«Штида» нарисовалась, или что-то другое…

Пол пациента: 
Тип патологии: 
Область исследования: 
Методы исследования: 

«Штида» нарисовалась, или что-то другое…

  • https://radiomed.ru/sites/default/files/styles/case_slider_image/public/user/12/2.p2040043a.jpg?itok=Ylowaewq
  • https://radiomed.ru/sites/default/files/styles/case_slider_image/public/user/12/3.p2040044.jpg?itok=GHCup1J4
  • https://radiomed.ru/sites/default/files/styles/case_slider_image/public/user/12/4.p2040048.jpg?itok=04Nv5F66
  • https://radiomed.ru/sites/default/files/styles/case_slider_image/public/user/12/5.p2040049.jpg?itok=0KiWMqjS
  • https://radiomed.ru/sites/default/files/styles/case_slider_image/public/user/12/6.p2040049a.jpg?itok=BHkiPPNF
ID:11821
Rg-Doc аватар
Не на сайте
Был на сайте: 8 лет 8 месяцев назад
Зарегистрирован: 22.03.2008 - 12:25
Публикации: 333

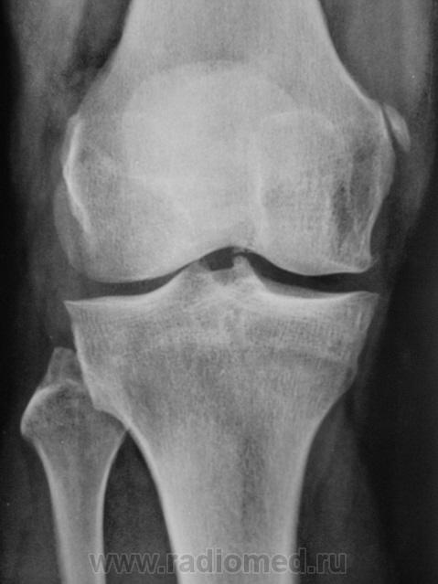
Болезнь Штида. Правосторонний гонартроз II ст. Лигаментоз крестообразных связок.

Helios аватар
Не на сайте
Был на сайте: 7 месяцев 2 недели назад
Зарегистрирован: 06.08.2010 - 15:16
Публикации: 4417

Похоже, что она.

Popovpavel аватар
Не на сайте
Был на сайте: 7 лет 2 месяцев назад
Зарегистрирован: 08.06.2009 - 00:23
Публикации: 649

Кажется, полностью это называется "болезнь Пеллегрини-Штиды"?

Катенёв Валентин Львович аватар
Не на сайте
Был на сайте: 7 лет 2 недели назад
Зарегистрирован: 22.03.2008 - 22:15
Публикации: 54876

Popovpavel wrote:

Кажется, полностью это называется "болезнь Пеллегрини-Штиды"?

Конечно, но вариантов много.