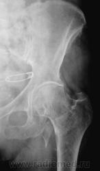
Пол пациента: Женский пол Тип патологии: Травма Область исследования: Скелетно-мышечная система Методы исследования: Rg Травма. Направлена на рентгенографию тазобедренного сустава https://radiomed.ru/sites/default/files/styles/case_slider_image/public/user/12/12.201201010053.jpg?itok=x97QZsTH ID:30719 Втр, 13/08/2013 - 18:18 #1 Sepsis Не на сайте Был на сайте: 1 год 8 месяцев назад Зарегистрирован: 13.12.2012 - 16:48 Публикации: 283 Отрывной перелом малого вертела. Втр, 13/08/2013 - 19:10 #2 Dima Не на сайте Был на сайте: 7 лет 2 месяцев назад Зарегистрирован: 05.08.2012 - 17:39 Публикации: 2467 По-моему черезвертельный с отрывом малого вертела Терпимость - это когда прощают чужие ошибки; такт - когда не замечают их. (Артур Шницлер) Втр, 13/08/2013 - 19:22 #3 maker4ik Не на сайте Был на сайте: 8 лет 7 месяцев назад Зарегистрирован: 19.10.2011 - 17:49 Публикации: 2682 Dima wrote: По-моему черезвертельный с отрывом малого вертела +1 Втр, 13/08/2013 - 19:50 #4 И.Бондаренко Не на сайте Был на сайте: 1 день 4 часа назад Зарегистрирован: 13.09.2011 - 22:55 Публикации: 9206 В основании шейки перелом, наверное чрезвертельный и отрыв малого вертела. Ср, 14/08/2013 - 13:20 #5 фатя Не на сайте Был на сайте: 4 года 2 месяцев назад Зарегистрирован: 13.02.2012 - 19:43 Публикации: 30 Чрезвертельный перелом с отрывом малого вертела фкар
Отрывной перелом малого вертела.
По-моему черезвертельный с отрывом малого вертела
Терпимость - это когда прощают чужие ошибки; такт - когда не замечают их. (Артур Шницлер)
+1
В основании шейки перелом, наверное чрезвертельный и отрыв малого вертела.
Чрезвертельный перелом с отрывом малого вертела
фкар