Разминка.

Пол пациента: 
Методы исследования: 

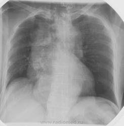
Пацинтка 60 лет. Остро возникшая нижняя параплегия. (3 дня). Рентгенограммы выполнены в положении лежа.

  • https://radiomed.ru/sites/default/files/styles/case_slider_image/public/user/9121/2_0.jpg?itok=zRQSpmXl
  • https://radiomed.ru/sites/default/files/styles/case_slider_image/public/user/9121/3_0.jpg?itok=ZZ_K8UoT
ID:21990
Almo аватар
Не на сайте
Был на сайте: 19 часов 3 минуты назад
Зарегистрирован: 28.09.2008 - 18:50
Публикации: 8259

Первый вопрос который возникает- где раположена тень в лёгком или в средостении? Скорее всего в средостении ( но, может оказатьс и в лёгком...). Тогда чем обусловлен субстрат тени?

Катенёв Валентин Львович аватар
Не на сайте
Был на сайте: 7 лет 3 недели назад
Зарегистрирован: 22.03.2008 - 22:15
Публикации: 54876

"Зло", наиболее вероятно из средостения.

Бородулин М.А. аватар
Не на сайте
Был на сайте: 9 месяцев 2 недели назад
Зарегистрирован: 17.02.2011 - 01:10
Публикации: 1409

Гипотезы?

Катенёв Валентин Львович аватар
Не на сайте
Был на сайте: 7 лет 3 недели назад
Зарегистрирован: 22.03.2008 - 22:15
Публикации: 54876

Средостение расширено, больше справа, расширено равномерно. Создается впечатление наличия и гиперплазированных лимфатических узлов, и не только лимфоузлов (внутригрудных) общепринятых групп, но и пониже.

Катенёв Валентин Львович аватар
Не на сайте
Был на сайте: 7 лет 3 недели назад
Зарегистрирован: 22.03.2008 - 22:15
Публикации: 54876

Плохо вижу задние фрагменты ребер справа медиально, по всей видимости, задействовано заднее средостение. Конечно, если бы не возраст, можно было предположить герминогенную группу, но возраст не дает об этом подумать.

Катенёв Валентин Львович аватар
Не на сайте
Был на сайте: 7 лет 3 недели назад
Зарегистрирован: 22.03.2008 - 22:15
Публикации: 54876

Сомнения и по поводу ребра.

 

Приложения: 
1_0._somnetelno..jpg
Бородулин М.А. аватар
Не на сайте
Был на сайте: 9 месяцев 2 недели назад
Зарегистрирован: 17.02.2011 - 01:10
Публикации: 1409

Катенёв Валентин Львович wrote:

Сомнения и по поводу ребра.

 

Ребра???

Mitkampfer аватар
Не на сайте
Был на сайте: 11 лет 1 месяц назад
Зарегистрирован: 27.07.2010 - 07:43
Публикации: 1454

Катенёв Валентин Львович wrote:

Сомнения и по поводу ребра.

 

скорее всего угол лопатки + большой поворот вправо.

Большие сомнения насчет С3 справа.

По нижнему заднему средостению начал бы с глотка бария...

Не ограничивайте свою мысль

Живешь пока учишься

Ecrasez l’infame

RadiolojiCT аватар
Не на сайте
Был на сайте: 13 лет 5 месяцев назад
Зарегистрирован: 18.06.2012 - 09:04
Публикации: 4

nada izdelat KT...  

sema аватар
Не на сайте
Был на сайте: 10 лет 4 месяцев назад
Зарегистрирован: 05.09.2010 - 08:39
Публикации: 233

-----nada izdelat KT...---

Согласен и заодно посмотреть, что с верхнегрудными позвонками.

Nikolas аватар
Не на сайте
Был на сайте: 2 месяцев 14 часов назад
Зарегистрирован: 21.12.2010 - 20:37
Публикации: 4559

больших остаточных туберкулезных изменений в правом гемитораксе в виде множественных петрификатов в лимфатических узлах и крупного очага Гона  не позволяет, так просто, исключить   специфическую природу видимых поражений и нижнию параплегию.

И.Бондаренко аватар
Не на сайте
Был на сайте: 2 дня 10 часов назад
Зарегистрирован: 13.09.2011 - 22:55
Публикации: 9206

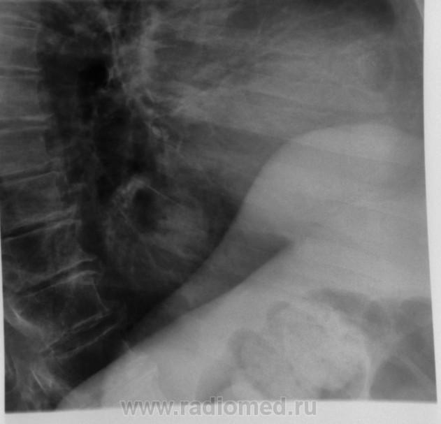
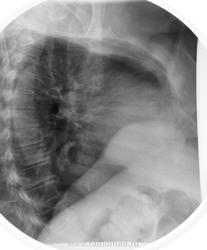
Ещё предложение: дать барий и исключить аксиальную грыжу.

Бородулин М.А. аватар
Не на сайте
Был на сайте: 9 месяцев 2 недели назад
Зарегистрирован: 17.02.2011 - 01:10
Публикации: 1409

И.Бондаренко wrote:

Ещё предложение: дать барий и исключить аксиальную грыжу.

yes. Частично внутригрудной желудок

Приложения: 
4.jpg5.jpg
Бородулин М.А. аватар
Не на сайте
Был на сайте: 9 месяцев 2 недели назад
Зарегистрирован: 17.02.2011 - 01:10
Публикации: 1409

Несомненно сочетание патологии.

К позвонкам стоит присмотреться

Almo аватар
Не на сайте
Был на сайте: 19 часов 3 минуты назад
Зарегистрирован: 28.09.2008 - 18:50
Публикации: 8259

Ретроспективно зная, что это такое, ещё раз просматривая снимки , по боковой проекции  видно просветление  на фоне тени, с учётом  картины по прямой проекции, можно было бы и догадаться с чем имеем дело, но что-то не сработало в черепной коробке (видимо правльно говорят военные, что голова -это кость). Если серьёзно, такая картина нечасто встречается и как понимать термин-Частично внутригрудной желудок?Есть укорочение пищевода или пищевод нормальной длины ( тогда это будет фиксированная грыжа пищеводного отверстия диафрагмы).

Nikolas аватар
Не на сайте
Был на сайте: 2 месяцев 14 часов назад
Зарегистрирован: 21.12.2010 - 20:37
Публикации: 4559

Не стоит посыпать голову пеплом. Это только "разминка". В позвонках патологию видели?

Almo аватар
Не на сайте
Был на сайте: 19 часов 3 минуты назад
Зарегистрирован: 28.09.2008 - 18:50
Публикации: 8259

Изменения в позвонках, предварительно можно расценить, как проявления дисплазии ( по моему скромному имхо).

Бородулин М.А. аватар
Не на сайте
Был на сайте: 9 месяцев 2 недели назад
Зарегистрирован: 17.02.2011 - 01:10
Публикации: 1409

Литический метастаз Th11.

Рак щитовидной железы. Диагноз верифицирован гистологически. Ответ биопсии получен вчера и из железы и из позвонка

sema аватар
Не на сайте
Был на сайте: 10 лет 4 месяцев назад
Зарегистрирован: 05.09.2010 - 08:39
Публикации: 233

 

------Литический метастаз Th11.

------Рак щитовидной железы. Диагноз верифицирован гистологически. Ответ биопсии получен вчера и из железы и из позвонка------

 

Даже мыслей не было, верхнее средостение не вызывало вопросов, а как верхние грудные позвонки?

Almo аватар
Не на сайте
Был на сайте: 19 часов 3 минуты назад
Зарегистрирован: 28.09.2008 - 18:50
Публикации: 8259

Какие стуктуры Th 11 изменены? По представленным снимкам это поставть невозможно( по моему скромному мнению).

Петрович аватар
Не на сайте
Был на сайте: 7 лет 2 месяцев назад
Зарегистрирован: 22.03.2009 - 01:13
Публикации: 3908

Странно что никто не обратил внимания на лимфаденопатию…, или мне показалось?  Закуска-разминка прошла неоднозначно. Что там на первое блюдо?)

Приложения: 
1_0u-s-7.jpg

Неоднозначно всё

Катенёв Валентин Львович аватар
Не на сайте
Был на сайте: 7 лет 3 недели назад
Зарегистрирован: 22.03.2008 - 22:15
Публикации: 54876

#4

Вам показалось Петрович.

Катенёв Валентин Львович аватар
Не на сайте
Был на сайте: 7 лет 3 недели назад
Зарегистрирован: 22.03.2008 - 22:15
Публикации: 54876

И, окончательный вердикт автора ветки?