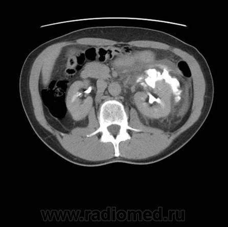
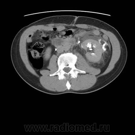
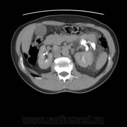
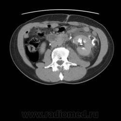
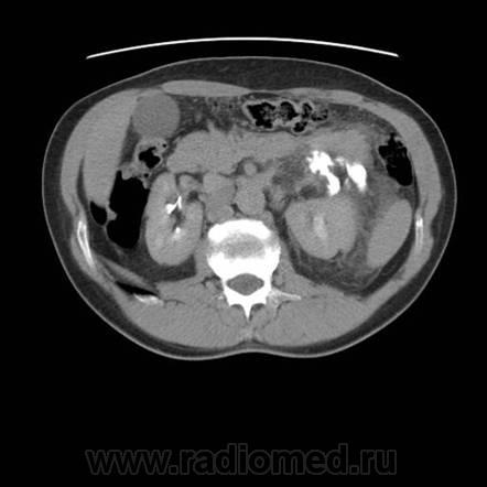
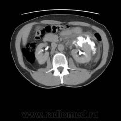
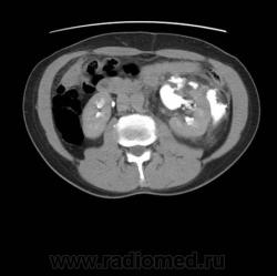
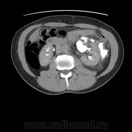
Травма. Боли в области поясницы.

Пол пациента: 
Тип патологии: 
Область исследования: 
Методы исследования: 

Травма. Боли в области поясницы.

  • https://radiomed.ru/sites/default/files/styles/case_slider_image/public/user/12/2.m.risunok2.jpg?itok=VZ3prtYF
  • https://radiomed.ru/sites/default/files/styles/case_slider_image/public/user/12/3.m.risunok3.jpg?itok=0QguQLpa
  • https://radiomed.ru/sites/default/files/styles/case_slider_image/public/user/12/4.m.risunok4.jpg?itok=ydcrOHpc
  • https://radiomed.ru/sites/default/files/styles/case_slider_image/public/user/12/5.m.risunok5.jpg?itok=Bm3ndj00
  • https://radiomed.ru/sites/default/files/styles/case_slider_image/public/user/12/6.m.risunok6.jpg?itok=jGPIbz2x
  • https://radiomed.ru/sites/default/files/styles/case_slider_image/public/user/12/1e.risunok7.jpg?itok=SWZ3hnAl
  • https://radiomed.ru/sites/default/files/styles/case_slider_image/public/user/12/2e.risunok8.jpg?itok=grYCzlJi
  • https://radiomed.ru/sites/default/files/styles/case_slider_image/public/user/12/3e.risunok9.jpg?itok=N0fCuN9L
  • https://radiomed.ru/sites/default/files/styles/case_slider_image/public/user/12/4e.risunok10.jpg?itok=kRmmlod2
ID:10862
Сергей Нагорный аватар
Не на сайте
Был на сайте: 9 лет 8 месяцев назад
Зарегистрирован: 13.07.2010 - 22:49
Публикации: 1370

Травматическое повреждение левой, по всей видимости, лоханки с разрывом и затеками контрастного препарата и мочи...

С уважением, С.Н. Нагорный