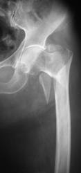
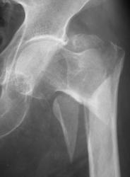
Пол пациента: Женский пол Тип патологии: Травма Область исследования: Скелетно-мышечная система Методы исследования: Rg Травма. Пациент направлен на рентгенографию тазобедренного сустава https://radiomed.ru/sites/default/files/styles/case_slider_image/public/user/12/12.dscn0638.jpg?itok=bc0VRt6z https://radiomed.ru/sites/default/files/styles/case_slider_image/public/user/12/13.dscn0638b.jpg?itok=ei_I2dUG ID:24650 Ср, 21/11/2012 - 18:30 #1 maker4ik Не на сайте Был на сайте: 8 лет 7 месяцев назад Зарегистрирован: 19.10.2011 - 17:49 Публикации: 2682 Чрезвертельный с отрывом малого вертела, смещением бедренной кости кверху и кнаружи. Втр, 20/11/2012 - 18:15 #2 арти Не на сайте Был на сайте: 12 лет 1 месяц назад Зарегистрирован: 26.02.2012 - 11:23 Публикации: 490 И кажется не свежий Втр, 20/11/2012 - 19:24 #3 И.Бондаренко Не на сайте Был на сайте: 19 часов 37 минут назад Зарегистрирован: 13.09.2011 - 22:55 Публикации: 9206 Сам дошёл? Втр, 20/11/2012 - 20:02 #4 Наталия Васильевна Не на сайте Был на сайте: 5 лет 9 месяцев назад Зарегистрирован: 25.09.2011 - 09:02 Публикации: 754 С переломом все ясно, согласна с коллегами. А структура головки по нижнему контуру не смущает? Ср, 21/11/2012 - 08:32 #5 арти Не на сайте Был на сайте: 12 лет 1 месяц назад Зарегистрирован: 26.02.2012 - 11:23 Публикации: 490 Ну кажется, что это кистовидная перестройка, да ещё и обезыствление стенок артерии Ср, 21/11/2012 - 09:25 #6 ЛГ Не на сайте Был на сайте: 8 лет 11 месяцев назад Зарегистрирован: 06.01.2010 - 12:31 Публикации: 3523 Оскольчатый чрезвертельный со смещением и уменьшением шеечно-диафизарного угла. Боковой снимок? https://www.youtube.com/channel/UCBGxoBUOqUT_bFhSeUgtWEw Пт, 30/11/2012 - 22:45 #7 Intern_Andrew Не на сайте Был на сайте: 13 лет 1 неделя назад Зарегистрирован: 30.10.2012 - 01:21 Публикации: 6 Наталия Васильевна wrote: С переломом все ясно, согласна с коллегами. А структура головки по нижнему контуру не смущает? Смущает. Асептический некроз головки?
Чрезвертельный с отрывом малого вертела, смещением бедренной кости кверху и кнаружи.
И кажется не свежий
Сам дошёл?
С переломом все ясно, согласна с коллегами. А структура головки по нижнему контуру не смущает?
Ну кажется, что это кистовидная перестройка, да ещё и обезыствление стенок артерии
Оскольчатый чрезвертельный со смещением и уменьшением шеечно-диафизарного угла. Боковой снимок?
https://www.youtube.com/channel/UCBGxoBUOqUT_bFhSeUgtWEw
Смущает. Асептический некроз головки?