Травма.

Пол пациента: 
Тип патологии: 
Область исследования: 
Методы исследования: 

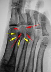
Пациент - подросток был направлен хирургом для рентгенографии переднего отдела стопы. Предварительный диагноз - "Перелом плюсневых костей". Произведено исследование.

ВАШЕ МНЕНИЕ КОЛЛЕГИ.


1.TR_...JPG
1.TR_...JPG
2.TR_..JPG
2.TR_..JPG
3.TR_..JPG
3.TR_..JPG
4.TR_..JPG
4.TR_..JPG
ВложениеРазмер
Иконка изображения 1.TR_...JPG68.33 КБ
Иконка изображения 2.TR_..JPG69.53 КБ
Иконка изображения 3.TR_..JPG89.4 КБ
Иконка изображения 4.TR_..JPG88.88 КБ
v1tal аватар
Не на сайте
Был на сайте: 5 лет 2 месяцев назад
Зарегистрирован: 07.06.2008 - 19:41
Публикации: 1779

Остеоэпифизиолиз  головки 2й плюсневой кости.

"Знаешь, у некоторых врачей есть комплекс мессии — им необходимо спасать мир. А у тебя комплекс Рубика — тебе необходимо решать головоломки."

Катенёв Валентин Львович аватар
Не на сайте
Был на сайте: 7 лет 5 месяцев назад
Зарегистрирован: 22.03.2008 - 22:15
Публикации: 54876

Согласен с Вами.

Vega аватар
Не на сайте
Был на сайте: 4 месяцев 4 недели назад
Зарегистрирован: 22.01.2009 - 19:16
Публикации: 1087

А разве это не проекционное наложение тени сесамовидной кости?

Ola-la аватар
Не на сайте
Был на сайте: 1 год 3 месяцев назад
Зарегистрирован: 06.12.2008 - 09:33
Публикации: 1786

Согласна с Vega.

Кожевников Александр Васильевич аватар
Не на сайте
Был на сайте: 10 лет 9 месяцев назад
Зарегистрирован: 18.02.2009 - 21:32
Публикации: 16

Согласен с Vega и Ola-la

v1tal аватар
Не на сайте
Был на сайте: 5 лет 2 месяцев назад
Зарегистрирован: 07.06.2008 - 19:41
Публикации: 1779

Края "сесамовидной" кости выглядят как то с заострением, не характерно для сесамовидной кости, но если осевая положительная вполне возможно переломчик.

"Знаешь, у некоторых врачей есть комплекс мессии — им необходимо спасать мир. А у тебя комплекс Рубика — тебе необходимо решать головоломки."

Vega аватар
Не на сайте
Был на сайте: 4 месяцев 4 недели назад
Зарегистрирован: 22.01.2009 - 19:16
Публикации: 1087

На мой взгляд, желтым - сесамовидная кость, красным - интактная головка плюсневой

Катенёв Валентин Львович аватар
Не на сайте
Был на сайте: 7 лет 5 месяцев назад
Зарегистрирован: 22.03.2008 - 22:15
Публикации: 54876

Весьма убедительно. Но вот как поступить, коллега Вега, если в данном месте резкая локальная боль, ибо пациентку и снимки пациентки смотрели вместе с хирургом. Клинически, как утверждает коллега хирург, и хирург довольно опытный, весьма похоже на перелом?

 

Конечно, можно через 7 дней сделать контроль, или как?

Vega аватар
Не на сайте
Был на сайте: 4 месяцев 4 недели назад
Зарегистрирован: 22.01.2009 - 19:16
Публикации: 1087

Если клинически похоже на перелом, то однозначно - гипс с рентгенконтролем через неделю.

Катенёв Валентин Львович аватар
Не на сайте
Был на сайте: 7 лет 5 месяцев назад
Зарегистрирован: 22.03.2008 - 22:15
Публикации: 54876

"Хи-хи". Согласен с Вами.

"хи-хи". Если есть клиника - значит есть и перелом!

А рентген-контроль в данном случае через неделю - через ГИПС?

Vega аватар
Не на сайте
Был на сайте: 4 месяцев 4 недели назад
Зарегистрирован: 22.01.2009 - 19:16
Публикации: 1087

Естественно. Клиника - это основной, рентген - дополнительный метод обследования.

Контроль, конечно же, без гипса. Если на втором снимке патологии тоже нет, и клиники нет - гипс выкидываем. Если остается клиника или на снимке все-таки видим перелом - гипс до сращения. Это общепринятая тактика.

Катенёв Валентин Львович аватар
Не на сайте
Был на сайте: 7 лет 5 месяцев назад
Зарегистрирован: 22.03.2008 - 22:15
Публикации: 54876

Вега:

"Естественно. Клиника - это основной, рентген - дополнительный метод обследования."

 

Спасибо Вега. Я теперь только понял глубину термина - "лечебно-диагностический процесс".