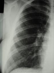
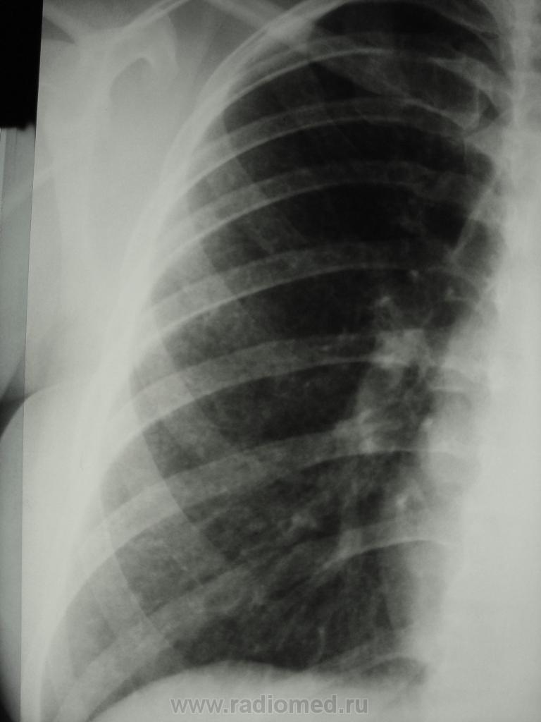
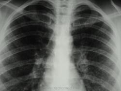
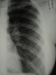
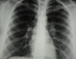
рентгенография ОГК

Пол пациента: 
Тип патологии: 
Методы исследования: 

девушка 1985 г.р. дообследована после профилактической флюорографии, на КТ написали гистиоцитоз. Диагноз пока не подтвержден. Жалоб не предъявляет, курит в течение 8-9 лет. консультирована у фтизиатров, свою патологию они исключили.

  • https://radiomed.ru/sites/default/files/styles/case_slider_image/public/user/952/DSC02254.JPG?itok=4AUngSdS
  • https://radiomed.ru/sites/default/files/styles/case_slider_image/public/user/952/DSC02255.JPG?itok=8QVK2Gen
  • https://radiomed.ru/sites/default/files/styles/case_slider_image/public/user/952/DSC02256.JPG?itok=FQ0i_l4f
  • https://radiomed.ru/sites/default/files/styles/case_slider_image/public/user/952/DSC02275.JPG?itok=IPQ3wy0c
  • https://radiomed.ru/sites/default/files/styles/case_slider_image/public/user/952/DSC02276.JPG?itok=7Q7QfrnO
  • https://radiomed.ru/sites/default/files/styles/case_slider_image/public/user/952/DSC02277.JPG?itok=WH9J4OBl
  • https://radiomed.ru/sites/default/files/styles/case_slider_image/public/user/952/DSC02280.JPG?itok=ssGkWfQ3
  • https://radiomed.ru/sites/default/files/styles/case_slider_image/public/user/952/DSC02281.JPG?itok=rIljHy3F
  • https://radiomed.ru/sites/default/files/styles/case_slider_image/public/user/952/DSC02282.JPG?itok=YnPQQPW8
  • https://radiomed.ru/sites/default/files/styles/case_slider_image/public/user/952/DSC02283.JPG?itok=a1sZ0yjU
ID:1384
Катенёв Валентин Львович аватар
Не на сайте
Был на сайте: 7 лет 2 недели назад
Зарегистрирован: 22.03.2008 - 22:15
Публикации: 54876

Что "поведала" мокрота и промывные воды бронхов?

 

 

 

На мой взгляд, выражены два компонента:

- преимущественно мономорфная диссеминации;

- интерстициальный компонент.

Катенёв Валентин Львович аватар
Не на сайте
Был на сайте: 7 лет 2 недели назад
Зарегистрирован: 22.03.2008 - 22:15
Публикации: 54876

Интересный случай! Весьма напоминает, представленный, в своё время, коллегой Коробейниковым.

Катенёв Валентин Львович аватар
Не на сайте
Был на сайте: 7 лет 2 недели назад
Зарегистрирован: 22.03.2008 - 22:15
Публикации: 54876

По рентгенограммам, создается впечатление превалирования "изменений", преимущественно, в средних и нижних отделах легочных полей.

 

Приложения: 
31.Diss_...jpg32.Diss_...jpg33.Diss_...jpg34.Diss_..jpg
Катенёв Валентин Львович аватар
Не на сайте
Был на сайте: 7 лет 2 недели назад
Зарегистрирован: 22.03.2008 - 22:15
Публикации: 54876

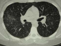
Но, КТ, по всей видимости, свидетельствует, именно, о диффузности процесса, с некоторым превалированием в отдельных отделах.

 

Приложения: 
41._Diff..jpg42._Diff..jpg43.Diff_..jpg44.Diff_..jpg45.Diff_..jpg46.Diff_..jpg47.Diff_..jpg
Юрич аватар
Не на сайте
Был на сайте: 6 лет 5 месяцев назад
Зарегистрирован: 17.01.2010 - 09:55
Публикации: 351

л.узлы корней не увеличены?

Грицько Виталий аватар
Не на сайте
Был на сайте: 8 лет 12 месяцев назад
Зарегистрирован: 05.01.2010 - 14:06
Публикации: 1058

Изменения диффузны. По rg более выраженны в нижних отделах, за счет марсива тканей. Ждем анализ мокроты и промывных вод.

Катенёв Валентин Львович аватар
Не на сайте
Был на сайте: 7 лет 2 недели назад
Зарегистрирован: 22.03.2008 - 22:15
Публикации: 54876

И, хотя, по КТ, был выставлен гистиоцитоз, в первую очередь должен быть исключен или подтвержден "Его величество туберкулёз".

DR.RAD аватар
Не на сайте
Был на сайте: 11 лет 8 месяцев назад
Зарегистрирован: 25.03.2009 - 18:22
Публикации: 805

туберкулез исключили, на этой неделе поедит дообследоваться в другой город, думаю результат к сожалению будет нескоро)))))))))

Катенёв Валентин Львович аватар
Не на сайте
Был на сайте: 7 лет 2 недели назад
Зарегистрирован: 22.03.2008 - 22:15
Публикации: 54876

Уважаемая коллега! "Исключили" - это значит, что не нашли, а не то, что его там нет. Была бронхоскопия? Было исследование промывных вод бронхов? Если нет, то, увы, об исключении речь идти не может. Был-ли "посев", и на каких средах? Если "посева" не было, то также - "увы".

Игорь Иванович аватар
Не на сайте
Был на сайте: 3 года 9 месяцев назад
Зарегистрирован: 23.01.2010 - 14:56
Публикации: 3695

Тоже на днях отправил на консультацию в ГТД по-моему аналогию, ответа пока нет.

Приложения: 
1967g.r._Dissemenirov._TBS.jpg
stovbav аватар
Не на сайте
Был на сайте: 2 года 2 месяцев назад
Зарегистрирован: 20.12.2009 - 17:28
Публикации: 7066

Игорь Иванович wrote:

Тоже на днях отправил на консультацию в ГТД по-моему аналогию, ответа пока нет.

Очень на то похоже, что аналогия..."Более 90% больных гистиоциозом-Х (Лангергасоклеточным гистиоцитозом) - курильщики"...

Игорь Иванович аватар
Не на сайте
Был на сайте: 3 года 9 месяцев назад
Зарегистрирован: 23.01.2010 - 14:56
Публикации: 3695

stovbav wrote:

Игорь Иванович wrote:

Тоже на днях отправил на консультацию в ГТД по-моему аналогию, ответа пока нет.

Очень на то похоже, что аналогия..."Более 90% больных гистиоциозом-Х (Лангергасоклеточным гистиоцитозом) - курильщики"...

 Про гистиоцитоз, конечно, не думал (не хватало), да и что-то не похоже на ТБС. Но пусть фтизиатры снимут свой диагноз сами. В принципе, я даже не знаю, есть ли жалобы в моем случае, пациентка забрала снимки и результат без меня. А вернется ли?