Просто интересный случай, как и все контроли после флюорографии.

Пол пациента: 
Методы исследования: 

Гражданин в течение 3- лет флюорографии не проходил.

  • https://radiomed.ru/sites/default/files/styles/case_slider_image/public/user/12/52.I.S..jpg?itok=4hWRChtW
  • https://radiomed.ru/sites/default/files/styles/case_slider_image/public/user/12/53.I.S..JPG?itok=ZmxlSQiB
  • https://radiomed.ru/sites/default/files/styles/case_slider_image/public/user/12/54.I.S..JPG?itok=LJjnPP1q
  • https://radiomed.ru/sites/default/files/styles/case_slider_image/public/user/12/55.I.S..JPG?itok=gwaa9jU2
  • https://radiomed.ru/sites/default/files/styles/case_slider_image/public/user/12/56.I.S..JPG?itok=xbuYvOXB
  • https://radiomed.ru/sites/default/files/styles/case_slider_image/public/user/12/57.I.S..JPG?itok=BE1PyPg0
  • https://radiomed.ru/sites/default/files/styles/case_slider_image/public/user/12/58.I.S..JPG?itok=48_f_oA4
ID:2173
Грицько Виталий аватар
Не на сайте
Был на сайте: 9 лет 2 дня назад
Зарегистрирован: 05.01.2010 - 14:06
Публикации: 1058

На вскидку тут tbs.

Катенёв Валентин Львович аватар
Не на сайте
Был на сайте: 7 лет 3 недели назад
Зарегистрирован: 22.03.2008 - 22:15
Публикации: 54876

Я не склонен думать , что "это" Его величество Туберкулёз. На мой взгляд - "Сиятельный ТУМОР".

Грицько Виталий аватар
Не на сайте
Был на сайте: 9 лет 2 дня назад
Зарегистрирован: 05.01.2010 - 14:06
Публикации: 1058

А что дает лаборатория? Что с анамнезом?

Катенёв Валентин Львович аватар
Не на сайте
Был на сайте: 7 лет 3 недели назад
Зарегистрирован: 22.03.2008 - 22:15
Публикации: 54876

Случай сегодняшний, еще и протокол не написан, так как пациент явился в 15 часов на диагностическую флюорографию, направлен по поводу пнемонии. Давненько, я не видел мокроты цвета "малинового желе", но в данном случае увидел. Лаборатория и прочее - все будет завтра.

Грицько Виталий аватар
Не на сайте
Был на сайте: 9 лет 2 дня назад
Зарегистрирован: 05.01.2010 - 14:06
Публикации: 1058

Интересный случай.

mila аватар
Не на сайте
Был на сайте: 5 лет 2 месяцев назад
Зарегистрирован: 26.02.2010 - 02:56
Публикации: 277

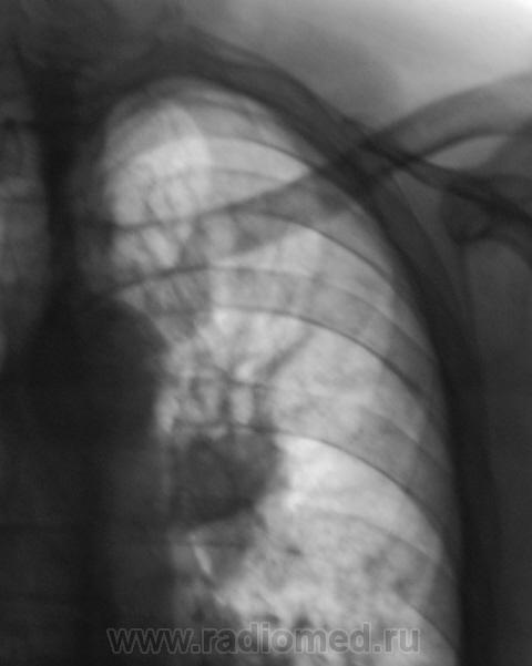
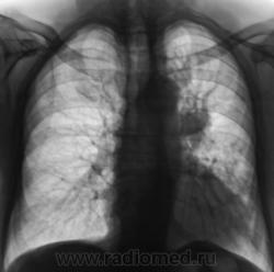
Центральный рак  с ателектазом  S3, на  снимке в прямой проекции то же присутствуют признаки уменьшения объема:  слева  диафрагма расположена выше обычного, средостение смещено влево, несмотря на поворот вправо при установке.

 

Катенёв Валентин Львович аватар
Не на сайте
Был на сайте: 7 лет 3 недели назад
Зарегистрирован: 22.03.2008 - 22:15
Публикации: 54876

Вот, и позвонок, что-то не нравится...

 

Приложения: 
11.NNR_..JPG12.NNR_.jpg
tatyana аватар
Не на сайте
Был на сайте: 4 года 1 месяц назад
Зарегистрирован: 24.06.2009 - 08:33
Публикации: 2090

Уплощены тела Th6-9, но, Валентин Львович, при таком кифозе я бы не стала оценивать позвонки по снимку легких даже цифровому, укладка другая требуется

"самоуверенность дилетантов - предмет зависти профессионалов"

Катенёв Валентин Львович аватар
Не на сайте
Был на сайте: 7 лет 3 недели назад
Зарегистрирован: 22.03.2008 - 22:15
Публикации: 54876

Вы совершенно правы, уважаемая Татьяна Валентиновна!

Но, вот сидел сегодня, смотрел опять, ну кажутся они мне порозными.

 

Приложения: 
24.NNR_..JPG25.NNR_..jpg
tatyana аватар
Не на сайте
Был на сайте: 4 года 1 месяц назад
Зарегистрирован: 24.06.2009 - 08:33
Публикации: 2090

вот именно - порозными... А кажутся - надо доснять позвонки

"самоуверенность дилетантов - предмет зависти профессионалов"

mila аватар
Не на сайте
Был на сайте: 5 лет 2 месяцев назад
Зарегистрирован: 26.02.2010 - 02:56
Публикации: 277

Нет это не мтс, снижение высоты тел позвонков равномерное, с подчеркнутостью замыкательных пластин, измнения возрастного характера.

Vikkur аватар
Не на сайте
Был на сайте: 4 года 8 месяцев назад
Зарегистрирован: 24.09.2009 - 14:34
Публикации: 1749

Да видимо действительно сенильный остеопороз. Хотя Th9 подозрительный..

И это видимо из тех граждан которые Уверены в бесполезности флюорографии и поэтому не проходят её(((

Виктор.