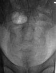
Травма (ДТП) в мае месяце. На контроль пришел на костылях.

Пол пациента: 
Тип патологии: 
Область исследования: 
Методы исследования: 

Травма (ДТП) в мае месяце. На контроль пришел на костылях

  • https://radiomed.ru/sites/default/files/styles/case_slider_image/public/user/12/2.p8310059.jpg?itok=y4zYnl6M
  • https://radiomed.ru/sites/default/files/styles/case_slider_image/public/user/12/3.p8310063.jpg?itok=u1N0oeEr
  • https://radiomed.ru/sites/default/files/styles/case_slider_image/public/user/12/4.p8310068.jpg?itok=u_S8d546
ID:15635
Student_Andrew аватар
Не на сайте
Был на сайте: 13 лет 8 месяцев назад
Зарегистрирован: 21.08.2011 - 23:18
Публикации: 106

Компрессионный перелом L4. Клин Урбана сдавливает элементы конского хвоста. Синдром конского хвоста(?). Необходима срочная декомпрессия.

Medicus curat, natura sanat

Катенёв Валентин Львович аватар
Не на сайте
Был на сайте: 7 лет 2 недели назад
Зарегистрирован: 22.03.2008 - 22:15
Публикации: 54876

Травма (ДТП) в мае месяце. На контроль пришел на костылях

Приложения: 
1.p8310060.jpg2.p8310060a.jpg3.p8310064.jpg4.p8310065a.jpg1.p8310061.jpg2.p8310061a.jpg3.p8310062.jpg4.p8310062a.jpg
Student_Andrew аватар
Не на сайте
Был на сайте: 13 лет 8 месяцев назад
Зарегистрирован: 21.08.2011 - 23:18
Публикации: 106

Еще и перелом оs sacrum?? (Где-то в S4). Если пишу глупости - исправьте.)

Medicus curat, natura sanat

Катенёв Валентин Львович аватар
Не на сайте
Был на сайте: 7 лет 2 недели назад
Зарегистрирован: 22.03.2008 - 22:15
Публикации: 54876

Student_Andrew wrote:

Еще и перелом оs sacrum?? (Где-то в S4). Если пишу глупости - исправьте.)

Почему глупости? Вы высказываете свою точку зрения. Каждый имеет право на собственную точку зрения!

Андрей Юрьевич аватар
Не на сайте
Был на сайте: 5 дней 19 часов назад
Зарегистрирован: 16.11.2008 - 22:16
Публикации: 18098

Ну, замечания, так замечания. Сами просили.

Student_Andrew wrote:
Если пишу глупости - исправьте.)

Андрей, Вы пишете не глупости, просто так

Student_Andrew wrote:
Клин Урбана сдавливает элементы конского хвоста. Синдром конского хвоста(?). Необходима срочная декомпрессия.

пишут не рентгенологи, а клиницисты. О сдавливании элементов хвоста, кроме клиницистов, могут еще судить магниторадиологи. Наш (общий на всех) термин - стеноз позвоночного канала. Еще надо не лениться и указать степень компрессии компрессии тела - легкая (20-25%), умеренная (25-40%), выраженная (больше 40%). А также замерить расстояние между основаниями дуг позвонков в прямой проекции - у L4 оно явно шире, и тогда в дополнение к перелому тела добавится перелом дуги и термин "нестабильный". Для полной красоты следует указывать угол кифотической деформации; критическими значениями являются:  для шейного отдела - 11º,  для грудного – 40º,  для поясничного - 25º

И еще, по поводу "клина Урбана". Это эффектно, но так говорят далеко не везде. К нам поступил на работу рентгенолог из Удмуртии, который  называл обычный пассаж бариевой взвеси по кишке исследованием по Шварцу, и считал это очень красивым.

Андрей Юрьевич

Kuzmitch аватар
Не на сайте
Был на сайте: 12 лет 7 месяцев назад
Зарегистрирован: 01.10.2010 - 18:20
Публикации: 171

Андрей Юрьевич, если можно, изобразите пожалуйста, как меряется угол кифотической деформации

Катенёв Валентин Львович аватар
Не на сайте
Был на сайте: 7 лет 2 недели назад
Зарегистрирован: 22.03.2008 - 22:15
Публикации: 54876

Да, исследование "по Шварцу", сейчас, звучит примерно так, как звучало из уст Остапа-Сулеймана-Берта -Марии-Бендер бея - " мой друг, правда бывший - "Коля Остенбакен""...

skos72 аватар
Не на сайте
Был на сайте: 14 лет 3 месяцев назад
Зарегистрирован: 29.06.2011 - 17:36
Публикации: 37

Для уточнения изменений в крестце было бы хорошо сделать его прицельную рентгенограмму с соответствующим направлением и углом центрального луча и лучше с предварительной очисткой кишечника

Катенёв Валентин Львович аватар
Не на сайте
Был на сайте: 7 лет 2 недели назад
Зарегистрирован: 22.03.2008 - 22:15
Публикации: 54876

skos72 wrote:

Для уточнения изменений в крестце было бы хорошо сделать его прицельную рентгенограмму с соответствующим направлением и углом центрального луча и лучше с предварительной очисткой кишечника

есть только боковая.

Катенёв Валентин Львович аватар
Не на сайте
Был на сайте: 7 лет 2 недели назад
Зарегистрирован: 22.03.2008 - 22:15
Публикации: 54876

Крестец, боковая.

Приложения: 
1.k.p8310066.jpg2.k.p8310066a.jpg3.p8310067.jpg4.p8310067a.jpg
Student_Andrew аватар
Не на сайте
Был на сайте: 13 лет 8 месяцев назад
Зарегистрирован: 21.08.2011 - 23:18
Публикации: 106

Андрей Юрьевич, спасибо за замечания и поучения:)

Medicus curat, natura sanat

svet аватар
Не на сайте
Был на сайте: 1 год 10 месяцев назад
Зарегистрирован: 07.05.2010 - 19:10
Публикации: 201

а здесь еще и переломовывих L4. а перелом еще и оскольчатый. с такой картиной можно утверждать что инвалидизация пациенту светит.А в S4 я перелома не вижу.

Андрей Юрьевич аватар
Не на сайте
Был на сайте: 5 дней 19 часов назад
Зарегистрирован: 16.11.2008 - 22:16
Публикации: 18098

Kuzmitch wrote:
Андрей Юрьевич, если можно, изобразите пожалуйста, как меряется угол кифотической деформации

Изобразить не могу, но определение дам: Определение степени кифотической деформации - на боковых рентгенограммах измеряют величину угла, образованного при пересечении двух линий, которые проводятся по задней поверхности тел выше- и нижележащих позвонков, образующих кифоз.

Андрей Юрьевич

Kuzmitch аватар
Не на сайте
Был на сайте: 12 лет 7 месяцев назад
Зарегистрирован: 01.10.2010 - 18:20
Публикации: 171

Андрей Юрьевич wrote:

Kuzmitch wrote:
Андрей Юрьевич, если можно, изобразите пожалуйста, как меряется угол кифотической деформации

Изобразить не могу, но определение дам: Определение степени кифотической деформации - на боковых рентгенограммах измеряют величину угла, образованного при пересечении двух линий, которые проводятся по задней поверхности тел выше- и нижележащих позвонков, образующих кифоз.

Спасибо

Попробовал изобразить (правильно?)

Приложения: 
pozvonochnik.jpg
Сан Саныч1 аватар
Не на сайте
Был на сайте: 11 месяцев 2 недели назад
Зарегистрирован: 07.06.2010 - 21:17
Публикации: 2114

Андрей Юрьевич wrote:

Kuzmitch wrote:
Андрей Юрьевич, если можно, изобразите пожалуйста, как меряется угол кифотической деформации

Изобразить не могу, но определение дам: Определение степени кифотической деформации - на боковых рентгенограммах измеряют величину угла, образованного при пересечении двух линий, которые проводятся по задней поверхности тел выше- и нижележащих позвонков, образующих кифоз.

А как называется эта методика? Просто мне не очень понятно, что за кифоз из двух позвонков.

Хочешь сделать что-то нормально - сделай это сам!

Андрей Юрьевич аватар
Не на сайте
Был на сайте: 5 дней 19 часов назад
Зарегистрирован: 16.11.2008 - 22:16
Публикации: 18098

Kuzmitch wrote:
Попробовал изобразить (правильно?)

Да, так. Просто в данном случае, диагностическая ценность этого признака перекрывается смещением пораженного позвонка кзади и стенозом позв. канала. А так подходит в качестве критерия нестабильности.

Андрей Юрьевич

Андрей Юрьевич аватар
Не на сайте
Был на сайте: 5 дней 19 часов назад
Зарегистрирован: 16.11.2008 - 22:16
Публикации: 18098

Сан Саныч1 wrote:
А как называется эта методика? Просто мне не очень понятно, что за кифоз из двух позвонков.

Не вполне понял вопрос. Как называется - не знаю, мне кажется она столь же древняя, как рентгенология в целом. Цифры углов - Склифовские (но они вроде тоже общепринятые). Кифоз (вернее, кифотическая деформация) из двух позвонков, при компрессии обычное дело.

Андрей Юрьевич

svet аватар
Не на сайте
Был на сайте: 1 год 10 месяцев назад
Зарегистрирован: 07.05.2010 - 19:10
Публикации: 201

Цифры углов - Склифовские (но они вроде тоже общепринятые). Кифоз (вернее, кифотическая деформация) из двух позвонков, при компрессии обычное дело.

Расскажите по подробнее про цифры углов и про кифозную деформацию при компрессии. я например знаю только измерение степени компрессии в %-тах