Пропущеный перелом пилона

Пол пациента: 
Тип патологии: 
Область исследования: 
Методы исследования: 

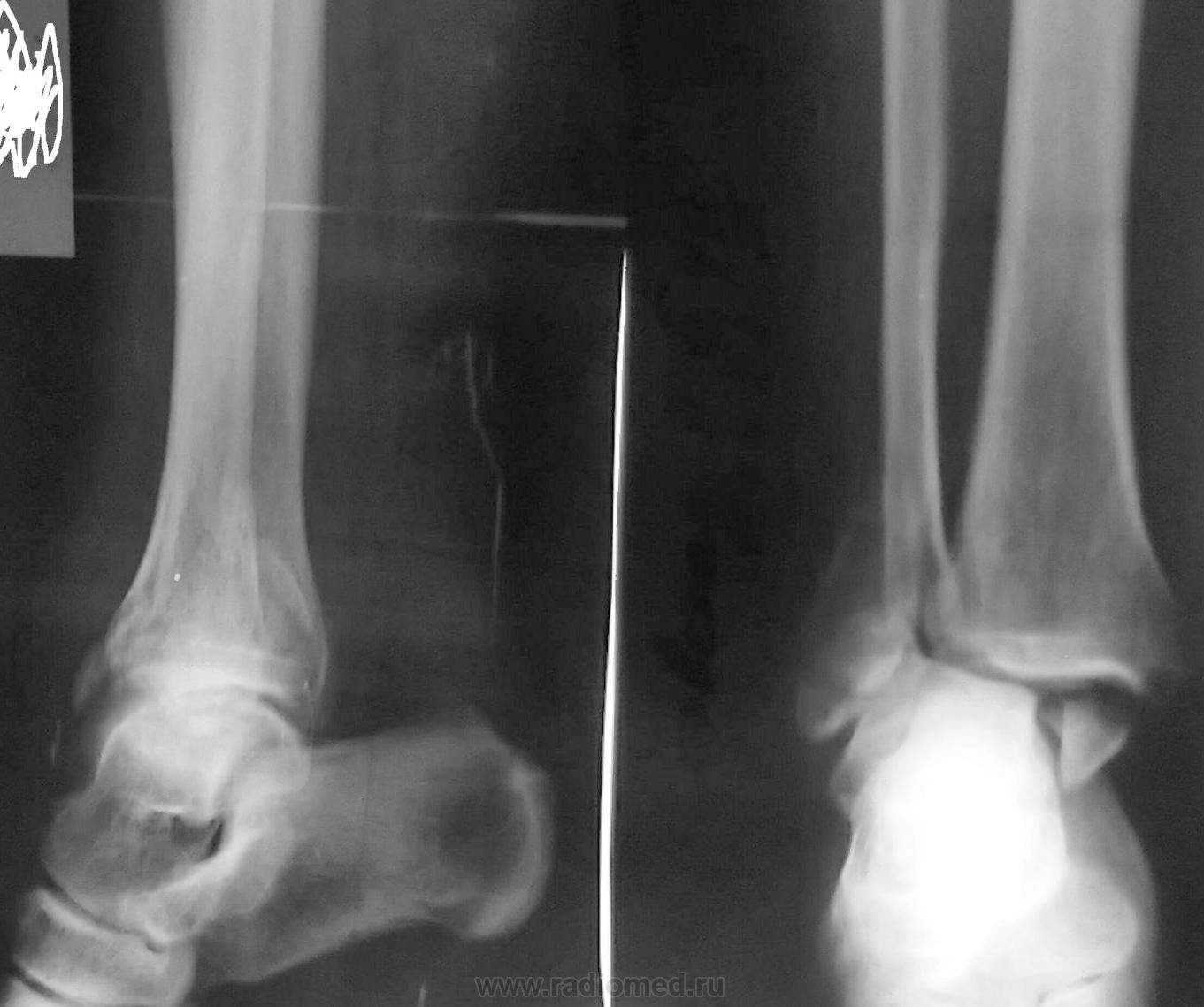
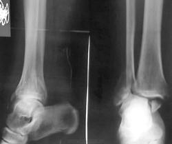
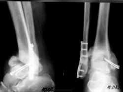
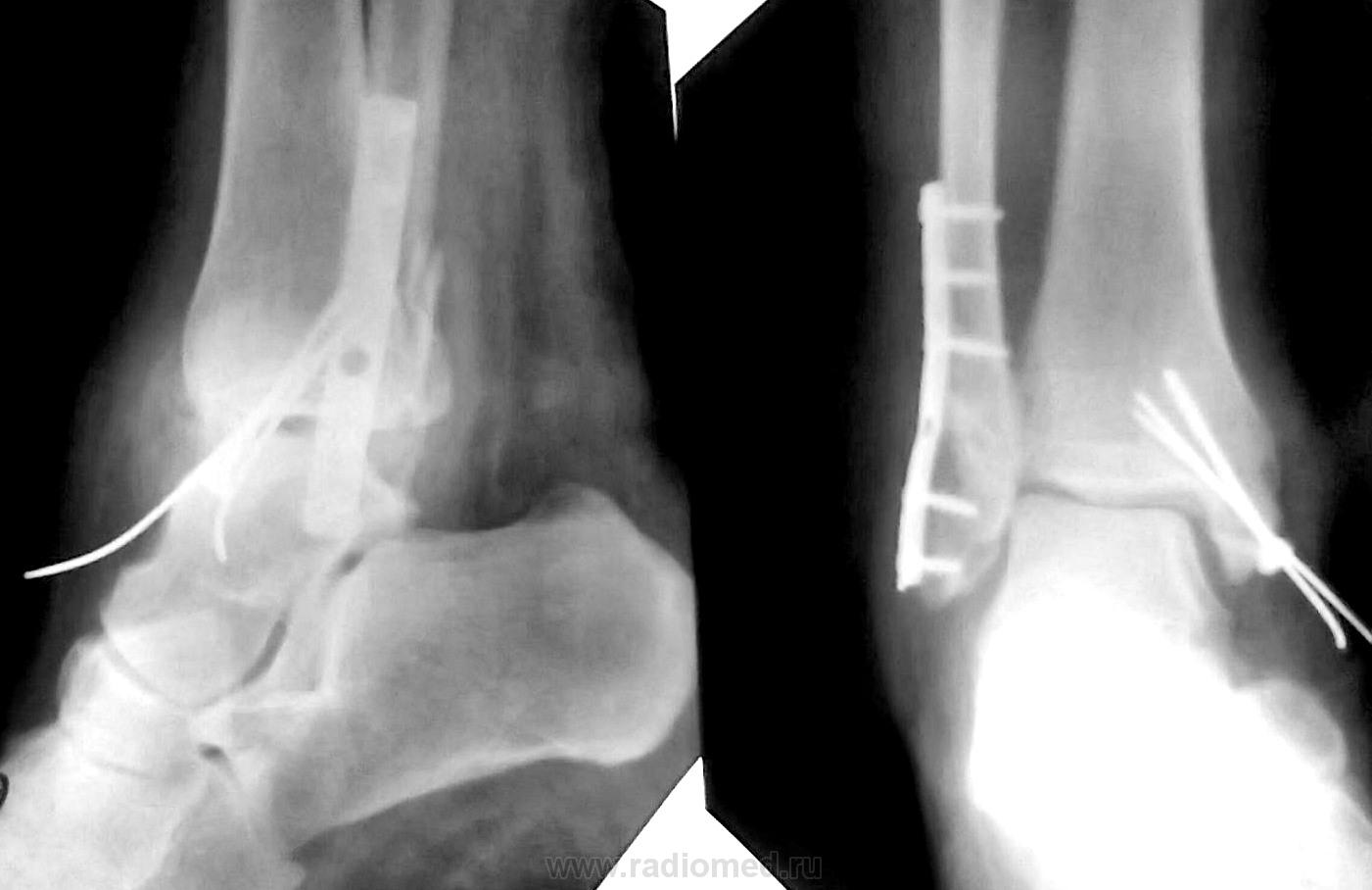
Пациентке 50 лет, в марте 2011 получила бытовую травму, при поступлению в одну из ЦРБ Нижегородской области был диагносцирован трехлодыжечный перелом, наружный подвывих стопы (рентгенограммы 1). Поскольку боковая рентгенограмма сделана с ротацией, никто не обратил внимания на передний отдел метаэпифиза б/берцовой кости. Пациентке налажено скелетное вытяжение (рентгенограммы 2,3), на боковом снимке видно повреждение переднего отдела метаэпифиза, но внимание на это не обращается, выполняется стандартный остеосинтез наружной и внутренней лодыжек (рентгенгограммы 4), опять же ни о кого не возникает никаких вопросов, а именно: почему дисконгруэнтна суставная щель, стопа в переднем подвывихе и в эквинусе. В августе пациентка приходит на контроль, и уже отчетливо виден дефект переднего отдела метаэпифиза б/берцовой кости, смещение костного фрагмента метаэпифиза кпереди и передний вывих стопы, но никаких мероприятий не проводится. Вчера, 9.02 пациентка все же доходит до нашего института, и мы видим такую картину (рентгенограммы 5,6): дефект переднего края дистального метаэпифиза б/берцовой кости, костный фрагмент смещен кпереди, некротизирован (фактически это секвестр), стопа в положении переднего вывиха, разрыв дистального межберцового синдесмоза, нестабильность металлоконструкций в б/берцовой кости (отчетливо видна резорбция), асептический некроз блока таранной кости. Прогноз неблагоприятен: артродезирование г/стопоного сустава, вопрос только в выборе метода, аппаратный артродез, либо ретроградный интрамедуллярный.

  • https://radiomed.ru/sites/default/files/styles/case_slider_image/public/user/12/0.pp_.pri_postupleniia.jpg?itok=8xyC43j9
  • https://radiomed.ru/sites/default/files/styles/case_slider_image/public/user/12/1.pp_.izobrazhenie_002_1.jpg?itok=vMbEl6eZ
  • https://radiomed.ru/sites/default/files/styles/case_slider_image/public/user/12/2.pp_.izobrazhenie_2.pp_.002_1a.jpg?itok=308uvPCz
  • https://radiomed.ru/sites/default/files/styles/case_slider_image/public/user/12/3.pp_.izobrazhenie_005_3.jpg?itok=GdiOjcLD
  • https://radiomed.ru/sites/default/files/styles/case_slider_image/public/user/12/4.pp_.izobrazhenie_005_3a.jpg?itok=1jz5IVbe
  • https://radiomed.ru/sites/default/files/styles/case_slider_image/public/user/12/5.pp_.izobrazhenie_007_1.jpg?itok=yMiLmGw4
  • https://radiomed.ru/sites/default/files/styles/case_slider_image/public/user/12/6.pp_.izobrazhenie_007_1a.jpg?itok=kYkpj6FA
  • https://radiomed.ru/sites/default/files/styles/case_slider_image/public/user/12/7.pp_.izobrazhenie_009.jpg?itok=Wn10rRHh
  • https://radiomed.ru/sites/default/files/styles/case_slider_image/public/user/12/8.pp_.izobrazhenie_009a.jpg?itok=rnXUlFio
  • https://radiomed.ru/sites/default/files/styles/case_slider_image/public/user/12/9.pp_.izobrazhenie_012.jpg?itok=FrdGqSlc
  • https://radiomed.ru/sites/default/files/styles/case_slider_image/public/user/12/10.pp_.izobrazhenie_012a.jpg?itok=KxjxpBrG
ID:18869
Белоусов Борис Юрьевич аватар
Не на сайте
Был на сайте: 14 лет 2 месяцев назад
Зарегистрирован: 20.03.2009 - 02:46
Публикации: 161

рентгенограммы

Приложения: 
pri_postuplenii.jpgizobrazhenie_002.jpgizobrazhenie_005.jpgizobrazhenie_007.jpgizobrazhenie_009.jpgizobrazhenie_012.jpg
тюрин аватар
Не на сайте
Был на сайте: 5 месяцев 1 неделя назад
Зарегистрирован: 18.12.2009 - 17:23
Публикации: 215

и всё это из-за того, что не занимались переломом переднего отдела дистального эрифиза большеберцовой кости?

ЛГ аватар
Не на сайте
Был на сайте: 9 лет 3 месяцев назад
Зарегистрирован: 06.01.2010 - 12:31
Публикации: 3523

Передний край разъехался,  и после изображения 7 не устранен подвывих стопы кпереди. Плюсом наверняка несоблюдение режима и рекомендаций. Думаю, ортопеды поправят, если не права, но мне кажется, тут нужно было при первичном остеосинтезе фиксировать межберцовый синдесмоз... да и на метафиз б/б кости тоже винт с шайбой, наверное. Сейчас как собирать такое - очень непростая задачка+воспаление.

Сан Саныч1 аватар
Не на сайте
Был на сайте: 1 год 4 месяцев назад
Зарегистрирован: 07.06.2010 - 21:17
Публикации: 2114

Может там банальный остеомиелит? Все дело скорее в неадекватной иммобилизации, чем в ничтожном (по сравнению с обьемом повреждения связок) краевом переломе переднего края эпифиза б/б кости.

Хочешь сделать что-то нормально - сделай это сам!

Евгений1313 аватар
Не на сайте
Был на сайте: 13 лет 5 месяцев назад
Зарегистрирован: 15.10.2010 - 19:13
Публикации: 808

Не выполнен стяжной болт. В результате росхождение ДМС.

Белоусов Борис Юрьевич аватар
Не на сайте
Был на сайте: 14 лет 2 месяцев назад
Зарегистрирован: 20.03.2009 - 02:46
Публикации: 161

Уважаемые коллеги. Перелом отнюдь не краевой, а костный фрагмент был достаточных размеров. Подозреваю, что его  ошибочно посчитали  фрагментом заднего края. Остеомиелита ни клинически, ни рентгеологически не было. Даже если бы этот перелом и не был фиксирован, он мог бы сростись без дополнительной накостной фиксации, если бы стопа была выведена из переднего подвывиха и эквинуса, и иммобилизирована в положении тыльного сгибания. На данный момент помимо обширного дефекта переднего края есть и явления ассептического некроза блока таранной кости, восстановительная операция не показана, только артродез.

Приложения: 
pri_postuplenii.jpgpolitravmi10-14.jpgizobrazhenie_012.jpg
Гриша Хата аватар
Не на сайте
Был на сайте: 10 лет 5 месяцев назад
Зарегистрирован: 09.02.2011 - 20:40
Публикации: 665

Уважаемый Борис Юрьевич, чем проводилась иммобилизация после остеосинтеза и когда была начата нагрузка на стопу? Мне кажется, что никакого переднего подвывиха до операции не было.

Сан Саныч1 аватар
Не на сайте
Был на сайте: 1 год 4 месяцев назад
Зарегистрирован: 07.06.2010 - 21:17
Публикации: 2114

- Мне кажется, что никакого переднего подвывиха до операции не было.-

Был, но ничтожный по сравнению с постоперационным.

Хочешь сделать что-то нормально - сделай это сам!

Белоусов Борис Юрьевич аватар
Не на сайте
Был на сайте: 14 лет 2 месяцев назад
Зарегистрирован: 20.03.2009 - 02:46
Публикации: 161

по поводу иммобилизации и послеоперационного периода сказать не могу, больная к нам пришла сама, без напраления и выписных справок, все что еть - рентгенограммы.

Боковой снимок при поступлении сделан с ротацией, это было одной из причин того, что пропустили перелом пилона, сказать по этой рентгенограмме о положении стопы затруднительно.

Гриша Хата аватар
Не на сайте
Был на сайте: 10 лет 5 месяцев назад
Зарегистрирован: 09.02.2011 - 20:40
Публикации: 665

Создаётся впечатле, что всё представленное - закономерный результат нестабильной фиксации и ранней нагрузки, но Вам на месте виднее, уважаемый Борис Юрьевич.

Белоусов Борис Юрьевич аватар
Не на сайте
Был на сайте: 14 лет 2 месяцев назад
Зарегистрирован: 20.03.2009 - 02:46
Публикации: 161

Гриша Хата wrote:

закономерный результат нестабильной фиксации и ранней нагрузки

абсолютно с Вами согласен, я писал об этом выше. Если бы стопа была выведена из эквинуса в тыльное сгибание и иммобилизирована в таком положении, ничего подобного не случилось бы.

Сан Саныч1 аватар
Не на сайте
Был на сайте: 1 год 4 месяцев назад
Зарегистрирован: 07.06.2010 - 21:17
Публикации: 2114

Белоусов Борис Юрьевич wrote:

 больная к нам пришла сама

 

Белоусов Борис Юрьевич wrote:

восстановительная операция не показана, только артродез.

Вам больную не жалко?)))))))(

Хочешь сделать что-то нормально - сделай это сам!

Белоусов Борис Юрьевич аватар
Не на сайте
Был на сайте: 14 лет 2 месяцев назад
Зарегистрирован: 20.03.2009 - 02:46
Публикации: 161

Сан Саныч1 wrote:

Вам больную не жалко?)))))))(

а  разве я планирую оперативное вмешательство?

Считаете что после артродеза она ходить не сможет?