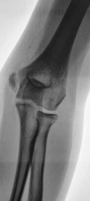
Пациент (подросток) направлен хирургом в рентгеновский какбинет для рентгенографии локтевого сустава. Накануне - травма. Произведено исследование. Ваше мнение коллеги по поводу наличия или отсутствия перелома.
Малышка – Иринка, правоту которой я предполагаю, предположила апофизеолиз локтевого отростка, а его, на мой взгляд, можно определить лишь в боковой проекции.
Конечно, Петрович - Вы правы. Формально можно предположить апофизеолиз локтевого отростка, с учетом неравномерности ширины "зоны росткового хряща". Но из-за болевого синдрома, классическую "строго боковую" лаборантам произвести не удалось.
Перелом мед.надмыщелка с небольшим смещением.
https://www.instagram.com/pediatricradiology/
Другая рука "для сравнения". Прямая проекция.
Теперь все стало очевидным.
https://www.instagram.com/pediatricradiology/
стало понятно, что это всё зона роста?
Прийди к Себе
То есть стало понятно, что это перелом. Лучше - прооперировать
А апофизеолиза локтевоо отростка здесь нет? Зона роста неравномерная, резко сужена в верхнем отделе.
А может и права малышка.
Другую руку бы посмотреть. 
Неоднозначно всё
Уважаемый Петрович!
Другая рука для сравнения приведена - второй коммент в этой ветке - "Другая рука "для сравнения". Прямая проекция."
На здоровой руке обычная зона роста, на травмированной зона роста очень расширена. Это эпифизеолиз.
Уважаемый Валентин Львович!
Малышка – Иринка, правоту которой я предполагаю, предположила апофизеолиз локтевого отростка, а его, на мой взгляд, можно определить лишь в боковой проекции.
Неоднозначно всё
Конечно, Петрович - Вы правы. Формально можно предположить апофизеолиз локтевого отростка, с учетом неравномерности ширины "зоны росткового хряща". Но из-за болевого синдрома, классическую "строго боковую" лаборантам произвести не удалось.
Нет, апофизеолиза локтевого отростка здесь нет.
https://www.instagram.com/pediatricradiology/
Здесь не хватает боковой проекции здоровой руки. Больная же в боковой проекции снята вполне удовлетворительно.
Но после такого вердикта Авторитетного Доктора:
Сомнения уже неуместны!
Неоднозначно всё