поступила женщина лет 55 в неврологическое отделение...

Пол пациента: 
Область исследования: 
Методы исследования: 

     Всем добрый вечер!

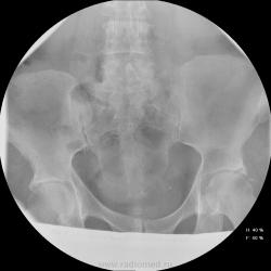
Женщина 55 лет, полная, поступила в неврологическое отделение с жалобами на боли в т.бедренных суставах,  области паха, больше слева. Лечили в поликлинике ДОА, остеохондроз- без эффекта, и направлили в стационар.

  • https://radiomed.ru/sites/default/files/styles/case_slider_image/public/user/2983/IMAGE_126-1.jpg?itok=AldDnR4R
  • https://radiomed.ru/sites/default/files/styles/case_slider_image/public/user/2983/IMAGE_144-1.jpg?itok=mEtl6lpK
  • https://radiomed.ru/sites/default/files/styles/case_slider_image/public/user/2983/IMAGE_145-1.jpg?itok=DPWZytX9
ID:1998
Almo аватар
Не на сайте
Был на сайте: 9 часов 44 минуты назад
Зарегистрирован: 28.09.2008 - 18:50
Публикации: 8247

Юрич wrote:

     Всем добрый вечер!

Женщина 55 лет, полная, поступила в неврологическое отделение с жалобами на боли в т.бедренных суставах,  области паха, больше слева. Лечили в поликлинике ДОА, остеохондроз- без эффекта, и направлили в стационар.

Юрич аватар
Не на сайте
Был на сайте: 6 лет 5 месяцев назад
Зарегистрирован: 17.01.2010 - 09:55
Публикации: 351

Я уже кое-что знаю)))

brainmodel аватар
Не на сайте
Был на сайте: 2 месяцев 1 неделя назад
Зарегистрирован: 18.03.2010 - 22:04
Публикации: 2881

Остеохондроз от нижнегрудных позвоночно-двигательных сегментов и ниже, резко выраженный на уровне L5-S1 (3 степень снижения диска). Неполная люмбализация S1 - видны псевдосуставные щели на уровне боковых масс. Аномалия тропизма L5-S1: разноплоскостная ориентация щелей межпозвоночных суставов, один ближе к горизонтальной, второй - ближе к кософронтальной. Гиполордоз. Сколиоз. Деформирующий спондилез. Коксартроз 1 ст. с оссификацией крыш впадин. Флеболит(?!) в малом тазу слева, исключить конкремент в тазавой части левого мочеточника (ОАМ и т.д.; главное - экскреторная урография, желательно с прицельной РГ области мочевого пузыря в левой косой проекции на минуте 15-25).

Verum plus uno esse non potest.

brainmodel аватар
Не на сайте
Был на сайте: 2 месяцев 1 неделя назад
Зарегистрирован: 18.03.2010 - 22:04
Публикации: 2881

Юрич wrote:

Я уже кое-что знаю)))

Не томите, плиз!..

Verum plus uno esse non potest.

Юрич аватар
Не на сайте
Был на сайте: 6 лет 5 месяцев назад
Зарегистрирован: 17.01.2010 - 09:55
Публикации: 351

я подожду))) как то , не помню с кем ,был спор на сайте о главном  в нашей работе( по крайней мере для меня). тогда речь шла о деф. артрозе коленного сустава - есть он или нет. кто ставил 1-ю, кто 2-ю стадию...

в данном случае довольно подробно описали изменения , представенных мною снимков, со стадиями осохондроза и врожденными вариантами... но есть еще кое что... 

Катенёв Валентин Львович аватар
Не на сайте
Был на сайте: 7 лет 1 неделя назад
Зарегистрирован: 22.03.2008 - 22:15
Публикации: 54876

По всей видимости, Вы правы, стоит подождать, чтобы дать возможность коллегам высказаться.

DR.RAD аватар
Не на сайте
Был на сайте: 11 лет 8 месяцев назад
Зарегистрирован: 25.03.2009 - 18:22
Публикации: 805

а что это за тень по задней поверхности н/3 крестца в боковой проекции?

Катенёв Валентин Львович аватар
Не на сайте
Был на сайте: 7 лет 1 неделя назад
Зарегистрирован: 22.03.2008 - 22:15
Публикации: 54876

Тень, весьма похожая на конкремент.

 

Приложения: 
0._Kon.jpg1._Kon..JPG3._Kon.jpg
Андрей Юрьевич аватар
Не на сайте
Был на сайте: 2 дня 5 часов назад
Зарегистрирован: 16.11.2008 - 22:16
Публикации: 18098

Нисколько не оспаривая версию МКБ хочу обратить внимание на правосторонний сколиоз в вершиной в Л3-Л4 позв. сегменте, компенсаторные костные разрастания по правому контуру позвонков указанного сенгмента, нарушение статики позвонков - микролатеролистез Л3 вправо. Это может быть причиной весьма выраженной дорсопатии.

Андрей Юрьевич

Юрич аватар
Не на сайте
Был на сайте: 6 лет 5 месяцев назад
Зарегистрирован: 17.01.2010 - 09:55
Публикации: 351

Ну раз мнений больше нет - Мы заподозрили деструкцию в области тела подвздошной кости над вертлужной впадиной слева и отправили на КТ (обратите внимание на разряжение костной структуры по сравнению с правой стороной). На КТ : множественные очаги деструкции позвонков , больше пострадал остистый отросток L4. Такие же очаги в тазовых костях, наиболее крупный как раз слева над вертлужной впадиной. Левая половина крестца почти полностью разрушена. Кроме этого, очаги в печени, надпочечниках. Тело матки увеличено, в области придатков слева - кистозное образование. После этого посмотрели на наши сникми - почти сразу все увидели, особенно пропажу остистого отростка L4.

 Имеем мтс, нужно теперь найти первичный очаг...

Катенёв Валентин Львович аватар
Не на сайте
Был на сайте: 7 лет 1 неделя назад
Зарегистрирован: 22.03.2008 - 22:15
Публикации: 54876

Вы, хотите сказать, что по КТ очаги деструкции, то что помечено стрелками.

 

Приложения: 
11.Ochagi_destrukcii.JPG
Катенёв Валентин Львович аватар
Не на сайте
Был на сайте: 7 лет 1 неделя назад
Зарегистрирован: 22.03.2008 - 22:15
Публикации: 54876

Ну, допустим, что остистый отросток Л4 не пропал, а на прямой рентгенограмме "плохо виден", чего нельзя сказать по боковой рентгенограмме.

 

Приложения: 
21.Ostistyy_otrostok..JPG22.Ostistyy_otrostok..JPG23.Ostistyy_otrostok..jpg24.Ostistyy_otrostok..jpg
Юрич аватар
Не на сайте
Был на сайте: 6 лет 5 месяцев назад
Зарегистрирован: 17.01.2010 - 09:55
Публикации: 351

Да. это самые крупные. очагов много, но многие небольшие и не выходят за пределы кортикального слоя кости. самые крупные - над крышей впадины слева и в боковых массах крестца слева(  с выраженны м.ткнным компонентом). в позвонках тоже много мелких очагов , но самые крупные в L5 с разрушением его остистого отростка. мы почти "пролетели". хорощо , что зацепились за тело подвздошной кости слева. Как вы думаете где может быть первичный очаг? Легкие поверяли с томо - вроде чистые.

Катенёв Валентин Львович аватар
Не на сайте
Был на сайте: 7 лет 1 неделя назад
Зарегистрирован: 22.03.2008 - 22:15
Публикации: 54876

Ну, а что-же по поводу головки бедренной кости?

 

 

Приложения: 
101.Gol_..jpg
Юрич аватар
Не на сайте
Был на сайте: 6 лет 5 месяцев назад
Зарегистрирован: 17.01.2010 - 09:55
Публикации: 351

наверняка и там есть очаг, но КТ сканы до нее не дошли

Андрей Юрьевич аватар
Не на сайте
Был на сайте: 2 дня 5 часов назад
Зарегистрирован: 16.11.2008 - 22:16
Публикации: 18098

Юрич wrote:

...Как вы думаете где может быть первичный очаг? Легкие поверяли с томо - вроде чистые.

Возможно, что Вы ответили  сами: ///Тело матки увеличено, в области придатков слева - кистозное образование.///. Гинекология весьма вероятна.

Андрей Юрьевич

Юрич аватар
Не на сайте
Был на сайте: 6 лет 5 месяцев назад
Зарегистрирован: 17.01.2010 - 09:55
Публикации: 351

спасибо. если у нас найдут - сообщу результат

Almo аватар
Не на сайте
Был на сайте: 9 часов 44 минуты назад
Зарегистрирован: 28.09.2008 - 18:50
Публикации: 8247

Спасибо, за интересную и поучительную демонстрацию ! 

Лукаш аватар
Не на сайте
Был на сайте: 10 лет 3 месяцев назад
Зарегистрирован: 05.03.2010 - 13:28
Публикации: 47

Молочные железы хирурги щупали? Любият они в кости метастазировать.

А в надпочечники часто легкие "стреляют".

Насколько я понимаю, было КТ органов брюшной полости, так что почки мы исключаем.

Хотя если не контрастированли - то можно и пропустить почку (пару раз бывало - абсолютно нормальная почка при нативном исследовании и четкое образование при контрастировании).

Ну и толстый кишечник, конечно.

Ой, больной, что-то мне ваш снимок не нравится. Но ничего - щас мы в Фотошопе все подправим.