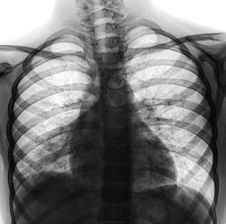
Ребенок направлен на рентгенографию ОГК с подозрением на правостороннюю пневмонию.

Пол пациента: 
Методы исследования: 

Ребенок направлен на рентгенографию ОГК с подозрением на правостороннюю пневмонию.

  • https://radiomed.ru/sites/default/files/styles/case_slider_image/public/user/12/12.dscn0267.jpg?itok=mnYxI4mI
  • https://radiomed.ru/sites/default/files/styles/case_slider_image/public/user/12/13.dscn0267a.jpg?itok=ZyHoWoVB
ID:23705
Dr.Yllich аватар
Не на сайте
Был на сайте: 1 год 4 месяцев назад
Зарегистрирован: 01.05.2011 - 22:52
Публикации: 1196

Не  вижу  пневмонии.

С уважением. Ильич.

Петрович аватар
Не на сайте
Был на сайте: 7 лет 2 месяцев назад
Зарегистрирован: 22.03.2009 - 01:13
Публикации: 3908

Что-то вижу справа в нижней доле …, но в позитиве лёгочную патологию анализировать непривычно. А переводить в негатив времени нет пока.

Неоднозначно всё

Ola-la аватар
Не на сайте
Был на сайте: 10 месяцев 1 неделя назад
Зарегистрирован: 06.12.2008 - 09:33
Публикации: 1786

Правостороняя нижнедолевая пневмония........похоже, и плеврит есть справа. Да, смотреть неудобно в позитиве, мне непривычно, да и с размерами - так мелко, а при увеличении в экран монитора не влезает ((((

Mitkampfer аватар
Не на сайте
Был на сайте: 11 лет 1 месяц назад
Зарегистрирован: 27.07.2010 - 07:43
Публикации: 1454

Правосторонняя н/долевая, но учитывая размеры сердца, корни, возможно застойная. Соорентируйтесь по клинике. Может быть и два в одном.

P.S. Сколько лет ребенку?

Не ограничивайте свою мысль

Живешь пока учишься

Ecrasez l’infame

А. Горюнов аватар
Не на сайте
Был на сайте: 1 месяц 2 дня назад
Зарегистрирован: 07.10.2012 - 12:12
Публикации: 2744

Рентгеновская комьютерная томография (СКТ) разрешит все Ваши сомнения. С уважением А.П.

Анатолий Петрович

FOX-ray аватар
Не на сайте
Был на сайте: 12 лет 3 месяцев назад
Зарегистрирован: 27.10.2010 - 21:05
Публикации: 84

Пневмонии тоже не вижу. Соглашусь, что хотелось бы посмотреть оригинал в негативе, а не позитив с усилением резкости. От цифрового шума лёгочный рисунок очень пестрит. Справа наслоение усиленного рисунка на рёбра. Сердце "расширено" вправо за счёт поворота ребёнка, но всё равно правое предсердие подозрительное....

FOX-ray

Special.K аватар
Не на сайте
Был на сайте: 8 лет 10 месяцев назад
Зарегистрирован: 09.08.2012 - 23:08
Публикации: 479

при наличии соответствующей клиники и лабораторной картины - поставил бы правостороннюю нижнедолевую

И.Бондаренко аватар
Не на сайте
Был на сайте: 1 день 22 часа назад
Зарегистрирован: 13.09.2011 - 22:55
Публикации: 9206

С детьми не работаю. Насчёт пневмонии утверждать не буду. Не нравиться косая полоса идущая от сердца, может быть ателектаз или плеврит.

арнольд аватар
Не на сайте
Был на сайте: 1 год 12 месяцев назад
Зарегистрирован: 22.12.2008 - 16:50
Публикации: 196

Сколько лет ребёнку? Аспирации не было?

Dat.Dicat.Dedicat.

Петрович аватар
Не на сайте
Был на сайте: 7 лет 2 месяцев назад
Зарегистрирован: 22.03.2009 - 01:13
Публикации: 3908

Косую полосу, вернее границу – признаю, но пока непонятно к чему отнести…

Приложения: 
11.dscn0266kr-337.jpg11.dscn0266u14-337.jpg112.dscn0267u08-337.jpg

Неоднозначно всё

Катенёв Валентин Львович аватар
Не на сайте
Был на сайте: 7 лет 2 недели назад
Зарегистрирован: 22.03.2008 - 22:15
Публикации: 54876

Ola-la wrote:

Да, смотреть неудобно в позитиве, мне непривычно, да и с размерами - так мелко, а при увеличении в экран монитора не влизает ((((

Здравствуйте!

А, Вы на Вашей CR-системе смотрите только в условиях негатива?

Катенёв Валентин Львович аватар
Не на сайте
Был на сайте: 7 лет 2 недели назад
Зарегистрирован: 22.03.2008 - 22:15
Публикации: 54876

А. Горюнов wrote:

Рентгеновская комьютерная томография (СКТ) разрешит все Ваши сомнения. С уважением А.П.

А, где в ЦРБушке СКТ?

Катенёв Валентин Львович аватар
Не на сайте
Был на сайте: 7 лет 2 недели назад
Зарегистрирован: 22.03.2008 - 22:15
Публикации: 54876

арнольд wrote:

 Аспирации не было?

Не было.

Катенёв Валентин Львович аватар
Не на сайте
Был на сайте: 7 лет 2 недели назад
Зарегистрирован: 22.03.2008 - 22:15
Публикации: 54876

Петрович wrote:

Косую полосу, вернее границу – признаю, но пока непонятно к чему отнести…

Да Петрович - Вы талант, так информативно в "негатив" перевели!

Катенёв Валентин Львович аватар
Не на сайте
Был на сайте: 7 лет 2 недели назад
Зарегистрирован: 22.03.2008 - 22:15
Публикации: 54876

FOX-ray wrote:

Пневмонии тоже не вижу. 

Возможно и нет..., но снижение прозрачности легочной ткани справа есть?

FOX-ray аватар
Не на сайте
Был на сайте: 12 лет 3 месяцев назад
Зарегистрирован: 27.10.2010 - 21:05
Публикации: 84

Возможно и нет..., но снижение прозрачности легочной ткани справа есть?

[/quote]

Если присмотреться, то снижение прозрачности сводится к местам пересечения ребер и усиленного лёгочного рисунка. Есть небольшие продолговатые зоны сниженной воздушности, которые, скорее всего, являются дольковыми микроателектазиками на фоне нарушенной бронхиальной проходимости. Явления бронхита имеются однозначно. Та косая полоса справа - это изменённый корень с периваскуляным отёком и перибронхиальными изменениями. У детей картина всегда более "яркая" и "пугающая". К тому же, она очень быстро меняется и на фоне такого бронхита до пневмонии рукой подать. Лечение принципиально отличаться не будет, а в случае затяжного течения необходимо повторить снимок.

FOX-ray

Ola-la аватар
Не на сайте
Был на сайте: 10 месяцев 1 неделя назад
Зарегистрирован: 06.12.2008 - 09:33
Публикации: 1786

Катенёв Валентин Львович wrote:

 

Здравствуйте!

А, Вы на Вашей CR-системе смотрите только в условиях негатива?

Да, по старой привычке, только в негативе смотрю.

Катенёв Валентин Львович аватар
Не на сайте
Был на сайте: 7 лет 2 недели назад
Зарегистрирован: 22.03.2008 - 22:15
Публикации: 54876

У нас (в области) многие перешли на "позитив".

Special.K аватар
Не на сайте
Был на сайте: 8 лет 10 месяцев назад
Зарегистрирован: 09.08.2012 - 23:08
Публикации: 479

мягкие тени, особенно в верхушках, на позитиве смотрятся в большинстве случаев лучше

maker4ik аватар
Не на сайте
Был на сайте: 8 лет 7 месяцев назад
Зарегистрирован: 19.10.2011 - 17:49
Публикации: 2682

Не вижу пневмонии

lupan аватар
Не на сайте
Был на сайте: 6 лет 10 месяцев назад
Зарегистрирован: 07.01.2010 - 17:17
Публикации: 1406

Ola-la wrote:

Правостороняя нижнедолевая пневмония........похоже, и плеврит есть справа. Да, смотреть неудобно в позитиве, мне непривычно, да и с размерами - так мелко, а при увеличении в экран монитора не влизает ((((

Нажимаем Ctrl и крутим колесико мышки.

Великое преймущество врача заключается в том, что он не обязан следовать собственным советам. ( А. Кристи)

Dr.Yllich аватар
Не на сайте
Был на сайте: 1 год 4 месяцев назад
Зарегистрирован: 01.05.2011 - 22:52
Публикации: 1196

Уважаемая Ola-la! Пожалуйста, покажите инфильтрацию на боковом снимке, для меня это принципиально - с подобными картинками встречаюсь часто, и когда не вижу инфильтрации на боковом, не пишу пневмонию. А может быть этот мой подход  неправильный?! Заранее благодарен.

На № 11 - приходится смотреть только в негативе, т.к. моя программа рабочей станции возможность обращения не предоставляет, а хотелось бы - наилучший вариант смотреть и в негативе, и в позитиве! 

С уважением. Ильич.

Ola-la аватар
Не на сайте
Был на сайте: 10 месяцев 1 неделя назад
Зарегистрирован: 06.12.2008 - 09:33
Публикации: 1786

Мне не нравится место, обведенное красным овалом, отчетливо видна разница в пневматизации на уровне межпозвонковых дисков вверху и внизу. Возможно, здесь даже осумкованный паракостальный задний плеврит. Но могу ошибаться. Вот бы КТ сделать.

Приложения: 
112_dscn0267u08-337.jpg
Dr.Yllich аватар
Не на сайте
Был на сайте: 1 год 4 месяцев назад
Зарегистрирован: 01.05.2011 - 22:52
Публикации: 1196

Большое спасибо, убедили.

С уважением. Ильич.

Mitkampfer аватар
Не на сайте
Был на сайте: 11 лет 1 месяц назад
Зарегистрирован: 27.07.2010 - 07:43
Публикации: 1454

добавлю еще, взгляд не нужно останавливать на уровне диафрагмы по прямомой проекции смотрите и ниже на фоне печени.

Не ограничивайте свою мысль

Живешь пока учишься

Ecrasez l’infame

Катенёв Валентин Львович аватар
Не на сайте
Был на сайте: 7 лет 2 недели назад
Зарегистрирован: 22.03.2008 - 22:15
Публикации: 54876

Ola-la wrote:

Возможно, здесь даже осумкованный паракостальный задний плеврит.

Да, логично.

Вот не нравится мне и снижение прозрачности легочной ткани помеченное желтыми стрелками

Приложения: 
112_dscn0267u08-337.jpg
Петрович аватар
Не на сайте
Был на сайте: 7 лет 2 месяцев назад
Зарегистрирован: 22.03.2009 - 01:13
Публикации: 3908

А мне ещё не нравятся косые границы (зелёными и серыми стрелками). Кто-нибудь знает, что это?

Приложения: 
112_dscn0267u08-337_0.jpg11.dscn0266kr-337.jpg

Неоднозначно всё

Катенёв Валентин Львович аватар
Не на сайте
Был на сайте: 7 лет 2 недели назад
Зарегистрирован: 22.03.2008 - 22:15
Публикации: 54876

Петрович wrote:

А мне ещё не нравятся косые границы (зелёными и серыми стрелками). Кто-нибудь знает, что это?

Вы сильно правы Уважаемый Петрович!

Ola-la аватар
Не на сайте
Был на сайте: 10 месяцев 1 неделя назад
Зарегистрирован: 06.12.2008 - 09:33
Публикации: 1786

То, что указано серыми стрелками, на мой взгляд, это верхний край уменьшенной в объеме нижней доли.

Катенёв Валентин Львович аватар
Не на сайте
Был на сайте: 7 лет 2 недели назад
Зарегистрирован: 22.03.2008 - 22:15
Публикации: 54876

Ola-la wrote:

То, что указано серыми стрелками, на мой взгляд, это верхний край уменьшенной в объеме нижней доли.

Следовательно, пневмония, или гиповентиляция?

Ola-la аватар
Не на сайте
Был на сайте: 10 месяцев 1 неделя назад
Зарегистрирован: 06.12.2008 - 09:33
Публикации: 1786

Да кто его знает, бывает уменьшение объма и при пневмонии. Вообщем, без КТ не разобраться.

FOX-ray аватар
Не на сайте
Был на сайте: 12 лет 3 месяцев назад
Зарегистрирован: 27.10.2010 - 21:05
Публикации: 84

Ola-la wrote:

Мне не нравится место, обведенное красным овалом, отчетливо видна разница в пневматизации на уровне межпозвонковых дисков вверху и внизу. Возможно, здесь даже осумкованный паракостальный задний плеврит. Но могу ошибаться. Вот бы КТ сделать.

Это место ничем не отличается от соседних участков, плюс тень позвонка и ребра, дающие вуализацию за счёт рассеянного излучения.

Желтые стрелочки, отмеченные автором, скорее всего указывает на западение грудины по типу воронкообразной деформации гр.клетки - нужно посмотреть пациента живьём.

А вообще, хотелось бы взглянуть на анализы крови......

FOX-ray

Катенёв Валентин Львович аватар
Не на сайте
Был на сайте: 7 лет 2 недели назад
Зарегистрирован: 22.03.2008 - 22:15
Публикации: 54876

FOX-ray wrote:

Желтые стрелочки, отмеченные автором, скорее всего указывает на западение грудины по типу воронкообразной деформации гр.клетки - нужно посмотреть пациента живьём.

Нет этого, смотрел сам, не только смотрел, но и пропальпировал.

Mitkampfer аватар
Не на сайте
Был на сайте: 11 лет 1 месяц назад
Зарегистрирован: 27.07.2010 - 07:43
Публикации: 1454

сколько дискуссий из-за бронхопневмонии. Грудина в боковой вполне хорошо видна.

Не ограничивайте свою мысль

Живешь пока учишься

Ecrasez l’infame

Петрович аватар
Не на сайте
Был на сайте: 7 лет 2 месяцев назад
Зарегистрирован: 22.03.2009 - 01:13
Публикации: 3908

Ola-la wrote:
То, что указано серыми стрелками, на мой взгляд, это верхний край уменьшенной в объеме нижней доли.

Когда нижняя доля так существенно уменьшается, признаки этого непременно должны быть видны и в боковой проекции. Уплотнение нижней доли, смещение междолевой плевры.

Оль, а не может ли это быть краем плеврокостального наложения отмеченного желтыми стрелками на изображении боковой проекции?

Неоднозначно всё

Катенёв Валентин Львович аватар
Не на сайте
Был на сайте: 7 лет 2 недели назад
Зарегистрирован: 22.03.2008 - 22:15
Публикации: 54876

Петрович wrote:

Когда нижняя доля так существенно уменьшается, признаки этого непременно должны быть видны и в боковой проекции. Уплотнение нижней доли, смещение междолевой плевры.

А, этого на "боковухе" не видно.

Ola-la аватар
Не на сайте
Был на сайте: 10 месяцев 1 неделя назад
Зарегистрирован: 06.12.2008 - 09:33
Публикации: 1786

Петрович wrote:

 

Оль, а не может ли это быть краем плеврокостального наложения отмеченного желтыми стрелками на изображении боковой проекции?

На мой взгляд, не похоже.

Валентин Львович, так что с пациентом, на каком он этапе? Есть шанс узнать правильный ответ?

Катенёв Валентин Львович аватар
Не на сайте
Был на сайте: 7 лет 2 недели назад
Зарегистрирован: 22.03.2008 - 22:15
Публикации: 54876

Грозятся, что после противовоспалительного лечения дадут на контроль.

Nikolas аватар
Не на сайте
Был на сайте: 1 месяц 3 недели назад
Зарегистрирован: 21.12.2010 - 20:37
Публикации: 4559

в легких имеются с обеих сторон. Нарушение бронхиальной проходимости сегметов нижней доли справа с объемным уменьшением. Явное повышение прозрачности верхней доли справа. Корень левого легкого расширен, малоструктурен. Определяется деформация, обогащение прикорневого легочного рисунка. Характер подобных изменений может иметь место при осложненном течении туберкулеза внутригрудных лимфатических узлов. Предполагаю, что ребенок имеет семейный контакт с больными туберкулезом.

Mitkampfer аватар
Не на сайте
Был на сайте: 11 лет 1 месяц назад
Зарегистрирован: 27.07.2010 - 07:43
Публикации: 1454

чего-то подобного я ожидал.....)

Не ограничивайте свою мысль

Живешь пока учишься

Ecrasez l’infame

Nikolas аватар
Не на сайте
Был на сайте: 1 месяц 3 недели назад
Зарегистрирован: 21.12.2010 - 20:37
Публикации: 4559

посещали  Вас?

Катенёв Валентин Львович аватар
Не на сайте
Был на сайте: 7 лет 2 недели назад
Зарегистрирован: 22.03.2008 - 22:15
Публикации: 54876

Сегодня был контроль.

Приложения: 
1.dscn0310.jpg2.dscn0311.jpg3.dscn0311a.jpg4.dscn0312.jpg5.dscn0312a.jpg
Mitkampfer аватар
Не на сайте
Был на сайте: 11 лет 1 месяц назад
Зарегистрирован: 27.07.2010 - 07:43
Публикации: 1454

И по клинике тоже хорошо?

Не ограничивайте свою мысль

Живешь пока учишься

Ecrasez l’infame

Катенёв Валентин Львович аватар
Не на сайте
Был на сайте: 7 лет 2 недели назад
Зарегистрирован: 22.03.2008 - 22:15
Публикации: 54876

Со слов мамы - стало лучше.

Петрович аватар
Не на сайте
Был на сайте: 7 лет 2 месяцев назад
Зарегистрирован: 22.03.2009 - 01:13
Публикации: 3908

Ну, что же можно поздравить с разрешением всех проблем?) 

Неоднозначно всё

Катенёв Валентин Львович аватар
Не на сайте
Был на сайте: 7 лет 2 недели назад
Зарегистрирован: 22.03.2008 - 22:15
Публикации: 54876

Петрович wrote:

Ну, что же можно поздравить с разрешением всех проблем?) 

А проблема была?

Петрович аватар
Не на сайте
Был на сайте: 7 лет 2 месяцев назад
Зарегистрирован: 22.03.2009 - 01:13
Публикации: 3908

Ну, как же? Много чего нарисовали здесь …, а кое-чего понять не успели…, уж рассосалось оно.

Неоднозначно всё

Mitkampfer аватар
Не на сайте
Был на сайте: 11 лет 1 месяц назад
Зарегистрирован: 27.07.2010 - 07:43
Публикации: 1454

а ну ка обратно, рентгенологи еще не решили, что это))

Не ограничивайте свою мысль

Живешь пока учишься

Ecrasez l’infame

Катенёв Валентин Львович аватар
Не на сайте
Был на сайте: 7 лет 2 недели назад
Зарегистрирован: 22.03.2008 - 22:15
Публикации: 54876

Снимок этого пациента год тому назад.

Приложения: 
11.dscn0313.jpg
Ola-la аватар
Не на сайте
Был на сайте: 10 месяцев 1 неделя назад
Зарегистрирован: 06.12.2008 - 09:33
Публикации: 1786

Катенёв Валентин Львович wrote:

Петрович wrote:

Ну, что же можно поздравить с разрешением всех проблем?) 

А проблема была?

На мой взгляд, однозначно была. Все же думаю ателектаз или гиповентиляция нижней доли.