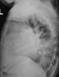
С подозрением на пневмонию направлен на рентгенографию ОГК

Пол пациента: 
Методы исследования: 

С подозрением на пневмонию направлен на рентгенографию ОГК

  • https://radiomed.ru/sites/default/files/styles/case_slider_image/public/user/12/2.dscn0873a.jpg?itok=OiNa7iGj
  • https://radiomed.ru/sites/default/files/styles/case_slider_image/public/user/12/3.dscn0872.jpg?itok=aWEdOo9S
  • https://radiomed.ru/sites/default/files/styles/case_slider_image/public/user/12/4.dscn0872a.jpg?itok=44a3IOJ8
ID:25537
Фил аватар
Не на сайте
Был на сайте: 6 лет 9 месяцев назад
Зарегистрирован: 13.09.2011 - 16:24
Публикации: 137

Если в заголовке - направлен (пол- мужской ) , то боковые - с  молочными железами- не его ? 

Mitkampfer аватар
Не на сайте
Был на сайте: 11 лет 1 месяц назад
Зарегистрирован: 27.07.2010 - 07:43
Публикации: 1454

Расширено центральное средостение вероятно за счет лимфоузлов. Я бы подозревал метастазы не имея никаких данных по пациенту.

Не ограничивайте свою мысль

Живешь пока учишься

Ecrasez l’infame

Катенёв Валентин Львович аватар
Не на сайте
Был на сайте: 7 лет 2 недели назад
Зарегистрирован: 22.03.2008 - 22:15
Публикации: 54876

Фил wrote:

Если в заголовке - направлен (пол- мужской ) , то боковые - с  молочными железами- не его ? 

Вы правы коллега.

Ошибся я мал -мал.

А, что, кроме желез ничего не заинтересовало?

Катенёв Валентин Львович аватар
Не на сайте
Был на сайте: 7 лет 2 недели назад
Зарегистрирован: 22.03.2008 - 22:15
Публикации: 54876

Mitkampfer wrote:

Расширено центральное средостение вероятно за счет лимфоузлов. Я бы подозревал метастазы не имея никаких данных по пациенту.

Что? кругляшик на боковой не метастаз похож?

Elena Chystiakova аватар
Не на сайте
Был на сайте: 12 лет 10 месяцев назад
Зарегистрирован: 10.01.2013 - 22:10
Публикации: 18

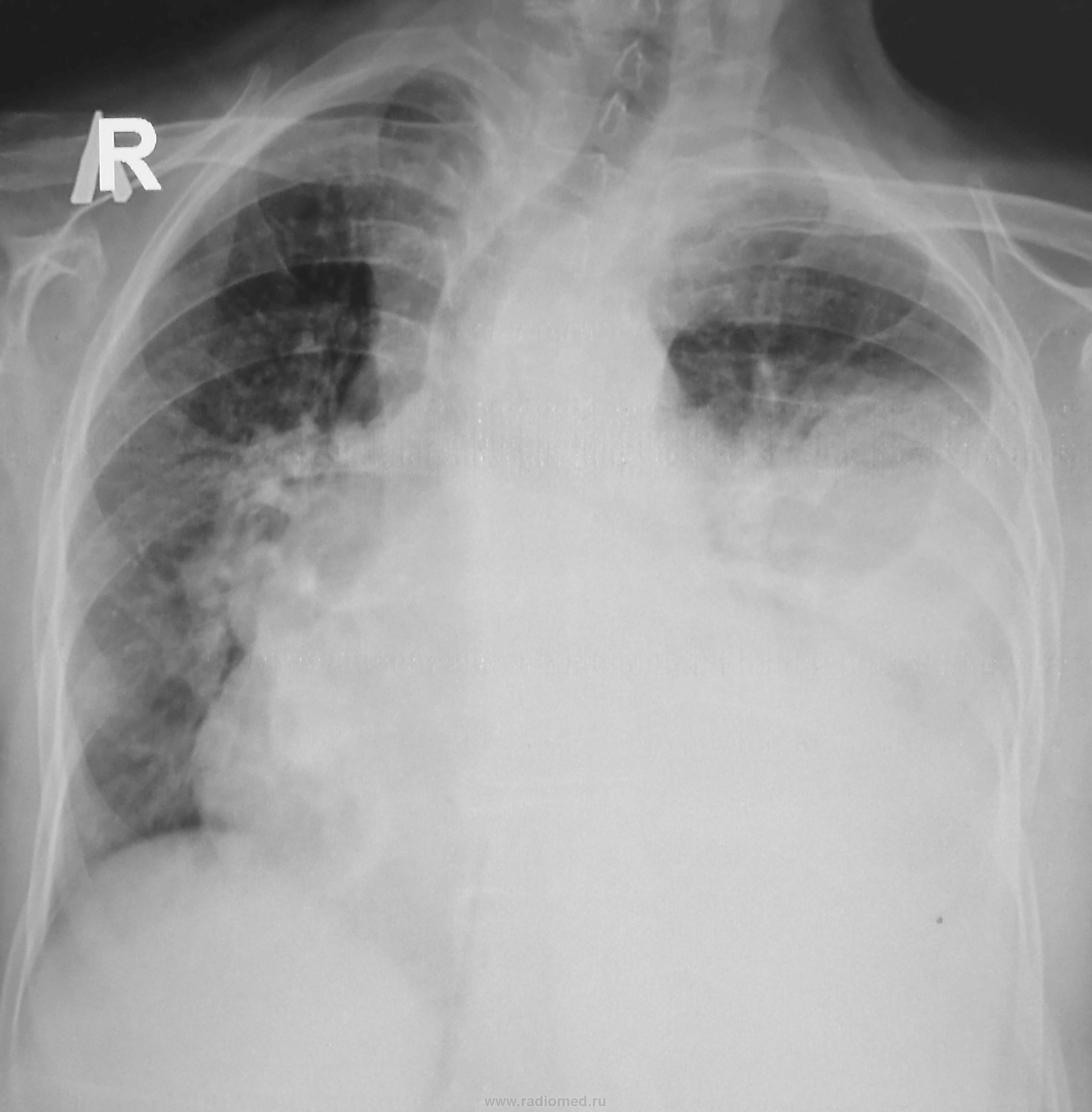
Возможно правый гемоторакс затемнен за счет жидкости,тень средостения резко смещена вправо,пр.корень расширен ,сердечная тень расширение,дополнительная тень вероятно сосуд?

brainmodel аватар
Не на сайте
Был на сайте: 2 месяцев 2 недели назад
Зарегистрирован: 18.03.2010 - 22:04
Публикации: 2881

Объемное давление в плевральной полости слева (выпот, видна косая граница в прямой проекции), оттесняющее средостение вправо(трахея наглядна). ЛГБ вроде проходим, дальше - тьма. Затенение переднего легочного пространства в боковой проекции, радиарная тяжистость инфильтрата слева, увеличение правого корня, кругляш в S9 слева на боковой - накопано богато. Вероятны дела онкологические, средостенные в легкое иль наоборот (что менее вероятно), однако мтс плеврит и в паренхиму наиболее реальны.

Приложения: 
1.jpg2.jpg

Verum plus uno esse non potest.

Mila85 аватар
Не на сайте
Был на сайте: 3 года 1 месяц назад
Зарегистрирован: 15.03.2012 - 16:59
Публикации: 1790

Я сначала тоже про жидкость подумала, но где она на боковом? Осумкованный выпот не смог бы так подвинуть средостение. Я думаю, в левом легком очень большая опухоль

А. Горюнов аватар
Не на сайте
Был на сайте: 4 недели 1 день назад
Зарегистрирован: 07.10.2012 - 12:12
Публикации: 2744

Mila85 wrote:

Я сначала тоже про жидкость подумала, но где она на боковом? Осумкованный выпот не смог бы так подвинуть средостение. Я думаю, в левом легком очень большая опухоль

Предполагал как и Вы. Но, если большая опухоль в левом легком, то где она на боковом снимке? Не напрашивается ли патология в средостении?

Анатолий Петрович

Катенёв Валентин Львович аватар
Не на сайте
Был на сайте: 7 лет 2 недели назад
Зарегистрирован: 22.03.2008 - 22:15
Публикации: 54876

Mila85 wrote:

Я думаю, в левом легком очень большая опухоль

Приложения: 
11.dscn0870.jpg12.dscn0871.jpg
brainmodel аватар
Не на сайте
Был на сайте: 2 месяцев 2 недели назад
Зарегистрирован: 18.03.2010 - 22:04
Публикации: 2881

Однако же, указанные границы сильно настраивают на отождествление с плевритом... или дайте своё объяснение сему.

Приложения: 
1.jpg2.jpg

Verum plus uno esse non potest.

Катенёв Валентин Львович аватар
Не на сайте
Был на сайте: 7 лет 2 недели назад
Зарегистрирован: 22.03.2008 - 22:15
Публикации: 54876

brainmodel wrote:

Однако же, указанные границы сильно настраивают на отождествление с плевритом... или дайте своё объяснение сему.

+1

Mila85 аватар
Не на сайте
Был на сайте: 3 года 1 месяц назад
Зарегистрирован: 15.03.2012 - 16:59
Публикации: 1790

А. Горюнов wrote:

как и Вы. Но, если большая опухоль в левом легком, то где она на боковом снимке? Не напрашивается ли патология в средостении?

На боковом - в передних отделах легкого в проекции сердца. Патология в средостении тоже может быть, почему нет.

А если это все-таки плеврит, где же он на боковом?? ЗЫ. Теперь вижу, смутила малая интенсивность жидкости на боковом снимке

Вероника Микляева аватар
Не на сайте
Был на сайте: 5 лет 11 месяцев назад
Зарегистрирован: 04.11.2012 - 22:48
Публикации: 3

Приветствую коллеги!Я тут новенькая))),я бы этого пациента на скопии покрутила...для меня в таких случаях при постановке диагноза-лучшей помощи не найти...

Катенёв Валентин Львович аватар
Не на сайте
Был на сайте: 7 лет 2 недели назад
Зарегистрирован: 22.03.2008 - 22:15
Публикации: 54876

Контроль после лечения.

Приложения: 
1.dscn0936.jpg2.dscn0936v.jpg3.dscn0937.jpg4.dscn0937a.jpg
А. Горюнов аватар
Не на сайте
Был на сайте: 4 недели 1 день назад
Зарегистрирован: 07.10.2012 - 12:12
Публикации: 2744

Так и напрашивается "старинный" вывод, как учили еще в СССР: если в грудной полости неясные изменения, начинай с воспалительного процесса (неспецифического, либо - специфического-твс). И в современных условиях, если есть возможность, более активно подключать КТ. 

Анатолий Петрович

алкс аватар
Не на сайте
Был на сайте: 10 лет 2 недели назад
Зарегистрирован: 24.10.2012 - 22:55
Публикации: 2915

Признаки  центрального новообразования левого легкого, с ателектазом верхней доли, компенсаторное вздутие нижней. Динамика= уменьшению перипроцесса.

Катенёв Валентин Львович аватар
Не на сайте
Был на сайте: 7 лет 2 недели назад
Зарегистрирован: 22.03.2008 - 22:15
Публикации: 54876

А. Горюнов wrote:

 если есть возможность, более активно подключать КТ. 

Конечно КТ дало бы нужную дополнительную информацию, но нет у нас КТ..

А. Горюнов аватар
Не на сайте
Был на сайте: 4 недели 1 день назад
Зарегистрирован: 07.10.2012 - 12:12
Публикации: 2744

Катенёв Валентин Львович wrote:

А. Горюнов wrote:

 если есть возможность, более активно подключать КТ. 

Конечно КТ дало бы нужную дополнительную информацию, но нет у нас КТ..

Добрый вечер, Валентин Львович! Вспоминая своих учителей, отметил об общем принципе диагностического исследования в подобных случаях. А про КТ - если есть возможность. А когда эта возможность намечается в вашей ЦРБ? 

Анатолий Петрович