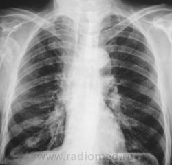
Перелом шейки правой плечевой кости вижу. Свежих переломов ребер и пневмоторакса не вижу. Справа - старые переломы. Но, честно говоря, видно плохо - снимки почему-то не увеличиваются...
У Кишковского в "Неотложной рентген-диагностике" было:
"Б. К. Савченко (1981), проведя сравнительный анализ результатов судебно-медицинского и рентгенологического исследований 84 больных, погибших вследствие тяжелых повреждений груди, установил, что полное совпадение данных обзорной рентгенографии и морфологического исследования имело место лишь в 33,4% случаев. В 40,4% совпадение диагноза было частичным (факт перелома ребер установлен, но выявлены не все повреждения либо не определен их множественный характер). В 26,2% случаев переломы на рентгенограммах не были обнаружены. Ретроспективное изучение рентгенограмм этих больных показало, что ошибочное заключение было обусловлено проекционным наложением на зону перелома изображения легочного рисунка (обычно «сгущенного» вследствие повышенного кровенаполнения или недостаточного вдоха) и патологических теней (гемоторакс, эмфизема мягких тканей груди, зона ушиба легкого, ателектаз доли или всего легкого, и др.), а также искажением изображения поврежденных (обычно боковых)
участков ребер при съемке с использованием косого пучка рентгеновскогоизлучения."
Так что, если и не видно, то не значит, что нет.
"Я считаю, что вегетарианская диета, хотя бы благодаря её чисто физическому воздействию на человеческий темперамент, должна в высшей степени благотворно сказаться на судьбе человечества" Альберт Эйнштейн
Ох, Валентин Львович, Вы как обычно не выкладываете все карты сразу )))))...
А я уже третий коммент удерживаю себя от слова "деструкция", чтобы не получилось, как в аннекдоте про студенда и блоху...
Вы правы, структура не нормальна, есть довольно четкие очаги. Аналогичный очаг в суставном отростке лопатки, да и структура задних отрезков 9-10 ребер справа настораживает. Перелом плеча, если он действительно свежий, то скорее всего - патологический. Но! А травмы кисти и л/з сустава не было?
У меня пока 2 варианта:
1. выяснить механизм травмы и допросить с пристрастием о травмах в анамнезе
2. Искать миеломную болезнь или гиперпаратиреоидную остеодистрофию
Самое хреновое то, что хирург оказывается не смотрел пациента, пациент плохо пахнет, спросил, где болит и написал направление на ОГК и череп для исключения переломов.
Или, "норму" написать?
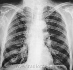
Перелом шейки правой плечевой кости вижу. Свежих переломов ребер и пневмоторакса не вижу. Справа - старые переломы. Но, честно говоря, видно плохо - снимки почему-то не увеличиваются...
"самоуверенность дилетантов - предмет зависти профессионалов"
Добрый вечер.
У Кишковского в "Неотложной рентген-диагностике" было:
"Б. К. Савченко (1981), проведя сравнительный анализ результатов судебно-медицинского и
рентгенологического исследований 84 больных, погибших вследствие тяжелых повреждений груди,
установил, что полное совпадение данных обзорной рентгенографии и морфологического исследования
имело место лишь в 33,4% случаев. В 40,4% совпадение диагноза было частичным (факт перелома ребер
установлен, но выявлены не все повреждения либо не определен их множественный характер). В 26,2%
случаев переломы на рентгенограммах не были обнаружены. Ретроспективное изучение рентгенограмм этих
больных показало, что ошибочное заключение было обусловлено проекционным наложением на зону
перелома изображения легочного рисунка (обычно «сгущенного» вследствие повышенного
кровенаполнения или недостаточного вдоха) и патологических теней (гемоторакс, эмфизема мягких тканей
груди, зона ушиба легкого, ателектаз доли или всего легкого, и др.), а также искажением изображения поврежденных (обычно боковых)
участков ребер при съемке с использованием косого пучка рентгеновскогоизлучения."
Так что, если и не видно, то не значит, что нет.
"Я считаю, что вегетарианская диета, хотя бы благодаря её чисто физическому воздействию на человеческий темперамент, должна в высшей степени благотворно сказаться на судьбе человечества" Альберт Эйнштейн
Лаборанты "усекли", что что-то не в порядке с головкой плечевой кости и с самой плечевой костью и решили дополнительно сделать рентгенограмму сустава.
И, в условиях "позитива".
Похоже тоже старый неконсолидорованый переломовывих. А переломов ребер и тут не вижу...
"самоуверенность дилетантов - предмет зависти профессионалов"
Перелом, по всей видимости, не старый, травма 2 дня тому, но "клиент" находился в подпитии.
Большой интерес, конечно, представляет "ручка", левая клиента. Какой-то уж сильно странненький остеопороз.
В режиме "позитива".
В режиме "негатив".
Ох, Валентин Львович, Вы как обычно не выкладываете все карты сразу )))))...
А я уже третий коммент удерживаю себя от слова "деструкция", чтобы не получилось, как в аннекдоте про студенда и блоху...
Вы правы, структура не нормальна, есть довольно четкие очаги. Аналогичный очаг в суставном отростке лопатки, да и структура задних отрезков 9-10 ребер справа настораживает. Перелом плеча, если он действительно свежий, то скорее всего - патологический. Но! А травмы кисти и л/з сустава не было?
У меня пока 2 варианта:
1. выяснить механизм травмы и допросить с пристрастием о травмах в анамнезе
2. Искать миеломную болезнь или гиперпаратиреоидную остеодистрофию
P.S. ну а череп показывать будем? )))))))
"самоуверенность дилетантов - предмет зависти профессионалов"
Череп делали, череп норма. Допрос с пристрастием отложу. Пациент хронический пататор, сегодня не контактен.
Самое хреновое то, что хирург оказывается не смотрел пациента, пациент плохо пахнет, спросил, где болит и написал направление на ОГК и череп для исключения переломов.