Молодой мужчина, 59 лет, поступил в кардиологическое отделение. При поступлении жалобы на приступы "сердцебиения", одышку смешанного характера в покое, и при незначительной физической нагрузке, выраженную общую слабость.
Anamnesis morbi: Со слов пациента и данных выписок известно, что пациент в 16 лет болел ангиной, после чего через две недели отмечал покалывание в области сердца. В 20 лет во время медицинского осмотра был поставлен диагноз ревмокардит. Ранее не обследовался и не лечился. Периодически отмечал перебои в работе сердца. Настоящее ухудшение состояния 15.06.12 года, когда стал ощущать учащенное сердцебиение и одышку. Осмотрен участковым терапевтом, направлен на госпитализацию по каналу "03" в одну из городских больниц города Москвы с диагнозом: Гидроторакс справа.
Было назначена терапия: Sol. Фуросемида 60 мг в/в струйно, верошпирон 50 мг по 1 таблетке 2 раза в день; моноприл; конкор.
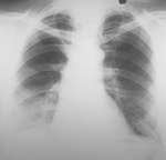
Снимков при поступлении у меня нет - есть описание: В легких умеренная перегрузка по МКК. Правый синус плохо просматривается ( жидкость ? ). Сердце умеренно расширено влево. Аорта плотная. Эти снимки в динамике, через 10 дней. А/б пациент не получал...
Динамику оценить невозможно по двум разным снимкам (обзорный и боковой). Может быть, что-то не дошло? А у "молодого человека" с таким анамнезом, не исключается появление жидкости справа. При сердечных делах первоначально жидкость появляется в правой полости.
Поступил он 18.06.12 года, однако при поступлении снимки ( первоначалыные ) потерялись в "детской" ординаторской! Динамика через 10 дней!!! При том, мы его активно "мочегонили"! Жидкость должна была регрессировать!
Изменения в верхушках есть, но не думаю, что ТБЦ. Для такого возраста характерно и в норме. Справа внизу похоже на инфильтрацию, но это возможна и ТЭЛА.
Спасибо, Вам за ответ!!! Нет, не делали... За десять дней адекватной мочегонной терапии жидкость в правом синусе остается!!! На 03.07.12 года КТ заказал!!!
Ну, 59 лет - не очень то уже и молодой... А вообще, конечно учитвая клинику и жалобы - надо сделать КТ ОГК (точнее КТА легочных артерий). ТЭЛУ исключить. И, вообще, сейчас зарубежом вовсю используют протокол "Triple Rule-out protocol". Позволяет за одно исследование при ОКС исклчить основные 3 его причины. + выявить дополнительную патологию
Снимки сделаны недопустимо «мягкими лучами», контраст чрезмерный и потому потеряно много информации в тенях и в светах. Всё, что упомянули коллеги, здесь может быть. Tbc, если и есть не может объяснить имеющуюся симптоматику. Скорей всего есть немного плеврального транссудата справа. Проверить на УЗИ – минутное дело.
Молодой мужчина, 59 лет, поступил в кардиологическое отделение. При поступлении жалобы на приступы "сердцебиения", одышку смешанного характера в покое, и при незначительной физической нагрузке, выраженную общую слабость.
Anamnesis morbi: Со слов пациента и данных выписок известно, что пациент в 16 лет болел ангиной, после чего через две недели отмечал покалывание в области сердца. В 20 лет во время медицинского осмотра был поставлен диагноз ревмокардит. Ранее не обследовался и не лечился. Периодически отмечал перебои в работе сердца. Настоящее ухудшение состояния 15.06.12 года, когда стал ощущать учащенное сердцебиение и одышку. Осмотрен участковым терапевтом, направлен на госпитализацию по каналу "03" в одну из городских больниц города Москвы с диагнозом: Гидроторакс справа.
Было назначена терапия: Sol. Фуросемида 60 мг в/в струйно, верошпирон 50 мг по 1 таблетке 2 раза в день; моноприл; конкор.
Снимков при поступлении у меня нет - есть описание: В легких умеренная перегрузка по МКК. Правый синус плохо просматривается ( жидкость ? ). Сердце умеренно расширено влево. Аорта плотная. Эти снимки в динамике, через 10 дней. А/б пациент не получал...
Заранее извините, уважаемые коллеги, за качество снимков!!! Фотографировал с телефона...
Динамику оценить невозможно по двум разным снимкам (обзорный и боковой). Может быть, что-то не дошло? А у "молодого человека" с таким анамнезом, не исключается появление жидкости справа. При сердечных делах первоначально жидкость появляется в правой полости.
Это снимки от 28.06.12 года - прямой и правый боковой ( динамика )!
Поступил он 18.06.12 года, однако при поступлении снимки ( первоначалыные ) потерялись в "детской" ординаторской! Динамика через 10 дней!!! При том, мы его активно "мочегонили"! Жидкость должна была регрессировать!
Изменения в верхушках есть, но не думаю, что ТБЦ. Для такого возраста характерно и в норме. Справа внизу похоже на инфильтрацию, но это возможна и ТЭЛА.
Спасибо, за ответ!!! Будем ждать Nikоlasa или Валентина Львовича!!!
Да, верхушки проблемны, особенно правая. Я в таких случаях обязательно томографирую - "ленейка", так как другого нет.
Справа, в нижнем легочном поле снижение прозрачности, возможно с верхушками и не связанное. Туб пробы делали?
Спасибо, Вам за ответ!!! Нет, не делали... За десять дней адекватной мочегонной терапии жидкость в правом синусе остается!!! На 03.07.12 года КТ заказал!!!
Насчет жидкости не шибко уверен, а вот ТЭЛА, вполне может быть.
Если КТ будет, выставляйте, интересный случай может из всего этого образоваться.
Ну, 59 лет - не очень то уже и молодой... А вообще, конечно учитвая клинику и жалобы - надо сделать КТ ОГК (точнее КТА легочных артерий). ТЭЛУ исключить. И, вообще, сейчас зарубежом вовсю используют протокол "Triple Rule-out protocol". Позволяет за одно исследование при ОКС исклчить основные 3 его причины. + выявить дополнительную патологию
Вот немного информации: http://www.ctisus.com/learning/pearls/vascular/triple-rule-out
Инфильтрация в в 9 и 10 справа с плевральной реакциией. А природа любая, но активный ТБС маловероятен. Если заказана КТ - нужно делать...
Обработанные снимки.
Снимки сделаны недопустимо «мягкими лучами», контраст чрезмерный и потому потеряно много информации в тенях и в светах. Всё, что упомянули коллеги, здесь может быть. Tbc, если и есть не может объяснить имеющуюся симптоматику. Скорей всего есть немного плеврального транссудата справа. Проверить на УЗИ – минутное дело.
Неоднозначно всё