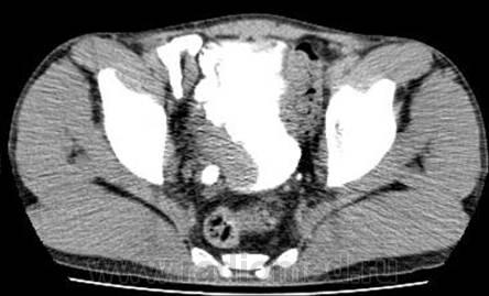
Пол пациента: Мужской пол Тип патологии: Злокачественное новообразование Область исследования: Мочеполовая система Методы исследования: КТ Прадварительно была проведена внутривенная урография. https://radiomed.ru/sites/default/files/styles/case_slider_image/public/user/12/2.predvaritelno.risunok24.jpg?itok=6yKsWOIu https://radiomed.ru/sites/default/files/styles/case_slider_image/public/user/12/3.predvaritelnorisunok25.jpg?itok=fAXoOy_m https://radiomed.ru/sites/default/files/styles/case_slider_image/public/user/12/4predvaritelno.risunok26.jpg?itok=pmVH8o80 ID:10914