Пол пациента:
Тип патологии:
Область исследования:
Методы исследования:
- https://radiomed.ru/sites/default/files/styles/case_slider_image/public/user/12/2.pb020064.jpg?itok=y-hs6L8U
- https://radiomed.ru/sites/default/files/styles/case_slider_image/public/user/12/3.pb020065.jpg?itok=4c2yBk8Y
- https://radiomed.ru/sites/default/files/styles/case_slider_image/public/user/12/4.pb020065a.jpg?itok=hMetRT-F
- https://radiomed.ru/sites/default/files/styles/case_slider_image/public/user/12/5.pb020068.jpg?itok=SzJnBwC2
- https://radiomed.ru/sites/default/files/styles/case_slider_image/public/user/12/6.pb020068a.jpg?itok=bpXEWOFF
- https://radiomed.ru/sites/default/files/styles/case_slider_image/public/user/12/7.pb020066.jpg?itok=rPW2vxpr
- https://radiomed.ru/sites/default/files/styles/case_slider_image/public/user/12/8.pb020066a.jpg?itok=tqWalJEw
- https://radiomed.ru/sites/default/files/styles/case_slider_image/public/user/12/9.pb020067.jpg?itok=UTtA0AlX
- https://radiomed.ru/sites/default/files/styles/case_slider_image/public/user/12/10.pb020067a.jpg?itok=hxcKzJ7y
ID:16754
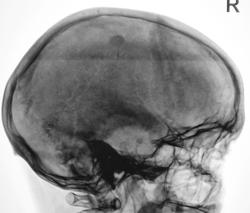
Снимки черепа. И? Что Вам подсказать, Валентин Львович?
Акцент на обызвествлении. Осталось найти его на прямом снимке. В любом случае, одной краниографией не ограничиться. Патология имеется, а насколько она клинически значима, это решит КТ.
По боковому снимку, в проекции теменной области плотная округлая тень. Для уточнения характера изменений рекомендованя МРТ головы.С какой целью назначалось исследование?
Для интересу..., тень то имеет место быть.., или как?
Пациентка из терапии, жаловалась на головные боли, вот доктор и назначил рентгенографию черепа.
Прошу прощения, не видел предыдущего поста. Изменяю свой комментарий.
Ответ таков: на снимках черепа есть подозрение на патологическое обызвествление. А теперь давайте гадать, что это. Обызвествление серпа или кальцинаты интракраниально. 50/50
Порекомендовать КТ?
Я бы описал обызвествление (вероятно, серпа) и рекомендовал консультацию невролога. Может, есть другие причины для головной боли, и кальцинат тут ни при чем? А невролог рекомендует то, что с его точки зрения нужно для пациента.
Невролог смотрел, ничего конкретного не сказал, присоединился к мнению терапевта, который рекомендовал рентгенографию черепа, невролог тоже порекомендовал череп отрентгенографировать...
Согласна, обызвествление, вероятно серповидного отростка.
Полностью согласен с коллегами!Обызвествление!
Я надеялся, что обызвествление серпа, даже пусть локальное, лучше должно быть видно на рентгенограмме, произведенной в прямой проекции...
Странное обызвествление для серповидного отростка - круглое такое... (Выше - он, согласен, а здесь - ?..) А в прямой проекции оно проекционно сливается с озерцом или растворилось в эмиссариях, надо полагать?..
--------------
"Просто, по видимости, не видеть логики в очевидных вещах - это тоже одно из свойств некоторых умов, наряду с грустными думами о свойствах ума других." © Vega 08/10/2011