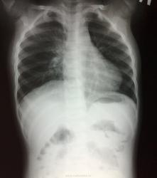
Ребенок 2-х лет откусил половину старинного градусника (который с ртутью).

Пол пациента: 
Тип патологии: 
Область исследования: 
Методы исследования: 

Ребенок раскусил градусник.

  • https://radiomed.ru/sites/default/files/styles/case_slider_image/public/user/17752/171120131019.jpg?itok=joQrdDnf
ID:33436
И.Бондаренко аватар
Не на сайте
Был на сайте: 1 день 13 часов назад
Зарегистрирован: 13.09.2011 - 22:55
Публикации: 9206

Никогда не думал, что этот градусник уже "старинный". Куда себя заносить? Справа в брюшной полости есть округлый участок затемнения, возможно, это ртуть, но не уверен. Слушал лекцию одного московского токсиколога, там был случай суицида с введением ртути в вену. В результате она оказалась в артериях конечностей и на рентгенограммах выглядела как множественные круглые, продольно расположенные затемнения. Думаю, что и в данном случае ртуть распадется на множество мелких частей.  

Ola-la аватар
Не на сайте
Был на сайте: 10 месяцев 2 недели назад
Зарегистрирован: 06.12.2008 - 09:33
Публикации: 1786

Вроде что-то похожее на ртуть маячит, если это не артефакты. Обычно ртуть выглядит так

Приложения: 
inorodnye_tela_zhkt_rtut_2.jpginorodnye_tela_zhkt_rtut_1.jpg
Helios аватар
Не на сайте
Был на сайте: 8 месяцев 22 часа назад
Зарегистрирован: 06.08.2010 - 15:16
Публикации: 4417

А с легкими все нормально?Справа верхняя доля выглядит как-то подозрительно.

Dr.Yllich аватар
Не на сайте
Был на сайте: 1 год 4 месяцев назад
Зарегистрирован: 01.05.2011 - 22:52
Публикации: 1196

Много раз видел проглоченную детьми ртуть - она дает на снимках очень интенсивные тени, прямо свинцовой плотности, как и на картинках от Ola-la. У этого ребенка рентгеноконтрастных инородных тел не вижу - или уже ушли (когда кусал не указано), или не глотал. За аспирацию тоже данных не вижу. А относительно "старинности" термометра - другие пока не распространены в наших краях.

С уважением. Ильич.

maker4ik аватар
Не на сайте
Был на сайте: 8 лет 7 месяцев назад
Зарегистрирован: 19.10.2011 - 17:49
Публикации: 2682

А почему такой корень справа? У детей так и должно быть?

vadim losevichev аватар
Не на сайте
Был на сайте: 7 лет 2 месяцев назад
Зарегистрирован: 27.01.2013 - 09:45
Публикации: 679

Качество конечно страдает. Вот, что нашел.

Приложения: 
171120131018.jpg

Non progrĕdi est regrĕdi.

stovbav аватар
Не на сайте
Был на сайте: 2 года 2 месяцев назад
Зарегистрирован: 20.12.2009 - 17:28
Публикации: 7066

vadim losevichev wrote:

Качество конечно страдает. Вот, что нашел.

Ртуть никогда не "мажет"...как здесь, форма должна быть правильной.

Makcimalist аватар
Не на сайте
Был на сайте: 11 лет 9 месяцев назад
Зарегистрирован: 08.05.2010 - 14:28
Публикации: 1994

Helios wrote:

А с легкими все нормально?Справа верхняя доля выглядит как-то подозрительно.

Согласился бы с обогащённым сосудистым рисунком. Но, похоже, снова банальный поворот или строго говоря, посредственная укладка вносят свой вклад в диагностику.(

--------------

"Просто, по видимости, не видеть логики в очевидных вещах - это тоже одно из свойств некоторых умов, наряду с грустными думами о свойствах ума других."  © Vega 08/10/2011

Helios аватар
Не на сайте
Был на сайте: 8 месяцев 22 часа назад
Зарегистрирован: 06.08.2010 - 15:16
Публикации: 4417

Я с детьми не работаю, но все может быть в жизни.Поэтому недетское любопытство гложет иногда.

Дмитрий Волегов аватар
Не на сайте
Был на сайте: 3 года 6 месяцев назад
Зарегистрирован: 22.05.2013 - 00:32
Публикации: 1148

Ola-la wrote:

Вроде что-то похожее на ртуть маячит, если это не артефакты. Обычно ртуть выглядит так

Спасибо за снимки.

С Уважением, Дмитрий.

vadim losevichev аватар
Не на сайте
Был на сайте: 7 лет 2 месяцев назад
Зарегистрирован: 27.01.2013 - 09:45
Публикации: 679

Спасибо за комментарии.

Non progrĕdi est regrĕdi.

Mihail63 аватар
Не на сайте
Был на сайте: 9 лет 6 дней назад
Зарегистрирован: 20.11.2012 - 10:31
Публикации: 154

обеднение легочного рисунка по периферии и изменения правого корня могут говорить о нарушении бронхопроходимости

svetlana292929 аватар
Не на сайте
Был на сайте: 3 года 8 месяцев назад
Зарегистрирован: 18.06.2012 - 13:53
Публикации: 869

у детей правый корень так обычно и выглядит

Makcimalist аватар
Не на сайте
Был на сайте: 11 лет 9 месяцев назад
Зарегистрирован: 08.05.2010 - 14:28
Публикации: 1994

svetka292929 wrote:

"у детей правый корень так обычно и выглядит

... при повороте" - забыли добавить.))

--------------

"Просто, по видимости, не видеть логики в очевидных вещах - это тоже одно из свойств некоторых умов, наряду с грустными думами о свойствах ума других."  © Vega 08/10/2011

алкс аватар
Не на сайте
Был на сайте: 10 лет 1 месяц назад
Зарегистрирован: 24.10.2012 - 22:55
Публикации: 2915

Mihail63 wrote:

обеднение легочного рисунка по периферии и изменения правого корня могут говорить о нарушении бронхопроходимости

? А какой легочный рисунок в плащевой зоне? А корень - это что в основе?

Коллега, Вы точно, бронхопроходимость имели в виду? Или порок сердца по типу стеноза ЛА?

Mihail63 аватар
Не на сайте
Был на сайте: 9 лет 6 дней назад
Зарегистрирован: 20.11.2012 - 10:31
Публикации: 154

Вы точно, бронхопроходимость имели в виду?

 

Да, точно