Случай весьма похожий, на представленный Вами ранее, где "оказалась жидкость" справа в плевральной полости. Следовательно, перво - наперво надо исключить/ подтвердить наличие правостороннего наддиафрагмального выпота.
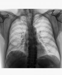
Добрый вечер, Валентин Львович. Я тут тоже немного оклемался от ОРВИ, появились силы выстовить случай. Данная демонстрация немного с подвохом, проанализируйте ещё раз рентгенограммы, более внимательно.
"Знаешь, у некоторых врачей есть комплекс мессии — им необходимо спасать мир. А у тебя комплекс Рубика — тебе необходимо решать головоломки."
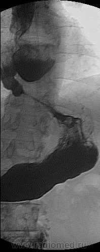
Вот то, что вызывает, лично, у меня сомнение. Это может быть, что угодно, и даже вплоть до "кишечной петли". А следовательно, "сие" должно быть доказано. А перечень (латерография, линейная томография, дача бария и пр.), то зависит, как от клиники, так и от симпатий рентгенолога.
Что скажешь, отличная демонстрация – редкий дивертикул. КТ-ушечник наверное, имел в виду фиксированную грыжу ПОД. А желудок-то на месте. Приятно поправить коллегу нетрадиционной ориентации. Но, конечно, этот случай для них труден: они видят статичную картину – чистую анатомию. А тут важна динамика, физиология нам помогает.
Не совсем согласен, отличить по КТ дивертикул (случай весьма интересный, vital-спасибо!) от диафрагмальной грыжи несложно; важно правильно ориентироваться в анатомии и уметь грамотно снять: в таких случаях мы просим пациента набрать в рот контраст и начинать глотать при запуске спирали КТ томографа, и всё становится видно.
"Обычная рентгеноскопия пищевода и желудка и двенадцатиперстной кишки информативнее КТ."
Абсолютно не согласен! Просто надо уметь делать КТ серии именно для таргетного исследования пищевода и желудка. Во всем мире рентгеноскопия пищевода и желудка сейчас используется только для оценки чисто функциональных нарушений (рефлюксы, нарушения глотания и т.д.). Тем более скопия позволяет оценить только просвет; а на КТ видны просвет, стенки (толщина, структура и т.д.) окружающие структуры, особенности кровоснабжения и многое другое. То что некоторые врачи не знают как правильно пользоваться методом КТ при диагностике заболеваний желудка и пищевода, ещё не означает что метод не информативен.
Вы сами говорите, что рефлюксы при Кт не видны, не видна перистальтика, не виден ригидный участок, не видна смещаемость, не видно, как орган расправляется, тонус органа, многого на Кт не видно. У нас очень много делают исследований этой группы органов рентгеноскопией.
Насчёт ригидности, на КТ мы видим саму стенку! Её толщину, структуру! Необходимо выполнить пару серий на разных фазах-можно посмотреть мобильность стенок, как изменилось положение стенки и так далее. Органические поражения прекрасно определяются на КТ, просто надо уметь их видеть! Я диагностировал карциноиды желудка размерами 3 мм по КТ, их эндоскописты еле нашли, а на КТ они прекрасно видны! По поводу функциональной патологии, я уже написал выше, здесь приоритет остаётся за скопическим методом, этого никто не отрицает. На западе давно уже отказались от скопий при органических заболеваниях ЖКТ, приоритет за эндоскопией и КТ/МРТ. Получается что не метод более или менее информативен, а просто для диагностики определённой группы патологии-свой специфический метод.
Рад "возвращению" Mario на дружественный сайт. ВЫ один из немногих людей, общение с которыми РАЗВИВАЕТ. Так что не обращайте внимание на выражения типа "а у нас все равно получше..." с Уважением Ваш Анатолий Шумаков
Все же Dr.Mario прав, на КТ прекрасно видно дивертикул завтра про демонстрирую. Вообще на КТ если косаться ЖКТ много чего увидеть можно, мои коллеги тоже почему то тоже придерживаются того что например образование толстого кишечника это преригатива рентгеноскопии и эндоскопистов. а что поделать вот так вот.
"Знаешь, у некоторых врачей есть комплекс мессии — им необходимо спасать мир. А у тебя комплекс Рубика — тебе необходимо решать головоломки."
v1tal: спасибо за публикацию КТ! По моему скромному мнению; наличие дивертикула не вызывает сомнений, то что описали как диафрагмальная грыжа-это врачебная ошибка.
1. Как и с каким диагнозом пациент попал на "первое МСКТ", ибо Вы пишете: "Мой коллега после МСКТ-ОГП, решил почему то о наличии фиксированнай грыжи диафрагмы, пациент попал ко мне на R-скопию пищевода и желудка".
2. Как и с каким диагнозом (возвожно - "ГПОД"?) пациент был направлен к Вам для рентгенологического исследования органов ЖКТр?
3. На какой день после проведения "первого" исследования МСКТ, пациента исследовали Вы?
4. С какой целью, а главное с каким диагнозом при направлении, было проведено "повторное" исследование МСКТ, которое представлено Вами, как - "Результат МСКТ".
Пациент поступил в стационар(отеделение терапии) с Ds: Внегоспитальной правосторонней пневмонией. После того как мой коллега описал при поступлении цифровые R-граммы ОГП, отметив о наличие фиксированной грыжи пищеводного отверстия дифарагмы(под вопросом), клиницисты сразу направили пациента на КТ с предворительным обоснованием: пневмония, абсцесс, ГПОД? И только спустя через 3-4 дня после МСКТ, как только пациент был прокунсультирован хирургом, его направили ко мне на R-скопическое исследование. МСКТ-делалось только один раз.
"Знаешь, у некоторых врачей есть комплекс мессии — им необходимо спасать мир. А у тебя комплекс Рубика — тебе необходимо решать головоломки."
Следовательно, окончательный диагноз поставили Вы методом рентгенологического исследования органов желудочно-кишечного тракта. Пациент был направлен к Вам после консультации хирургом.
Еще вопрос. После консультации хирурга и назначения рентгенологического исследования, сколько дней ожидал этого исследования пациент (я имею в виду очередь на рентгенологическое исследование).
Я все-таки надеюсь получить от Васответ на поставленный выше вопрос.
Еще вопрос. После консультации хирурга и назначения рентгенологического исследования, сколько дней ожидал этого исследования пациент (я имею в виду очередь на рентгенологическое исследование).
И ещё вопрос. Есть - ли у Вас очередь на СКТ - исследования, и если есть, то в среднем, скольки дням она равняется.
Пациент 25.11 поступил, 27.11. провели МСКТ, ну а ко мне он попал 4.12. На КТ у нас очередь до 10 дней для амбулаторных(в среднем), для стационарных пациентов 2-3 дня может быть, всё зависит от клинической ситуации, но стараемся вообще без очереди.
"Знаешь, у некоторых врачей есть комплекс мессии — им необходимо спасать мир. А у тебя комплекс Рубика — тебе необходимо решать головоломки."
Окончательно о дивертикуле, конечно было выставлено, после проведения R-скопии. Но я ещё раз хочу повториться, что абсолютно все коллеги которые занимаются КТ, они не считают серьездным данный метод по отношению к ноовобразованию ЖКТ, я пытался объяснить, после ряда некоторых случаев с анализом МСКТ, что не обязательно впринципе проводить R-скопию, когда всё и так ясно, но меня посмотрели "косо".
"Знаешь, у некоторых врачей есть комплекс мессии — им необходимо спасать мир. А у тебя комплекс Рубика — тебе необходимо решать головоломки."
v1tal: И я об этом.. К моему большому сожалению, не знание современных аспектов КТ диагностики патологии кишечной трубки среди многих коллег из стран СНГ меня очень удивляет... Тем более что данная тема не нова, стандарты съёмки и критерии интерпретации были чётко разработаны ещё в 90х годах.
Так скажем, эндоскопическому и рентгеноскопическому методикам обследования, но заметьте что МСКТ это же рентгеновская методика, разница только в информативности.
"Знаешь, у некоторых врачей есть комплекс мессии — им необходимо спасать мир. А у тебя комплекс Рубика — тебе необходимо решать головоломки."
Весьма разумный подход - рентгенологическое исследование + эндоскопическое исследование. Ну я думаю, что сочетание этих двух методов исследования, дадут максимум информации.
Случай весьма похожий, на представленный Вами ранее, где "оказалась жидкость" справа в плевральной полости. Следовательно, перво - наперво надо исключить/ подтвердить наличие правостороннего наддиафрагмального выпота.
Добрый вечер, Валентин Львович. Я тут тоже немного оклемался от ОРВИ, появились силы выстовить случай. Данная демонстрация немного с подвохом, проанализируйте ещё раз рентгенограммы, более внимательно.
"Знаешь, у некоторых врачей есть комплекс мессии — им необходимо спасать мир. А у тебя комплекс Рубика — тебе необходимо решать головоломки."
Добрый вечер. С Выздоровлением Вас!
Видна полость напоминающая "абсцесс" справа, но это стандарта исследования не меняет.
Загадка кроется в средостении, а именно в заднем отделе средостения.
"Знаешь, у некоторых врачей есть комплекс мессии — им необходимо спасать мир. А у тебя комплекс Рубика — тебе необходимо решать головоломки."
Вот то, что вызывает, лично, у меня сомнение. Это может быть, что угодно, и даже вплоть до "кишечной петли". А следовательно, "сие" должно быть доказано. А перечень (латерография, линейная томография, дача бария и пр.), то зависит, как от клиники, так и от симпатий рентгенолога.
Мой коллега после МСКТ-ОГП, решил почему то о наличии фиксированнай грыжи диафрагмы, пациент попал ко мне на R-скопию пищевода и желудка:
"Знаешь, у некоторых врачей есть комплекс мессии — им необходимо спасать мир. А у тебя комплекс Рубика — тебе необходимо решать головоломки."
Да, Ваши случаи, выставляемые на сайт, в большинстве своём, отличаются "наличием интересной изюминки".
Что скажешь, отличная демонстрация – редкий дивертикул. КТ-ушечник наверное, имел в виду фиксированную грыжу ПОД. А желудок-то на месте. Приятно поправить коллегу нетрадиционной ориентации. Но, конечно, этот случай для них труден: они видят статичную картину – чистую анатомию. А тут важна динамика, физиология нам помогает.
Неоднозначно всё
Не совсем согласен, отличить по КТ дивертикул (случай весьма интересный, vital-спасибо!) от диафрагмальной грыжи несложно; важно правильно ориентироваться в анатомии и уметь грамотно снять: в таких случаях мы просим пациента набрать в рот контраст и начинать глотать при запуске спирали КТ томографа, и всё становится видно.
Let me see...
radiographia.ru
Какой большой диверитул в пищеводе. Вы не производите прицельных снимков, а только большие. Эти снимки сделаны не во время рентгеноскопии, да?
Обычная рентгеноскопия пищевода и желудка и двенадцатиперстной кишки информативнее КТ.
А почему для исследования пищевода Вы не используете сметанообразный или пастообразный барий.
А ниже дивертикула слизистая пищевода ненормальная.
"Обычная рентгеноскопия пищевода и желудка и двенадцатиперстной кишки информативнее КТ."
Абсолютно не согласен! Просто надо уметь делать КТ серии именно для таргетного исследования пищевода и желудка. Во всем мире рентгеноскопия пищевода и желудка сейчас используется только для оценки чисто функциональных нарушений (рефлюксы, нарушения глотания и т.д.). Тем более скопия позволяет оценить только просвет; а на КТ видны просвет, стенки (толщина, структура и т.д.) окружающие структуры, особенности кровоснабжения и многое другое. То что некоторые врачи не знают как правильно пользоваться методом КТ при диагностике заболеваний желудка и пищевода, ещё не означает что метод не информативен.
Let me see...
radiographia.ru
Вы сами говорите, что рефлюксы при Кт не видны, не видна перистальтика, не виден ригидный участок, не видна смещаемость, не видно, как орган расправляется, тонус органа, многого на Кт не видно. У нас очень много делают исследований этой группы органов рентгеноскопией.
Насчёт ригидности, на КТ мы видим саму стенку! Её толщину, структуру! Необходимо выполнить пару серий на разных фазах-можно посмотреть мобильность стенок, как изменилось положение стенки и так далее. Органические поражения прекрасно определяются на КТ, просто надо уметь их видеть! Я диагностировал карциноиды желудка размерами 3 мм по КТ, их эндоскописты еле нашли, а на КТ они прекрасно видны! По поводу функциональной патологии, я уже написал выше, здесь приоритет остаётся за скопическим методом, этого никто не отрицает. На западе давно уже отказались от скопий при органических заболеваниях ЖКТ, приоритет за эндоскопией и КТ/МРТ. Получается что не метод более или менее информативен, а просто для диагностики определённой группы патологии-свой специфический метод.
Let me see...
radiographia.ru
Не знаю. Может на западе так, у нас - рентген и эндоскопия.
Рад "возвращению" Mario на дружественный сайт. ВЫ один из немногих людей, общение с которыми РАЗВИВАЕТ. Так что не обращайте внимание на выражения типа "а у нас все равно получше..." с Уважением Ваш Анатолий Шумаков
Все же Dr.Mario прав, на КТ прекрасно видно дивертикул завтра про демонстрирую. Вообще на КТ если косаться ЖКТ много чего увидеть можно, мои коллеги тоже почему то тоже придерживаются того что например образование толстого кишечника это преригатива рентгеноскопии и эндоскопистов. а что поделать вот так вот.
"Знаешь, у некоторых врачей есть комплекс мессии — им необходимо спасать мир. А у тебя комплекс Рубика — тебе необходимо решать головоломки."
Результат МСКТ:
"Знаешь, у некоторых врачей есть комплекс мессии — им необходимо спасать мир. А у тебя комплекс Рубика — тебе необходимо решать головоломки."
А кто-бы спорил, если в каждом ЛПУ был и КТ и МРТ. Я так понимаю коллега v1tal, Что Вы работаете в весьма крупном ЛПУ, уж никак не ниже республиканского или областного уровня.
v1tal: спасибо за публикацию КТ! По моему скромному мнению; наличие дивертикула не вызывает сомнений, то что описали как диафрагмальная грыжа-это врачебная ошибка.
Let me see...
radiographia.ru
Случай Вами назван - "Случай для размышления".
У меня возникли следующие вопросы:
1. Как и с каким диагнозом пациент попал на "первое МСКТ", ибо Вы пишете: "Мой коллега после МСКТ-ОГП, решил почему то о наличии фиксированнай грыжи диафрагмы, пациент попал ко мне на R-скопию пищевода и желудка".
2. Как и с каким диагнозом (возвожно - "ГПОД"?) пациент был направлен к Вам для рентгенологического исследования органов ЖКТр?
3. На какой день после проведения "первого" исследования МСКТ, пациента исследовали Вы?
4. С какой целью, а главное с каким диагнозом при направлении, было проведено "повторное" исследование МСКТ, которое представлено Вами, как - "Результат МСКТ".
Пациент поступил в стационар(отеделение терапии) с Ds: Внегоспитальной правосторонней пневмонией. После того как мой коллега описал при поступлении цифровые R-граммы ОГП, отметив о наличие фиксированной грыжи пищеводного отверстия дифарагмы(под вопросом), клиницисты сразу направили пациента на КТ с предворительным обоснованием: пневмония, абсцесс, ГПОД? И только спустя через 3-4 дня после МСКТ, как только пациент был прокунсультирован хирургом, его направили ко мне на R-скопическое исследование. МСКТ-делалось только один раз.
"Знаешь, у некоторых врачей есть комплекс мессии — им необходимо спасать мир. А у тебя комплекс Рубика — тебе необходимо решать головоломки."
Следовательно, окончательный диагноз поставили Вы методом рентгенологического исследования органов желудочно-кишечного тракта. Пациент был направлен к Вам после консультации хирургом.
Еще вопрос. После консультации хирурга и назначения рентгенологического исследования, сколько дней ожидал этого исследования пациент (я имею в виду очередь на рентгенологическое исследование).
Катенёв Валентин Львович:
Следовательно, окончательный диагноз поставили Вы методом рентгенологического исследования органов желудочно-кишечного тракта...
Pазрешите продолжить: ..по вине некомпетентности врача КТ.
Let me see...
radiographia.ru
Уважаемый v1tal!
Я все-таки надеюсь получить от Вас ответ на поставленный выше вопрос.
Еще вопрос. После консультации хирурга и назначения рентгенологического исследования, сколько дней ожидал этого исследования пациент (я имею в виду очередь на рентгенологическое исследование).
И ещё вопрос. Есть - ли у Вас очередь на СКТ - исследования, и если есть, то в среднем, скольки дням она равняется.
Пациент 25.11 поступил, 27.11. провели МСКТ, ну а ко мне он попал 4.12. На КТ у нас очередь до 10 дней для амбулаторных(в среднем), для стационарных пациентов 2-3 дня может быть, всё зависит от клинической ситуации, но стараемся вообще без очереди.
"Знаешь, у некоторых врачей есть комплекс мессии — им необходимо спасать мир. А у тебя комплекс Рубика — тебе необходимо решать головоломки."
Большое спасибо Вам за ответ. Это многое проясняет.
Окончательно о дивертикуле, конечно было выставлено, после проведения R-скопии. Но я ещё раз хочу повториться, что абсолютно все коллеги которые занимаются КТ, они не считают серьездным данный метод по отношению к ноовобразованию ЖКТ, я пытался объяснить, после ряда некоторых случаев с анализом МСКТ, что не обязательно впринципе проводить R-скопию, когда всё и так ясно, но меня посмотрели "косо".
"Знаешь, у некоторых врачей есть комплекс мессии — им необходимо спасать мир. А у тебя комплекс Рубика — тебе необходимо решать головоломки."
v1tal: И я об этом.. К моему большому сожалению, не знание современных аспектов КТ диагностики патологии кишечной трубки среди многих коллег из стран СНГ меня очень удивляет... Тем более что данная тема не нова, стандарты съёмки и критерии интерпретации были чётко разработаны ещё в 90х годах.
Let me see...
radiographia.ru
И если я Вас правильно понял, коллега v1tal, то в Вашей клинике преррогатива в исследовании органов ЖКТр, все-таки отводится рентгеновскому методу исследования, а не МСКТ?
Так скажем, эндоскопическому и рентгеноскопическому методикам обследования, но заметьте что МСКТ это же рентгеновская методика, разница только в информативности.
"Знаешь, у некоторых врачей есть комплекс мессии — им необходимо спасать мир. А у тебя комплекс Рубика — тебе необходимо решать головоломки."
Весьма разумный подход - рентгенологическое исследование + эндоскопическое исследование. Ну я думаю, что сочетание этих двух методов исследования, дадут максимум информации.