Если честно, то у нас, почему то, травматологи эту классификацию не используют, и мы тоже не используем, я даже о ней и не знала. (был повод поискать ))))
Вот, нашла, но не определю, какой сюда подходит.
I тип: поперечный перелом через метафиз с затрагиванием ростковой зоны; хороший прогноз после закрытой репозиции.
II тип: частичный перелом через зону роста, выходящий через .метафиз кости; также хороший прогноз при закрытой репозиции.
III тип: продольный перелом через суставную поверхность и эпифиз, затем поперечно через метафиз и зону роста; прогноз хороший только при восстановлении анатомических соотношений.
IV тип: продольный перелом через эпифиз, ростковую зону и метафиз; обычно необходима открытая репозиция, высокий риск нарушения роста конечности в дальнейшем.
V тип: повреждение зоны роста по типу раздавливания; в дальнейшем высокий риск нарушения роста конечности.
Если конгруэнтность суставной поверхности сохранена, наложение гипса допустимо. В описании классификации которую вы опубликовали, всё неплохо расписано.
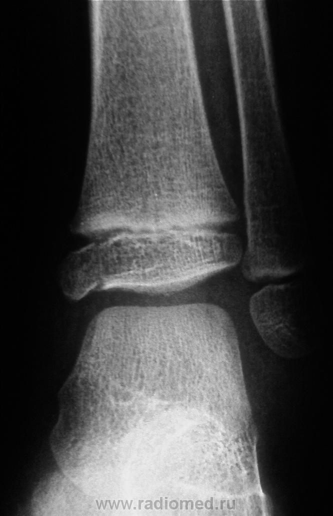
Да, эти два участка м/берцовой кости, вызвали у меня "законные сомнения", и дабы развеять сомнения, или подтвердить их, производство рентгенограмм в косых проекциях было-бы не лишним.
Да, эти два участка м/берцовой кости, вызвали у меня "законные сомнения", и дабы развеять сомнения, или подтвердить их, производство рентгенограмм в косых проекциях было-бы не лишним.
Да и над "структурой" костной ткани пяточной кости, я-бы задумался. Возможно, я ошибаюсь, так как с детьми имею дело эпизодически. Но, я надеюсь, что коллеги, наиболее "продвинутые" в детской костной рентгенологии, меня поправят, и за это им большое спасибо.
Кроме всего есть еще явный подвывих стопы кпереди в голеностопном суставе - продольная ось большеберцевой кости проходит намного кзади центра блока таранной кости.
Перелом медиальной лодыжки.
https://www.instagram.com/pediatricradiology/
А по Salter-Harris?
Let me see...
radiographia.ru
...
https://www.instagram.com/pediatricradiology/
))))) Type 3 (10%).
Let me see...
radiographia.ru
Если честно, то у нас, почему то, травматологи эту классификацию не используют, и мы тоже не используем, я даже о ней и не знала. (был повод поискать ))))
Вот, нашла, но не определю, какой сюда подходит.
I тип: поперечный перелом через метафиз с затрагиванием ростковой зоны; хороший прогноз после закрытой репозиции.
II тип: частичный перелом через зону роста, выходящий через .метафиз кости; также хороший прогноз при закрытой репозиции.
III тип: продольный перелом через суставную поверхность и эпифиз, затем поперечно через метафиз и зону роста; прогноз хороший только при восстановлении анатомических соотношений.
IV тип: продольный перелом через эпифиз, ростковую зону и метафиз; обычно необходима открытая репозиция, высокий риск нарушения роста конечности в дальнейшем.
V тип: повреждение зоны роста по типу раздавливания; в дальнейшем высокий риск нарушения роста конечности.
https://www.instagram.com/pediatricradiology/
Марио, спасибо, так красиво и понятно)))))
https://www.instagram.com/pediatricradiology/
Данная классификация имеет значение именно для травматологов, тип 3 лучше фиксировать спицами (как было и в моем случае).
Let me see...
radiographia.ru
Наши бы только загипсовали.
https://www.instagram.com/pediatricradiology/
Если конгруэнтность суставной поверхности сохранена, наложение гипса допустимо. В описании классификации которую вы опубликовали, всё неплохо расписано.
Let me see...
radiographia.ru
Ольга!
А Вы прицельно гляньте дистальную треть м/берцовой выше зоны росткового хряща.
Вас смущает это место (стрелки).
Я тоже поначалу обратил внимание, но:
1.снимок выполнен с небольшим поворотом стопы медиально.
2.клинически, со стороны латеральной лодыжки никакой боли нет.
Let me see...
radiographia.ru
Это место абсолютно нормально, у маленьких детей всегда так выглядит.
https://www.instagram.com/pediatricradiology/
Да, эти два участка м/берцовой кости, вызвали у меня "законные сомнения", и дабы развеять сомнения, или подтвердить их, производство рентгенограмм в косых проекциях было-бы не лишним.
Да, эти два участка м/берцовой кости, вызвали у меня "законные сомнения", и дабы развеять сомнения, или подтвердить их, производство рентгенограмм в косых проекциях было-бы не лишним.
Да. меня смутила-бы и структура костной ткани в области таранной кости.
Да. меня смутила-бы и структура костной ткани в области таранной кости.
Да и над "структурой" костной ткани пяточной кости, я-бы задумался. Возможно, я ошибаюсь, так как с детьми имею дело эпизодически. Но, я надеюсь, что коллеги, наиболее "продвинутые" в детской костной рентгенологии, меня поправят, и за это им большое спасибо.
Валентин Львович, такая рентген картина является нормой у маленьких деток.
Let me see...
radiographia.ru
Подожду комментарии других коллег, хотел-бы услышать комментарии Ola-la, что это всё это - "норма".
Валентин Львович, это норма!
https://www.instagram.com/pediatricradiology/
Кроме всего есть еще явный подвывих стопы кпереди в голеностопном суставе - продольная ось большеберцевой кости проходит намного кзади центра блока таранной кости.
Да, подвывих есть, и видно весьма хорошо. А я первоначально, как-то и не увидел. Спасибо коллега!
А главное, что и на прямом снимке, некоторая клиновидность суставной щели заметна.
Вот что-то Вега промолчал. А интересно было-бы услышать именно "мнение" от него.