мальчик 2003 г.р. направлен педиатром на рент-фию стоп, в направлении плоскостопие 1 ст. Ортопед отмечает плоские стопы. Коллеги подскажите пожалуйста, в таком возрасте нужно ли расчерчивать на плоскостопие???и на какие нормативы ориентироваться???
Ребенок растет, формируется скелет, растет и стопа.
Можно порекомендовать ортопеду исследовать новорожденных - у них у всех будет плоская стопа - простор для ортопеда, желающего найти продольное плоскостопие.
здорово, спасибо за ваши мнения)))я мотрела запись ортопеда, он не назначил рент-фию, это у же педиатр сама додумалась. что же мне теперь сделать, расчертить пяточно-подш. угол и все???а какие нормативы,подскажите пожалуйста
Пяточно-подошвенный угол в норме 16-20 градусов. При 1 ст. - 15-11, при 2 ст.-10-6, при 3 ст. меньше 6 градусов. Это Новокузнецкая школа. У меня на работе есть еще несколько другие данные, завтра уточню и напишу. Угол продольного свода у таких детей расчерчивается по-другому - касательная к нижней поверхности I плюсневой кости и касательная к нижней поверхности пяточной кости. Нормы скажу завтра.
ух-ты,СПАСИбище, все не так уж и просто))))))))я буду ждать ваши данные!!!
Оля,вы пишите, что Угол продольного свода у таких детей расчерчивается по-другому - касательная к нижней поверхности I плюсневой кости и касательная к нижней поверхности пяточной кости.А ценрт м/у клиновидной и ладьевидной надо? (немного не соображу)
Углы свода, определяемые на профильной рентгенограмме стопы: а - ладьевидный угол свода; б - угол наклона пяточной кости; в - угол наклона переднего отдела; г- таранно-пяточный угол; д - высота костного свода
Для оценки положения костей заднего и переднего отделов определяют угол наклона пяточной кости (угол между касательной к подошвенной поверхности пяточной кости и линией плоскости опоры), который в норме колеблется в пределах 15-20°, и угол наклона переднего отдела стопы (угол между касательной к подошвенной поверхности I луча (I плюсневой, I клиновидной и ладьевидной костей)) - к линии плоскости опоры, достигающий в норме 25°, а также таранно-пяточный угол, который образуется в месте пересечения осевых линий таранной и пяточных костей и составляет в норме 30°.
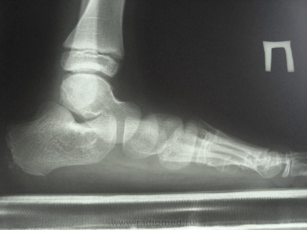
Угол продольного свода (про который я говорила) в норме 120-125 градусов. Измерьте. По снимкам видно, что плоскостопие есть. Таранные кости не должны быть так расположены, сильно головки опущены. А пяточно-подошвенный угол правильно измерили?
Это Вы расчертили угол продольного свода. А пяточно-подошвенный не так расчерчивается - первая линия - соединяет нижнюю точку пяточного бугра и нижнюю точку головки первой плюсневой кости, вторая линия - касательная к нижней поверхности пяточной кости.
Вроде все верно))). По углу свода дела похуже, этот угол применяется при деформации стоп, в частности, при плоско-вальгусной, в норме он 120-125 гр, при легкой степени деформации увеличивается до 140 гр, при средней ст - до 160, при тяжелой еще больше.
Не согласна с тем, чтоб "послать" ортопеда. У детей степень плоскостопия оценивается по пяточно-подошвенному углу.
огромное спасибо,Вам Ольга за подробные схемы, если возможно скажите с какого возраста можно рентгенологически определять степень плоскостопия? Новокузнецк рулит
Присоединюсь к словам благодарности. СПАСИБО! Сегодня очень пригодилось, пришел похожий случай, перед описанием сразу заглянул сюда. Еще раз искренняя благодарность.
<p>Коллеги, а есть какие-нибудь приказы, регламентирующие возрастные сроки проведения снимков на плоскостопие? А то сегодня один из травматологов-ортопедов требовал выполнения снимков с нагрузкой 12-летнему ребенку. И в оскорбительной форме выговорил, что "рентгенолог не может быть умнеее ортопеда". Обидно (((...</p>
Коллеги, а есть какие-нибудь приказы, регламентирующие возрастные сроки проведения снимков на плоскостопие? А то сегодня один из травматологов-ортопедов требовал выполнения снимков с нагрузкой 12-летнему ребенку. И в оскорбительной форме выговорил, что "рентгенолог не может быть умнеее ортопеда". Обидно (((...
- вот тут обсуждалось https://radiomed.ru/forum/41222-stopy-s-nagruzkoy-v-vozraste-10-let , но отмазаться вряд ли удасться, т.к. в Клинических рекомендациях ЛЕЧЕНИЕ ДЕТЕЙ С ПЛАНО-ВАЛЬГУСНЫМИ ДЕФОРМАЦИЯМИ СТОП 2014 года есть раздел РЕНТГЕНОЛОГИЧЕСКАЯ ДИАГНОСТИКА , правда, там даны иные ориентиры
Пошлите ортопеда куда подальше.
Ребенок растет, формируется скелет, растет и стопа.
Можно порекомендовать ортопеду исследовать новорожденных - у них у всех будет плоская стопа - простор для ортопеда, желающего найти продольное плоскостопие.
Не согласна с тем, чтоб "послать" ортопеда. У детей степень плоскостопия оценивается по пяточно-подошвенному углу.
https://www.instagram.com/pediatricradiology/
здорово, спасибо за ваши мнения)))я мотрела запись ортопеда, он не назначил рент-фию, это у же педиатр сама додумалась. что же мне теперь сделать, расчертить пяточно-подш. угол и все???а какие нормативы,подскажите пожалуйста
Ольга, а продольное надо?
Пяточно-подошвенный угол в норме 16-20 градусов. При 1 ст. - 15-11, при 2 ст.-10-6, при 3 ст. меньше 6 градусов. Это Новокузнецкая школа. У меня на работе есть еще несколько другие данные, завтра уточню и напишу. Угол продольного свода у таких детей расчерчивается по-другому - касательная к нижней поверхности I плюсневой кости и касательная к нижней поверхности пяточной кости. Нормы скажу завтра.
https://www.instagram.com/pediatricradiology/
У данного ребенка очень сильно опущены головки таранных костей. У нас таких детей оперируют, делают внесуставной подтаранный артродез.
https://www.instagram.com/pediatricradiology/
ух-ты,СПАСИбище, все не так уж и просто))))))))я буду ждать ваши данные!!!
Оля,вы пишите, что Угол продольного свода у таких детей расчерчивается по-другому - касательная к нижней поверхности I плюсневой кости и касательная к нижней поверхности пяточной кости.А ценрт м/у клиновидной и ладьевидной надо? (немного не соображу)
Посмотрите здесь.
http://www.radiomed.ru/publications/ploskostopiie-rientghienologhichieskoie-issliedovaniie-v-otsienkie-anatomo-funktsional
Углы свода, определяемые на профильной рентгенограмме стопы: а - ладьевидный угол свода; б - угол наклона пяточной кости; в - угол наклона переднего отдела; г- таранно-пяточный угол; д - высота костного свода
Для оценки положения костей заднего и переднего отделов определяют угол наклона пяточной кости (угол между касательной к подошвенной поверхности пяточной кости и линией плоскости опоры), который в норме колеблется в пределах 15-20°, и угол наклона переднего отдела стопы (угол между касательной к подошвенной поверхности I луча (I плюсневой, I клиновидной и ладьевидной костей)) - к линии плоскости опоры, достигающий в норме 25°, а также таранно-пяточный угол, который образуется в месте пересечения осевых линий таранной и пяточных костей и составляет в норме 30°.
Нет, не надо. Линии пересекутся, и будет угол.
https://www.instagram.com/pediatricradiology/
ну да с картинками как то легче))спасиба Оля и Валентин Львович!
у меня получился слева угол равен 20 гр. спрва 27 гр. получается что нет плоскостопия
Интересно получается ?
Угол продольного свода (про который я говорила) в норме 120-125 градусов. Измерьте. По снимкам видно, что плоскостопие есть. Таранные кости не должны быть так расположены, сильно головки опущены. А пяточно-подошвенный угол правильно измерили?
https://www.instagram.com/pediatricradiology/
на счет пяточно-подошвенного,думаю да, две касательные как вы сказали. угол теперь завтра только измерю, снимки то на работе(((((((
вот так я разчерчивала
Это Вы расчертили угол продольного свода. А пяточно-подошвенный не так расчерчивается - первая линия - соединяет нижнюю точку пяточного бугра и нижнюю точку головки первой плюсневой кости, вторая линия - касательная к нижней поверхности пяточной кости.
https://www.instagram.com/pediatricradiology/
похоже?
Да )))
https://www.instagram.com/pediatricradiology/
хорошо хоть что результат сегодня не отдала
Оля спасибо за урок!!!!
готово, проверьте!!!!справа угол свода 155 гр, слева 160. Пяточно-подош справа 15, слева 13. Получается плоскостопие 1ст.
Вроде все верно))). По углу свода дела похуже, этот угол применяется при деформации стоп, в частности, при плоско-вальгусной, в норме он 120-125 гр, при легкой степени деформации увеличивается до 140 гр, при средней ст - до 160, при тяжелой еще больше.
https://www.instagram.com/pediatricradiology/
А, Вас не смущает подтаранный сустав слева?
А, левый голеностопный сустав нормальный?
как то странно получается, пяточно-подошвенный угол 1 ст, а угол свода 2 ст? Тогда как писать заключение?
огромное спасибо,Вам Ольга за подробные схемы, если возможно скажите с какого возраста можно рентгенологически определять степень плоскостопия? Новокузнецк рулит
Спасибо вам Ольга за коментарии и схемы к ним. у был случай, офорлялся ребенок в кадеты, повезло, что и по "взрослым" нормам он был "годен".
Присоединюсь к словам благодарности. СПАСИБО! Сегодня очень пригодилось, пришел похожий случай, перед описанием сразу заглянул сюда. Еще раз искренняя благодарность.
А до какого возраста оценивать не "по взрослому"?
Fiat lux!
То что мне нюхи нужно было я нашла
<p>Коллеги, а есть какие-нибудь приказы, регламентирующие возрастные сроки проведения снимков на плоскостопие? А то сегодня один из травматологов-ортопедов требовал выполнения снимков с нагрузкой 12-летнему ребенку. И в оскорбительной форме выговорил, что "рентгенолог не может быть умнеее ортопеда". Обидно (((...</p>
- вот тут обсуждалось https://radiomed.ru/forum/41222-stopy-s-nagruzkoy-v-vozraste-10-let , но отмазаться вряд ли удасться, т.к. в Клинических рекомендациях ЛЕЧЕНИЕ ДЕТЕЙ С ПЛАНО-ВАЛЬГУСНЫМИ ДЕФОРМАЦИЯМИ СТОП 2014 года есть раздел РЕНТГЕНОЛОГИЧЕСКАЯ ДИАГНОСТИКА , правда, там даны иные ориентиры
Андрей Юрьевич
Спасибо.