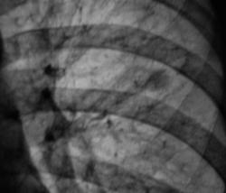
При расшифровке флюорограмм пациент "взят на контроль".

Пол пациента: 
Тип патологии: 
Методы исследования: 

При расшифровке флюорограмм пациент "взят на контроль".

Что посоветуете уважаемые коллеги?

100.Rasshifrovka..jpg
100.Rasshifrovka..jpg
101.Rasshifrovka.JPG
101.Rasshifrovka.JPG

 

 

 

 

 

 

 

 

 

 

 

 

102._Rasshifrovka..jpg
102._Rasshifrovka..jpg

 

 

 

 

 

 

 

 

 

 

 

 

 

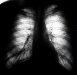
Глянули "архив", Оказывается в архиве есть флюорограммы за 2008 год.

61.Posmotreli.jpg
61.Posmotreli.jpg
62.Posmotreli.JPG
62.Posmotreli.JPG

 

 

 

 

 

 

 

 

 

 

 

 

 

63.Posmotreli..jpg
63.Posmotreli..jpg
64.Posmotreli..jpg
64.Posmotreli..jpg

 

 

 

 

 

 

 

 

 

 

 

 

 

Архив за 2007 год.

65.Posmotreli.JPG
65.Posmotreli.JPG
66.Posmotreli.JPG
66.Posmotreli.JPG

 

 

 

 

 

 

 

 

 

 

 

 

 

 

67_posmotreli.jpg
67_posmotreli.jpg

 

 

 

 

 

 

 

 

 

 

 

 

 

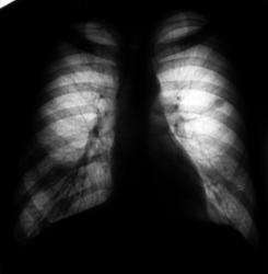
Провели дообследование.

20_Vopros.JPG
20_Vopros.JPG
21.Vopros.JPG
21.Vopros.JPG
22.Vopros..jpg
22.Vopros..jpg

 

 

 

 

 

 

 

 

 

 

 

 

23.Vopros.JPG
23.Vopros.JPG
24.Vopros..jpg
24.Vopros..jpg
25.Vopros.JPG
25.Vopros.JPG

 

 

 

 

 

 

 

 

 

 

 

 

26.Vopros.jpg
26.Vopros.jpg
27.Vopros.jpg
27.Vopros.jpg
28.vopros..jpg
28.vopros..jpg
ВложениеРазмер
Иконка изображения 100.Rasshifrovka..jpg51.56 КБ
Иконка изображения 101.Rasshifrovka.JPG51.01 КБ
Иконка изображения 102._Rasshifrovka..jpg65.15 КБ
Иконка изображения 61.Posmotreli.jpg45.34 КБ
Иконка изображения 62.Posmotreli.JPG50.68 КБ
Иконка изображения 63.Posmotreli..jpg65.64 КБ
Иконка изображения 64.Posmotreli..jpg98.85 КБ
Иконка изображения 65.Posmotreli.JPG59.85 КБ
Иконка изображения 66.Posmotreli.JPG46.58 КБ
Иконка изображения 67_posmotreli.jpg62.94 КБ
Иконка изображения 20_Vopros.JPG70.69 КБ
Иконка изображения 21.Vopros.JPG73.58 КБ
Иконка изображения 22.Vopros..jpg89.49 КБ
Иконка изображения 23.Vopros.JPG96.15 КБ
Иконка изображения 24.Vopros..jpg79.04 КБ
Иконка изображения 25.Vopros.JPG73.36 КБ
Иконка изображения 26.Vopros.jpg98.43 КБ
Иконка изображения 27.Vopros.jpg42.66 КБ
Иконка изображения 28.vopros..jpg65.21 КБ
Иринка аватар
Не на сайте
Был на сайте: 11 лет 5 месяцев назад
Зарегистрирован: 16.11.2009 - 22:14
Публикации: 190

Образование верхней доли левого легкого с дорожкой к корню, мне кажется может оказаться как периферическим раком ,так и туберкуломой.Надо начать с линейной томограммы. А нет ли вздутия переднего отрезка 3 ребра?

Валентин Львович, а что это у вас за дефект на экране или стенке кабинки(на цифр.ФЛГ)? Уже на втором снимке инородное тело н/д левого легкого)))

Катенёв Валентин Львович аватар
Не на сайте
Был на сайте: 7 лет 4 недели назад
Зарегистрирован: 22.03.2008 - 22:15
Публикации: 54876

Этот дефект на всех снимках - это наше "факсимиле" - шутка. Дефект на экране, мы с ним уже смирились. Мы тоже подумали о периферическим раке и "дорожку" приняли к сведению. По поводу туберкулёза, как - то не подумали. Конечно, и о доброкачественной опухоли также вспомнили. Конечно, все "большие симпатии" в векторе периферического рака лёгкого.

Иринка аватар
Не на сайте
Был на сайте: 11 лет 5 месяцев назад
Зарегистрирован: 16.11.2009 - 22:14
Публикации: 190

И все таки похоже на туберкулому, мне кажется за год несколько уплотнилось образование, были более четкие,ровные контуры, а сейчас какбы чуть-чуть сжалось(или выдаю желаемое за действительное?). Просто у меня был очень похожий случай,только в нижней доле левого легкого за тенью сердца, с дорожкой к корню с лучистыми (как мне казалось)контурами образование чуть больше вашего,была уверена , что периферический рак, а больной сйчас в туб.диспансере лечит туберкулому.

v1tal аватар
Не на сайте
Был на сайте: 4 года 9 месяцев назад
Зарегистрирован: 07.06.2008 - 19:41
Публикации: 1779

А ещё смущает некоторое неоднородность, даже какие то плотные включения, межет это конечно сосуды накладываются.  Валентин Львович, у Вас же наверное где то томограмка завалялась?

"Знаешь, у некоторых врачей есть комплекс мессии — им необходимо спасать мир. А у тебя комплекс Рубика — тебе необходимо решать головоломки."

Иринка аватар
Не на сайте
Был на сайте: 11 лет 5 месяцев назад
Зарегистрирован: 16.11.2009 - 22:14
Публикации: 190

Ага, Валентин Львович,наверняка, что-нибудь припас))))

Катенёв Валентин Львович аватар
Не на сайте
Был на сайте: 7 лет 4 недели назад
Зарегистрирован: 22.03.2008 - 22:15
Публикации: 54876

Мы посмотрели архив за 2007 год. Сейчас выложу.

v1tal аватар
Не на сайте
Был на сайте: 4 года 9 месяцев назад
Зарегистрирован: 07.06.2008 - 19:41
Публикации: 1779

Кстати, а такое образование ещё может соответствовать сосудистой мальформации, другое дело, что если раньше этого небыло. А если сравнивать от 2008г. так без динамики.

"Знаешь, у некоторых врачей есть комплекс мессии — им необходимо спасать мир. А у тебя комплекс Рубика — тебе необходимо решать головоломки."

Катенёв Валентин Львович аватар
Не на сайте
Был на сайте: 7 лет 4 недели назад
Зарегистрирован: 22.03.2008 - 22:15
Публикации: 54876

Добавлены данные за 2007 год.

Катенёв Валентин Львович аватар
Не на сайте
Был на сайте: 7 лет 4 недели назад
Зарегистрирован: 22.03.2008 - 22:15
Публикации: 54876

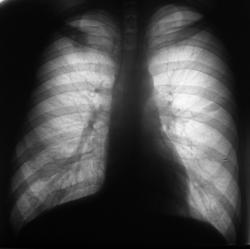
Добавлены рентгенограммы и томограммы.

tatyana аватар
Не на сайте
Был на сайте: 4 года 1 месяц назад
Зарегистрирован: 24.06.2009 - 08:33
Публикации: 2090

Валентин Львович, а тень справа на уровне ключицы и переднего отрезка I ребра (лучше всего видно на снимке за 2007г. - он с небольшим поворотом) это меня глючит?

"самоуверенность дилетантов - предмет зависти профессионалов"

Катенёв Валентин Львович аватар
Не на сайте
Был на сайте: 7 лет 4 недели назад
Зарегистрирован: 22.03.2008 - 22:15
Публикации: 54876

Здравствуйте tatyana !

Я не думаю, что Вас "глючит", так как Вас просто "не может глючить". Я тогда, в 2007 году, "повязал" скиалогическую картину справа на уровне 1 ребра справа, и наличие овальной формы тени средней интенсивности слева в 3 межреберье. Один из наших уважаемых пользователей, сказал как-то, что я "постоянно заточен на туберкулёз", и это правильно, с учетом "нашей эпидситуации". Так вот тогда, я с большим скрипом и неудовольствием, высказался в пользу специфического процесса, хорошо понимая, что данных весьма мало.

serega аватар
Не на сайте
Был на сайте: 12 лет 4 месяцев назад
Зарегистрирован: 15.10.2009 - 18:10
Публикации: 99

А плотные включения все таки есть.

Катенёв Валентин Львович аватар
Не на сайте
Был на сайте: 7 лет 4 недели назад
Зарегистрирован: 22.03.2008 - 22:15
Публикации: 54876

А на томограммах?

serega аватар
Не на сайте
Был на сайте: 12 лет 4 месяцев назад
Зарегистрирован: 15.10.2009 - 18:10
Публикации: 99

Могу ошибаться, но сдесь включения есть.

serega аватар
Не на сайте
Был на сайте: 12 лет 4 месяцев назад
Зарегистрирован: 15.10.2009 - 18:10
Публикации: 99

Всмысле на 27 снимке.

 

Катенёв Валентин Львович аватар
Не на сайте
Был на сайте: 7 лет 4 недели назад
Зарегистрирован: 22.03.2008 - 22:15
Публикации: 54876

А я и не возражаю по поводу включений, да и локализация, да и "дорожка", по всей видимости оказалась "эфимерой", но вот вопрос - "куда направить"?

Катенёв Валентин Львович аватар
Не на сайте
Был на сайте: 7 лет 4 недели назад
Зарегистрирован: 22.03.2008 - 22:15
Публикации: 54876

А на боковой рентгенограмме, вроде-бы кропноочаговая тень не одна? А вроде-бы две?