Пришел "желудок"

Пол пациента: 
Область исследования: 
Методы исследования: 

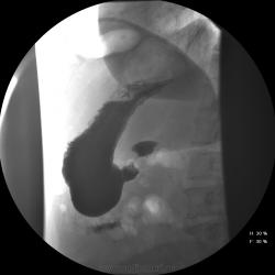
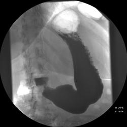
          Женищина 49 лет, повышенного питания, обратилась с жалобами на потерю аппетита, жжение после чуть острой пищи, отрыжку с неприятным запахом, иногда темный стул, несколько похудела. Данные жалобы с сентебря-октября. Никуда не обращалась, коррегировала питанием. В последнее время стало хуже, обратилась...

  • https://radiomed.ru/sites/default/files/styles/case_slider_image/public/user/2983/IMAGE_218-1.jpg?itok=K6wB09_m
  • https://radiomed.ru/sites/default/files/styles/case_slider_image/public/user/2983/IMAGE_220-1.jpg?itok=oQ5Xe2Mc
  • https://radiomed.ru/sites/default/files/styles/case_slider_image/public/user/2983/IMAGE_221-1.jpg?itok=wBBNGPqi
  • https://radiomed.ru/sites/default/files/styles/case_slider_image/public/user/2983/IMAGE_222-1_0.jpg?itok=eyUx5aQY
  • https://radiomed.ru/sites/default/files/styles/case_slider_image/public/user/2983/IMAGE_223-1_0.jpg?itok=PJ-jpT9B
  • https://radiomed.ru/sites/default/files/styles/case_slider_image/public/user/2983/IMAGE_224-1_0.jpg?itok=3WLnNPt1
  • https://radiomed.ru/sites/default/files/styles/case_slider_image/public/user/2983/IMAGE_225-1_0.jpg?itok=ukKzFMbP
  • https://radiomed.ru/sites/default/files/styles/case_slider_image/public/user/2983/IMAGE_226-1_0.jpg?itok=4n74v2eC
  • https://radiomed.ru/sites/default/files/styles/case_slider_image/public/user/2983/IMAGE_227-1.jpg?itok=KtAl27PV
ID:3072
Ермолаев аватар
Не на сайте
Был на сайте: 9 лет 3 месяцев назад
Зарегистрирован: 07.02.2009 - 16:33
Публикации: 670

Коллега ЮРИЧ!  Сложно оценивать рентгенограммы рентгеноскопии, проведенного Вами рентгенисследования. Время рентгеногамм.  Рубцовая деформация луковицы? Стеноз?  Где данные ФГДС?  На мой взгляд -  рубцовая деформация луковицы 12-перстной кишки. Но далее- не выявлена степень нарушения эвакуации и степень деформации луковицы!

dok

Андрей Юрьевич аватар
Не на сайте
Был на сайте: 1 месяц 16 часов назад
Зарегистрирован: 16.11.2008 - 22:16
Публикации: 18106

Привратник удлиннен и ригиден, такое бывает при раке. Рек. ЭГДС.

А снимков - не то что мало, но они не во всех проекциях, необходимых для более полной оценки стороннему наблюдателю.

Андрей Юрьевич

Юрич аватар
Не на сайте
Был на сайте: 6 лет 10 месяцев назад
Зарегистрирован: 17.01.2010 - 09:55
Публикации: 351

Вы правы , р-граммы не все. я выбрал самые показательные ( может показательные для меня). Данные фгдс будут. а больные не всегда приходят с данными с фгдс. стеноза нет, язвы никогда не было. Да  и нам не рубцовых изменений надо бояться - от них не умирают, да и особо судить за пропуск не будут. конечно, это не касается дел с военкомата.

v1tal аватар
Не на сайте
Был на сайте: 5 лет 2 месяцев назад
Зарегистрирован: 07.06.2008 - 19:41
Публикации: 1779

Андрей Юрьевич wrote:

Привратник удлиннен и ригиден, такое бывает при раке. Рек. ЭГДС.

 

Согласен с Андрей Юрьевичем.

"Знаешь, у некоторых врачей есть комплекс мессии — им необходимо спасать мир. А у тебя комплекс Рубика — тебе необходимо решать головоломки."

Юрич аватар
Не на сайте
Был на сайте: 6 лет 10 месяцев назад
Зарегистрирован: 17.01.2010 - 09:55
Публикации: 351

Вы правы. я несколько недорасказал. женщина пришла уже с фгдс - инфильтративно-язвенный процесс в выходном отеде желудка у привратника по малой кривизне с переходом на переднюю стенку. так что прицельно смотрел этот отдел. перистальтка была ослаблена, краевой дефект в препилорической зоне по малой кривизне, передней стенке, кажущееся удлинение привратника, нависание основания луковицы - вообщем как в книжке. эвакуация было не изменена. написал рак выходного отдела желудка. вчера пришла гистология - высокодиф-я аденокарцинома. вот такая история.

Андрей Юрьевич аватар
Не на сайте
Был на сайте: 1 месяц 16 часов назад
Зарегистрирован: 16.11.2008 - 22:16
Публикации: 18106

А...., так Вы нас проверяли, коллегаСмешно. В таком случае (при заранее известной по ЭГДС патологии выходного оадела желудка) без снимков в условиях естественного двойного контрастирования антрального и выходного отделов (в положении лежа на спине с поворотами) не обойтись.

Андрей Юрьевич

Юрич аватар
Не на сайте
Был на сайте: 6 лет 10 месяцев назад
Зарегистрирован: 17.01.2010 - 09:55
Публикации: 351

Да нет, проверки не было))) просто внес небольшую интригу. на сайте вроде это принято) лежа на спине, на животе снимки были, конечно, но с флэшки по пути с работы куда то делись - не вру. может записались изначально с ошибкой( .

Катенёв Валентин Львович аватар
Не на сайте
Был на сайте: 7 лет 6 месяцев назад
Зарегистрирован: 22.03.2008 - 22:15
Публикации: 54876

А, язву в луковице 12-ти перстной кишки не обнаружили?

Катенёв Валентин Львович аватар
Не на сайте
Был на сайте: 7 лет 6 месяцев назад
Зарегистрирован: 22.03.2008 - 22:15
Публикации: 54876

Пока, касаясь только луковицы, но не препилорического отдела. "Ниши" в луковице есть, и они нуждаются в объяснении.

 

Приложения: 
31.IMAGE_222-1_0-1.jpg32.IMAGE_222-1_0-1a.jpg33.IMAGE_222-1_0-1ab.jpg34.IMAGE_223-1_0a.jpg35.IMAGE_223-1_0ab.jpg36.IMAGE_224-1_0ab.jpg37.IMAGE_225-1_0aba.jpg38.IMAGE_226-1_0-1a.jpg39.IMAGE_226-1_0-1abv.jpg
Катенёв Валентин Львович аватар
Не на сайте
Был на сайте: 7 лет 6 месяцев назад
Зарегистрирован: 22.03.2008 - 22:15
Публикации: 54876

Конечно, в пилорическом канале уже растет, и "это" растет, уже и препилорической части и в луковице 12-ти перстной кишки.

 

Приложения: 
11.Rastet.JPG12.Rastet.JPG13.Rastet.JPG14.Rastet.JPG15.Rastet.JPG16.Rastet.JPG17.Rastet.JPG
Катенёв Валентин Львович аватар
Не на сайте
Был на сайте: 7 лет 6 месяцев назад
Зарегистрирован: 22.03.2008 - 22:15
Публикации: 54876

А на фоне "этого" растет уже "изъязвления"?

 

Приложения: 
18.Rastet.JPG
Катенёв Валентин Львович аватар
Не на сайте
Был на сайте: 7 лет 6 месяцев назад
Зарегистрирован: 22.03.2008 - 22:15
Публикации: 54876

Снимки забираем в набор изображений, очень показательные.

 

И, рельф атипичный.

 

 

Приложения: 
51.RELEF_...jpg51.RELEF_...jpg52.RELEF_...jpg