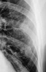
Пол пациента: Мужской пол Тип патологии: Травма Область исследования: Скелетно-мышечная система Методы исследования: Rg Травма. Пациент направлен на рентгенографию ребер слева https://radiomed.ru/sites/default/files/styles/case_slider_image/public/user/12/2.dscn1097.jpg?itok=gzM4pebU https://radiomed.ru/sites/default/files/styles/case_slider_image/public/user/12/3.dscn1097a.jpg?itok=BuHE6lDQ ID:26473 Пнд, 18/02/2013 - 20:55 #1 И.Бондаренко Не на сайте Был на сайте: 5 часов 32 минуты назад Зарегистрирован: 13.09.2011 - 22:55 Публикации: 9206 Свежий перелом 8 ребра по задне-подмышечной линии и ,наверное, старые переломы 8 и 9 ребер.
Свежий перелом 8 ребра по задне-подмышечной линии и ,наверное, старые переломы 8 и 9 ребер.