Сочетанная патология – очаговый (в дальнейшем инфильтративный) туберкулёз левого лёгкого и эпителиома (мезотелиома) правого лёгкого. Часть 1 – 2005 – 2007 г.

Пол пациента: 
Тип патологии: 
Методы исследования: 

Пациент м., 24 года жалоб не предъявляет, направлен на профилактическую флюорографию в связи с оформлением контракта (для работы на севере).

 

При прохождении флюорографии (2005 г.) слева в 1 межреберье обнаружено несколько очаговоподобных, нечетко очерченных теней. Справа базально, паракостально в области косто – диафрагмального синуса определяется тень полусферической формы, широким основанием, прилежащая к висцеральной плевре.

 

Пациенту (2005 г.) произведено дообследование – рентгенография, линейная томография в прямой проекции.

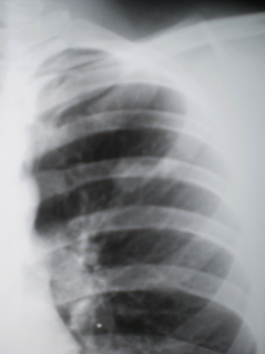
Иллюстрация 1. Фрагмент рентгенограммы левого лёгкого.

1.2005..JPG
1.2005..JPG

На фоне 1 межреберья определяется очаговоподобная тень не правильной формы, без чётких контуров, несколько выше и латеральнее не четко дифференцируется несколько мелких (сомнительных) очагов малой интенсивности. На томограммах (представить не удалось – утеряны пациентом) – оптимальный срез 7 см. – картина аналогичная.

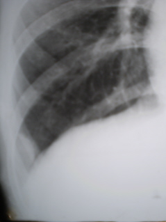
Иллюстрации 2, 3 – справа базально, пристеночно в области косто - диафрагмального синуса определяется дополнительное образование полусферической формы, широким основанием интимно прилежащее к костальной плевре. Интенсивность данной тени средняя, структура однородная, контур довольно ровный, но не чёткий.

2.2005.JPG
2.2005.JPG
3.2005.JPG
3.2005.JPG

Высказано предположение о наличии очагового туберкулёза верхней доли левого лёгкого, по всей видимости, во 2 сегменте и эпителиомы плевры справа в области косто-диафрагмального синуса. Пациенту рекомендована консультация онколога и фтизиатра.

 

В 2007 году после прохождения профилактической флюорографии пациент был вновь взят «на контроль». Произведена рентгенография органов грудной полости и линейная томография в прямой стандартной проекции (срезы стандартные). Иллюстрации 4, 5 – фрагменты рентгенограммы (5 – с увеличением).

4.JPG
4.JPG
5.JPG
5.JPG

Слева во 2 межреберье участок снижения прозрачности легочной ткани (лобулярная инфильтрация) в виде крупного очага не правильной формы, неоднородной структуры, с не ровными, не чёткими контурами. Несколько латеральнее, локально участок усиленного и обогащенного легочного рисунка, на фоне чего «намечаются» мелкие очаговые тени малой интенсивности. Данный участок лобулярной инфильтрации имеет не резко выраженную дорожку к корню левого лёгкого. Произведена линейная томография – иллюстрации 6, 7, 8, 9, 10, 11 (с увеличенными фрагментами).


6.2007.JPG
6.2007.JPG
7.2007.JPG
7.2007.JPG

На томограммах (илл. – 6, 7 - срез 7 см.) слева во 2 сегменте определяется участок снижения прозрачности легочной ткани в виде фокусной тени, неоднородной структуры, без четких контуров. Четко прослеживается связь с левым корнем.


8.2007.JPG
8.2007.JPG
9.2007.JPG
9.2007.JPG

 

На томограммах (илл. 8, 9 – срез 8 см.; илл. 10, 11 – срез 9 см.) в дополнении к вышеуказанному, участок инфильтративно измененной легочной ткани, формы, приближающейся к треугольной, с отдельными не четко очерченными просветлениями, без четких контуров, связан теневыми компонентами с очагами, расположенными более латерально, на фоне чего определяются отдельные уплотнения.


12.2007.JPG
12.2007.JPG
13.2007.JPG
13.2007.JPG

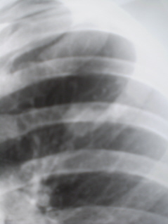
Справа по сравнению с предыдущим исследованием без существенной динамики (илл. 12, 13, 14). Наружный контур образования на рентгенограмме ровный, но не чёткий. На томограмме и фрагменте (с увеличением) контур довольно чёткий.

14.2007.JPG
14.2007.JPG

 

Пациент направлен на консультацию к фтизиатру и онкологу. В дальнейшем фтизиатром ЦРБ пациент направлен в межрайонную туб. больницу. При обследовании, данных за специфический процесс обнаружено не было. При микроскопии МБТ – не обнаружены. Проведен «посев мокроты» на МБТ. Через 2 месяца – на средах рост колоний..

 

Продолжение «Сочетанная патология – очаговый (в дальнейшем инфильтративный) туберкулёз левого лёгкого и эпителиома (мезотелиома) правого лёгкого» в части 2.

 

Данные предоставил  Катенёв Валентин Львович, г. Бирюч Белгородской области. МУЗ «Красногвардейская центральная районная больница», зав. рентгенологическим отделением.

 

Литературная ссылка (реферативный обзор материала по теме: «Очаговый туберкулёз») представлена в разделе «Публикации» - статьи.

 

 

 

 

 

ВложениеРазмер
Иконка изображения 1.2005..JPG20.8 КБ
Иконка изображения 2.2005.JPG20.58 КБ
Иконка изображения 3.2005.JPG16.02 КБ
Иконка изображения 4.JPG22.14 КБ
Иконка изображения 5.JPG21.74 КБ
Иконка изображения 6.2007.JPG18.96 КБ
Иконка изображения 7.2007.JPG19.54 КБ
Иконка изображения 8.2007.JPG19.56 КБ
Иконка изображения 9.2007.JPG19.58 КБ
Иконка изображения 10.2007.JPG19.53 КБ
Иконка изображения 11.2007.JPG19.39 КБ
Иконка изображения 12.2007.JPG19.97 КБ
Иконка изображения 13.2007.JPG19.09 КБ
Иконка изображения 14.2007.JPG16.79 КБ
Катенёв Валентин Львович аватар
Не на сайте
Был на сайте: 7 лет 6 месяцев назад
Зарегистрирован: 22.03.2008 - 22:15
Публикации: 54876

Дополнение к случаю "Эпителиома".