Прошу разрешить спор

Пол пациента: 
Тип патологии: 
Область исследования: 
Методы исследования: 

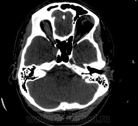
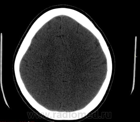
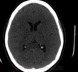
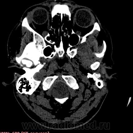
Прошу разрешить спор. По КТ - норма. Женщина, 1967г.р., жалобы на головную боль, больше в затылочной области. По-моему, не КТ-шное это дело но всеж...

 

  • https://radiomed.ru/sites/default/files/styles/case_slider_image/public/user/17212/img-0002-000012_0.jpg?itok=DiM5ma_E
  • https://radiomed.ru/sites/default/files/styles/case_slider_image/public/user/17212/img-0003-000013_0.jpg?itok=6CK2j3HH
  • https://radiomed.ru/sites/default/files/styles/case_slider_image/public/user/17212/img-0004-000014_0.jpg?itok=rJnVSsxm
  • https://radiomed.ru/sites/default/files/styles/case_slider_image/public/user/17212/img-0006-000015_0.jpg?itok=LsjbHEQ8
  • https://radiomed.ru/sites/default/files/styles/case_slider_image/public/user/17212/img-0008-000016_0.jpg?itok=wwxTkrYq
  • https://radiomed.ru/sites/default/files/styles/case_slider_image/public/user/17212/img-0010-000017_0.jpg?itok=pLxRF9T1
  • https://radiomed.ru/sites/default/files/styles/case_slider_image/public/user/17212/img-0012-000019_0.jpg?itok=smIaj1D3
  • https://radiomed.ru/sites/default/files/styles/case_slider_image/public/user/17212/img-0014-0000110_0.jpg?itok=fi9rG1zR
  • https://radiomed.ru/sites/default/files/styles/case_slider_image/public/user/17212/img-0016-0000111_0.jpg?itok=r1oYJNI6
  • https://radiomed.ru/sites/default/files/styles/case_slider_image/public/user/17212/img-0019-0000112_0.jpg?itok=maENEhZp
ID:33727
алкс аватар
Не на сайте
Был на сайте: 10 лет 2 недели назад
Зарегистрирован: 24.10.2012 - 22:55
Публикации: 2915

Что-то не сохраняется  на форуме, при вводе всех данных. Дайкомы, кому интересно :

Ссылка для скачивания файла:
http://www.fayloobmennik.net/3378960

Андрей Юрьевич аватар
Не на сайте
Был на сайте: 5 дней 21 час назад
Зарегистрирован: 16.11.2008 - 22:16
Публикации: 18098

Коллега, а какие там файлы лежат? Что-то не открываются.

Андрей Юрьевич

алкс аватар
Не на сайте
Был на сайте: 10 лет 2 недели назад
Зарегистрирован: 24.10.2012 - 22:55
Публикации: 2915

Андрей Юрьевич wrote:

Коллега, а какие там файлы лежат? Что-то не открываются.

head и head2 в архивах,( второй - реформаты). Надо их тоже раскрыть через архиватор. Так получилось, извините.

Андрей Юрьевич аватар
Не на сайте
Был на сайте: 5 дней 21 час назад
Зарегистрирован: 16.11.2008 - 22:16
Публикации: 18098

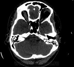
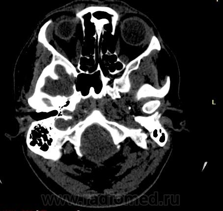
Открыл. В мозгу ничего осбенного не увидел. По поводу Киари ничего не скажу, на аксиалах не вижу, а реконструкции эти срезы не строят Да и отношусь я к этой патологиии как к норме.

Андрей Юрьевич

алкс аватар
Не на сайте
Был на сайте: 10 лет 2 недели назад
Зарегистрирован: 24.10.2012 - 22:55
Публикации: 2915

Андрей Юрьевич wrote:

Открыл. В мозгу ничего осбенного не увидел. По поводу Киари ничего не скажу, на аксиалах не вижу, а реконструкции эти срезы не строят Да и отношусь я к этой патологиии как к норме.

Спасибо за поддержку Андрей Юрьевич! Значит коллеги правы- это ничего.

Но мне показалось, что всеж, для 1967г.р., не очень норма, придираюсь уже, пора на покой .

Вот это меня задело собственно.

 

 

Приложения: 
1.jpg
Андрей Юрьевич аватар
Не на сайте
Был на сайте: 5 дней 21 час назад
Зарегистрирован: 16.11.2008 - 22:16
Публикации: 18098

Придираетесь, но "на покой"  не надо. А какую патологию Вы думали?

Андрей Юрьевич

алкс аватар
Не на сайте
Был на сайте: 10 лет 2 недели назад
Зарегистрирован: 24.10.2012 - 22:55
Публикации: 2915

Андрей Юрьевич wrote:

Придираетесь, но "на покой"  не надо. А какую патологию Вы думали?

Аномалию Арнольда-Киари 1типа.

алкс аватар
Не на сайте
Был на сайте: 10 лет 2 недели назад
Зарегистрирован: 24.10.2012 - 22:55
Публикации: 2915

На МРТ выставили  аномалию Арнольда-Киари 1, нам сказали фу... На что я ответил, что по " ловцу и рыба". Во - первых, линию на КТ провести сложно ( в данном иссл.), во-вторых - естественные артефакты костей основания. И вообще пошли на...МРТ! Но осадок остался.

Любовь С. аватар
Не на сайте
Был на сайте: 9 лет 5 месяцев назад
Зарегистрирован: 23.12.2010 - 01:58
Публикации: 2324

Для Арнольда-Киари I МРТ - как раз и есть метод диагностики, а на КТ это дело можно лишь заподозрить. Плюньте на осадок. Ну хотите, я плюну?) Тока отойдите, а то разъест))).

"Предоставляя весь смысл и совершенство в распоряжение одного только Бога, вы избавляете себя от бездны хлопот." Джон Уитборн.

Любовь С. аватар
Не на сайте
Был на сайте: 9 лет 5 месяцев назад
Зарегистрирован: 23.12.2010 - 01:58
Публикации: 2324

Хотя... ))))

Приложения: 
a-k-1_2.jpga-k-1_1.jpgsc0000.jpg

"Предоставляя весь смысл и совершенство в распоряжение одного только Бога, вы избавляете себя от бездны хлопот." Джон Уитборн.

алкс аватар
Не на сайте
Был на сайте: 10 лет 2 недели назад
Зарегистрирован: 24.10.2012 - 22:55
Публикации: 2915

Любовь С. wrote:

Для Арнольда-Киари I МРТ - как раз и есть метод диагностики, а на КТ это дело можно лишь заподозрить. Плюньте на осадок. Ну хотите, я плюну?) Тока отойдите, а то разъест))).

Спасибо, коллега, но могли бы я... Ну, чиркануть - " не искл.". Пересматривая- все больше и больше - надо было "вопреки настоять"