Уважаемый коллега, после просмотра снимка создаётся впечатление об осутствии перелома(где признаки перелома- линия перелома, нарушение целостности кортикальной пластинки). Может быть, я что-нибудь не понял? Докажите, что я неправ.
Я сам, весьма часто злоупотребляю "обработкой снимков" выставляемых на сайте, но это делается из благих намерений, чтобы "все было нормально видно". По всей видимости, если-бы зернистость была меньше, изображение было-бы более "глазу любимо".
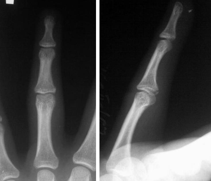
Уважаемые коллеги! Выскажу свое субъективное мнение. Костно-травматических изменений со стороны 3-го пальца не вижу. Точно такая же теневая картина имеется у 4-го пальца. Игра теней за счет наложения костных блоков суставных поверхностей. Отек мягких тканей бывает и при простых ушибах. И каков механизм травмы?
Соглашусь с последним постом-фаланга, котроую мы видим на R-грамме не плоская, а объёмная структура, то что показано стрелками на 7-ом снимке, тень суставной площадки,имеюшая размер ~1,5 см.в ширину, поэтому может давать 2 контура(скиология).Детские снимки не берусь оценивать- не знаю норму!
А Вам не кается необходимым, Ольга, пересмотреть и дополнить классические признаки перелома - "линия перелома" (плоскость перелома) и "смещение костных отломков", которые нам преподают, и дополнить эти признаки (+) другими? Практика показывает, что это необходимо? Это паказывает и "данный случай",
Я что, если-бы Вы, являющаяся специалистои в "детской рентгенологии", открыли-бы эту тему, с указанием не "традиционных признаков" перелома? Я думаю, что коллега Вега также мог что-либо дополнить. Это было-бы весьма полезно для нас рентгенологов общего профиля, и в познавательном и в практическом аспектах.
У нас, работающих в практическом здравоохранении, у многих "нет способностей к преподаванию", но мы можем (и Вы в том числе, и я в этом уверен) многое поведать "имеющим способности к преподаванию".
Я, со своей стороны, открою "ветку" в разделе "обучение" и озаглавлю её "Нетрадиционные признаки переломов".
Я надеюсь, что Вы не имеете в виду "основание 3 пястной кости"?
"Ювелирная травма" подразумевает, что пациентка не смогла снять или надеть ювелирное украшение или что-то другое?
Нет, нет уважаемый Валентин Львович, я имею в виду про среднюю фалангу 3 пальца(краевой перелом), в проксимальном межфаланговом суставе.
" Ювелирная " всмысле аккуратный, ели заметный переломчик
"Знаешь, у некоторых врачей есть комплекс мессии — им необходимо спасать мир. А у тебя комплекс Рубика — тебе необходимо решать головоломки."
У детей тоже такие переломы часто бывают, иногда, с первого взгляда, даже и не заметишь.
https://www.instagram.com/pediatricradiology/
Уважаемый коллега, после просмотра снимка создаётся впечатление об осутствии перелома(где признаки перелома- линия перелома, нарушение целостности кортикальной пластинки). Может быть, я что-нибудь не понял? Докажите, что я неправ.
Перелома нет на том участке, который вы указали.
Перелом есть, именно на том участке, который указан. Если будет завтра время, попробую найти подобные переломы, частенько попадаются.
https://www.instagram.com/pediatricradiology/
"Знаешь, у некоторых врачей есть комплекс мессии — им необходимо спасать мир. А у тебя комплекс Рубика — тебе необходимо решать головоломки."
Нет, не Вы один.
Я тоже вижу.
Я сам, весьма часто злоупотребляю "обработкой снимков" выставляемых на сайте, но это делается из благих намерений, чтобы "все было нормально видно". По всей видимости, если-бы зернистость была меньше, изображение было-бы более "глазу любимо".
Вот нашла три похожих переломчика у подростков.
https://www.instagram.com/pediatricradiology/
Красным помечены проблемные места для дифференциальной диагностики, и являются лишь скиалогией (т.е. анатомическими "накладками" тканей)
А вот зеленая стрелка, надо подумать ??? вероятнее всего питательный канал.
Доктор Орехов, зря Вы так скептически относитесь, это минус Вам, что Вы не видете перелома и не можете его отличить от нормы.
https://www.instagram.com/pediatricradiology/
Ну, по крайнем мере, представленный материал - эта тема для размышлений.
Перелом основания средней фаланги III пальца, причем бесспорно. Чётко видена линия перелома. Отёк мягких тканей III пальца.
Уважаемые коллеги! Выскажу свое субъективное мнение. Костно-травматических изменений со стороны 3-го пальца не вижу. Точно такая же теневая картина имеется у 4-го пальца. Игра теней за счет наложения костных блоков суставных поверхностей. Отек мягких тканей бывает и при простых ушибах. И каков механизм травмы?
dok
Соглашусь с последним постом-фаланга, котроую мы видим на R-грамме не плоская, а объёмная структура, то что показано стрелками на 7-ом снимке, тень суставной площадки,имеюшая размер ~1,5 см.в ширину, поэтому может давать 2 контура(скиология).Детские снимки не берусь оценивать- не знаю норму!
Ola-la , как вы считаете, нужны ли при таких миниатюрных переломах - контрольные снимки?
Наши хирурги любят назначать, да еще в гипсе.
Думаю, что при таких переломах р-контроль не обязателен, ну, или по крайней мере, после снятия гипса только.
По поводу детских снимков - не такие они уж и детские, снимки подростков по 16-17 лет, ростковые зоны то уже закрыты.
https://www.instagram.com/pediatricradiology/
А Вам не кается необходимым, Ольга, пересмотреть и дополнить классические признаки перелома - "линия перелома" (плоскость перелома) и "смещение костных отломков", которые нам преподают, и дополнить эти признаки (+) другими? Практика показывает, что это необходимо? Это паказывает и "данный случай",
Согласна, Валентин Львович, в некоторых случаях как раз этих классических признаков перелома и нет.
https://www.instagram.com/pediatricradiology/
Я что, если-бы Вы, являющаяся специалистои в "детской рентгенологии", открыли-бы эту тему, с указанием не "традиционных признаков" перелома? Я думаю, что коллега Вега также мог что-либо дополнить. Это было-бы весьма полезно для нас рентгенологов общего профиля, и в познавательном и в практическом аспектах.
Ой, даже не знаю, во мне нет способностей к преподаванию
. Но если попадется что-нибудь не совсем традиционное, я буду выкладывать.
https://www.instagram.com/pediatricradiology/
В данном случае четко определяется линия перелома - указана стрелкой. Для сравнения - на фалангах 4 и 2 пальцев её, разумеется, нет.
Уважаемая Ольга!
У нас, работающих в практическом здравоохранении, у многих "нет способностей к преподаванию", но мы можем (и Вы в том числе, и я в этом уверен) многое поведать "имеющим способности к преподаванию".
Я, со своей стороны, открою "ветку" в разделе "обучение" и озаглавлю её "Нетрадиционные признаки переломов".