/default/files/styles/case_slider_image/public/user/5662/rom35_0.jpg?itok=wPHS4UhP
ID:51977
irena аватар
Не на сайте
Был на сайте: 9 лет 7 месяцев назад
Зарегистрирован: 28.09.2009 - 13:00
Публикации: 289

опухоль с патологически расширенными сосудами в ее строме.

Helios аватар
Не на сайте
Был на сайте: 8 месяцев 1 день назад
Зарегистрирован: 06.08.2010 - 15:16
Публикации: 4417

Ирена, а опухоль предположительно  может исходить из заднего рога бокового желудочка?

nnemo аватар
Не на сайте
Был на сайте: 11 лет 1 месяц назад
Зарегистрирован: 13.09.2011 - 18:32
Публикации: 561

Может зло из желудочка?

Helios, на 2 минуты меня опередили :)

Мыслим в одном направлении...

Катенёв Валентин Львович аватар
Не на сайте
Был на сайте: 7 лет 4 недели назад
Зарегистрирован: 22.03.2008 - 22:15
Публикации: 54876

Совершенно не "рублю" я в этой области, вижу, что объём. Может быть кавернома?

nnemo аватар
Не на сайте
Был на сайте: 11 лет 1 месяц назад
Зарегистрирован: 13.09.2011 - 18:32
Публикации: 561

irena wrote:

опухоль с патологически расширенными сосудами в ее строме.

Irena, подскажите, пожалуйста: если это сосуды с движущейся кровью - почему  они гипер на Т2W, а если они тромбированы - почему гипо на Т1W. Кроме того, если это сосуды, почему такое неубедительное контрастирование?

Helios, какой парамагниетик используете какая дозировка?

Всем заранее спасибо... :)

Helios аватар
Не на сайте
Был на сайте: 8 месяцев 1 день назад
Зарегистрирован: 06.08.2010 - 15:16
Публикации: 4417

nnemo, я сразу заподозрила , что образование из желудочка-см.начало.

Используем Омнискан 10.0( 2.700-стоит-сразу  упреждаю вопросы!).

nnemo аватар
Не на сайте
Был на сайте: 11 лет 1 месяц назад
Зарегистрирован: 13.09.2011 - 18:32
Публикации: 561

У меня другое подданство... 2700 - меня не пугает :)

А почему так мало? от 2 мл/кг массы; по моему зря экономим...

Евгений Второй аватар
Не на сайте
Был на сайте: 4 дня 15 часов назад
Зарегистрирован: 13.09.2011 - 22:00
Публикации: 1772

Вряд ли это из желудочка, височный рог (кажется) виден на одном из сканов, он не расширен. Скорее всего глиальная опухоль. А то, что выглядит как асширенные сосуды - скорее всего кистозные полости.

Катенёв Валентин Львович аватар
Не на сайте
Был на сайте: 7 лет 4 недели назад
Зарегистрирован: 22.03.2008 - 22:15
Публикации: 54876

Евгений Второй wrote:
Скорее всего глиальная опухоль. А то, что выглядит как асширенные сосуды - скорее всего кистозные полости.

Т.е. глиома, или глиобластома?

irena аватар
Не на сайте
Был на сайте: 9 лет 7 месяцев назад
Зарегистрирован: 28.09.2009 - 13:00
Публикации: 289

 Irena, подскажите, пожалуйста: если это сосуды с движущейся кровью - почему они гипер на Т2W, а если они тромбированы - почему гипо на Т1W. Кроме того, если это сосуды, почему такое неубедительное контрастирование?.

Вы правы, я затупила- смторела на  flaer , а думала о Т2 , конечно  же это никакие не сосуды , а кистозные полости.  

nnemo аватар
Не на сайте
Был на сайте: 11 лет 1 месяц назад
Зарегистрирован: 13.09.2011 - 18:32
Публикации: 561

Евгений Второй wrote:
Вряд ли это из желудочка, височный рог (кажется) виден на одном из сканов, он не расширен. Скорее всего глиальная опухоль. А то, что выглядит как асширенные сосуды - скорее всего кистозные полости.

вот и я об этом (по моему сомнительно про сосуды)... Но по поводу "из желудочка" - пока свою точку зрения не измененил... Даже если мы увидели височный рог - что это меняет?

как говорят на ЦТ в новостях - Евгений!? (Второй)

Евгений Второй аватар
Не на сайте
Был на сайте: 4 дня 15 часов назад
Зарегистрирован: 13.09.2011 - 22:00
Публикации: 1772

Обычно опухоли желудочков вызывают регионарную гидроцефалию.

unre_ALL аватар
Не на сайте
Был на сайте: 7 лет 12 месяцев назад
Зарегистрирован: 15.09.2010 - 14:52
Публикации: 187

Не характерный тип накопления при эпиндимоме (если подозреваете желудочек),  и тем более для сосудистой неоплазии, к тому же слишком большой мягкотканный компонент.

 

Отсутсвие накопления  позволяет предположить глиальную опухоль высокой степени дифференцировки.

Справедливости ради, нужно отметить необычность наблюдения, а именно эти преусловутые кисты. Что это за кисты, каков их патогенез? На аксиальных сканах выглядит как длинная тонкая исчерченность.  В результате некроза?  99% что нет. Похожи или на аксональную дегенерацию или сосуды. Я склоняюсь ко второму, быть может оборвавшийся неоангиогенез, слепо заканчивающиеся зачатки патологического сосудистого русла,  со сверхнизким кровотоком.  Хотя это не укладывается в высокодифференцированную опухоль. 

 

P.S. To Helios: хватит выкладывать наблюдения, которые на 30-40 минут выносят из рабочего графика. Клади что-нибудь простое, отписался по быстрому и закрыл :)

 

С Уважением :)

 

 

 

 

 

-------------------------------------------------------------------------------------------------

Я получил счет от хирургов. Теперь мне понятно, почему эти парни работают в масках. 

Helios аватар
Не на сайте
Был на сайте: 8 месяцев 1 день назад
Зарегистрирован: 06.08.2010 - 15:16
Публикации: 4417

unre_ALL wrote:
 

P.S. To Helios: хватит выкладывать наблюдения, которые на 30-40 минут выносят из рабочего графика. Клади что-нибудь простое, отписался по быстрому и закрыл :

Аха-взвыли уже!!!!!!А у меня времени вообще нет-с колес работаю-провели исследование-подавай протокол немедленно))Подумать не дают.

unre_ALL аватар
Не на сайте
Был на сайте: 7 лет 12 месяцев назад
Зарегистрирован: 15.09.2010 - 14:52
Публикации: 187

угу.. это минус работы в платных и VIPдипломатических службах. В последних так вообще регламент по времени  на все исследования, не крутанешь лишний раз, ни туды и ни сюды. На протоколе надпись "заключение выдано в 14:37". По мне так чистое, 100%  варварство

 

-------------------------------------------------------------------------------------------------

Я получил счет от хирургов. Теперь мне понятно, почему эти парни работают в масках. 

nnemo аватар
Не на сайте
Был на сайте: 11 лет 1 месяц назад
Зарегистрирован: 13.09.2011 - 18:32
Публикации: 561

unre_ALL wrote:

Не характерный тип накопления при эпиндимоме (если подозреваете желудочек),  и тем более для сосудистой неоплазии, к тому же слишком большой мягкотканный компонент.

 

Отсутсвие накопления  позволяет предположить глиальную опухоль высокой степени дифференцировки.

Справедливости ради, нужно отметить необычность наблюдения, а именно эти преусловутые кисты. Что это за кисты, каков их патогенез? На аксиальных сканах выглядит как длинная тонкая исчерченность.  В результате некроза?  99% что нет. Похожи или на аксональную дегенерацию или сосуды. Я склоняюсь ко второму, быть может оборвавшийся неоангиогенез, слепо заканчивающиеся зачатки патологического сосудистого русла,  со сверхнизким кровотоком.  Хотя это не укладывается в высокодифференцированную опухоль. 

 

P.S. To Helios: хватит выкладывать наблюдения, которые на 30-40 минут выносят из рабочего графика. Клади что-нибудь простое, отписался по быстрому и закрыл :)

 

С Уважением :)

 

 

Отличный ход мысли unre_ALL, все здорово, блеск!!!, но все равно мы вместе уперлись в дверь на которой висит табличка "Гистолог"...

P.S. Да уж, Helios уж как что выложит, так полдня насмарку... ;)

Popovpavel аватар
Не на сайте
Был на сайте: 7 лет 3 месяцев назад
Зарегистрирован: 08.06.2009 - 00:23
Публикации: 649

Катенёв Валентин Львович wrote:

Евгений Второй wrote:
Скорее всего глиальная опухоль. А то, что выглядит как асширенные сосуды - скорее всего кистозные полости.

Т.е. глиома, или глиобластома?

Согласен с Евгением. Больше похожа на анапластическу глиому - астроцитому или олигодендроглиому. У глиобластомы, как правило, преобладает кистозный компонент.

Popovpavel аватар
Не на сайте
Был на сайте: 7 лет 3 месяцев назад
Зарегистрирован: 08.06.2009 - 00:23
Публикации: 649

unre_ALL wrote:

Что это за кисты, каков их патогенез? На аксиальных сканах выглядит как длинная тонкая исчерченность.  В результате некроза?  99% что нет. Похожи или на аксональную дегенерацию или сосуды. Я склоняюсь ко второму, быть может оборвавшийся неоангиогенез, слепо заканчивающиеся зачатки патологического сосудистого русла,  со сверхнизким кровотоком. 

А почему вы думаете, что эти "кисты" не могут быть некрозом?

Helios аватар
Не на сайте
Был на сайте: 8 месяцев 1 день назад
Зарегистрирован: 06.08.2010 - 15:16
Публикации: 4417

nnemo wrote:

unre_ALL wrote:

P.S. To Helios: хватит выкладывать наблюдения, которые на 30-40 минут выносят из рабочего графика. Клади что-нибудь простое, отписался по быстрому и закрыл :)

 

P.S. Да уж, Helios уж как что выложит, так полдня насмарку... ;)

Это  воспринимать как комплимент или ...? 

nnemo аватар
Не на сайте
Был на сайте: 11 лет 1 месяц назад
Зарегистрирован: 13.09.2011 - 18:32
Публикации: 561

Helios, конечно же исключительно как комплимент!!! Всегда интересно смотреть Ваши посты... В них много того, с чем сталкиваешься сам и что хотелось бы еще узнать... На одной волне короче! А думаю, unre ALL вкладывал в свое высказывание про 30-40 минут такие же эмоции...

Helios аватар
Не на сайте
Был на сайте: 8 месяцев 1 день назад
Зарегистрирован: 06.08.2010 - 15:16
Публикации: 4417

Спасибо,nnemo!Надеюсь с Вашей помощью и при помощи других не менее уважаемых и обожаемых коллег я в ближайшее время постигну все премудрости МРТ и достигну  хорошего уровня !

unre_ALL аватар
Не на сайте
Был на сайте: 7 лет 12 месяцев назад
Зарегистрирован: 15.09.2010 - 14:52
Публикации: 187

Popovpavel wrote:

А почему вы думаете, что эти "кисты" не могут быть некрозом?

 

С трудом представляю механизм развития некроза, который приведет  к подобной картине. Длинная исчерченность в одном направлении. Что может привести к формированию подобных полостей с сохранными стенками?   Получается, здесь некроз есть, здесь некроза нет, здесь опять есть и так много раз на протяжении ~5 см ?.. слишком уж структурно. Некроз в опухоли возникает из-за нарушения трофики, т.е. питающие сосуды в силу своего нео-патологического роста не обеспечивают необходимый обьем кровотока. Предполагая, что каждый сосуд питает плюс-минус сферическую область - находим это подтверждение во всех образованиях с периферическим типом накопления. Некроз сьедает все. Подобную избирательность в виде макарон с центральным каналом :) можно обьяснить, ну, наверное, только на уровне капилляров. И все равно понять подобное 1-2мм -чередование "полость-стенка" затруднительно.   Даже если это и не "макароны"  (хотя на аксиальных они выглядят именно так),  не забываем, что и без того в самой по себе  безструктурной опухоли естественный некроз вызывает вообще полный хаос. Если где-то в этой зоне интереса определялись бы привычные нам рваные некротические полости, чередующиеся маленькими - тогда более менее понятно.  

Подобная картина, предположу, может соответствовать начальной стадии терапефтического патоморфоза, когда вначале проседают наименее жизнеспособные клетки. В других вариантах, одномоментно начавшийся и синхронно, избирательно  протекающий некроз понять, на данный момент, не могу. 

 

С Уважением

 

-------------------------------------------------------------------------------------------------

Я получил счет от хирургов. Теперь мне понятно, почему эти парни работают в масках. 

nnemo аватар
Не на сайте
Был на сайте: 11 лет 1 месяц назад
Зарегистрирован: 13.09.2011 - 18:32
Публикации: 561

Передумал, под аргументрованными высказываниями мудрых товарищей - глиома или астроцитома...

Helios аватар
Не на сайте
Был на сайте: 8 месяцев 1 день назад
Зарегистрирован: 06.08.2010 - 15:16
Публикации: 4417

Если будет верификация, то сообщу.Пока только обещаю))))))

Popovpavel аватар
Не на сайте
Был на сайте: 7 лет 3 месяцев назад
Зарегистрирован: 08.06.2009 - 00:23
Публикации: 649

unre_ALL wrote:

Popovpavel wrote:

А почему вы думаете, что эти "кисты" не могут быть некрозом?

 

С трудом представляю механизм развития некроза, который приведет  к подобной картине. Длинная исчерченность в одном направлении. Что может привести к формированию подобных полостей с сохранными стенками?   Получается, здесь некроз есть, здесь некроза нет, здесь опять есть и так много раз на протяжении ~5 см ?.. слишком уж структурно. Некроз в опухоли возникает из-за нарушения трофики, т.е. питающие сосуды в силу своего нео-патологического роста не обеспечивают необходимый обьем кровотока. Предполагая, что каждый сосуд питает плюс-минус сферическую область - находим это подтверждение во всех образованиях с периферическим типом накопления. Некроз сьедает все. Подобную избирательность в виде макарон с центральным каналом :) можно обьяснить, ну, наверное, только на уровне капилляров. И все равно понять подобное 1-2мм -чередование "полость-стенка" затруднительно.   Даже если это и не "макароны"  (хотя на аксиальных они выглядят именно так),  не забываем, что и без того в самой по себе  безструктурной опухоли естественный некроз вызывает вообще полный хаос. Если где-то в этой зоне интереса определялись бы привычные нам рваные некротические полости, чередующиеся маленькими - тогда более менее понятно.  

Подобная картина, предположу, может соответствовать начальной стадии терапефтического патоморфоза, когда вначале проседают наименее жизнеспособные клетки. В других вариантах, одномоментно начавшийся и синхронно, избирательно  протекающий некроз понять, на данный момент, не могу. 

 

С Уважением

Звучит это все довольно логично. Если Вы еще проиллюстрируете свои выводы какой-нибудь статьей - цены Вам не будет!)