Травма №5.

Пол пациента: 
Тип патологии: 
Область исследования: 
Методы исследования: 

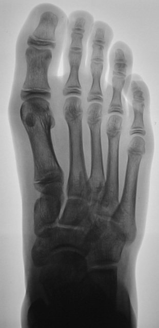
Травма. Пациент направлен врачом хирургом на рентгенографию переднего отдела стопы. Произведено исследование. Интерес у нас вызвал 1 палец. Какие мнения будут уважаемые коллеги?

31.Rep_..JPG
31.Rep_..JPG
32.Rep_..JPG
32.Rep_..JPG
33.Rep_..JPG
33.Rep_..JPG
34.Rep_..jpg
34.Rep_..jpg
35.Rep_..JPG
35.Rep_..JPG
36.Rep_..jpg
36.Rep_..jpg
ВложениеРазмер
Иконка изображения 31.Rep_..JPG56.95 КБ
Иконка изображения 32.Rep_..JPG56.94 КБ
Иконка изображения 33.Rep_..JPG57.64 КБ
Иконка изображения 34.Rep_..jpg66.28 КБ
Иконка изображения 35.Rep_..JPG44.99 КБ
Иконка изображения 36.Rep_..jpg51.38 КБ
Vega аватар
Не на сайте
Был на сайте: 3 месяцев 1 неделя назад
Зарегистрирован: 22.01.2009 - 19:16
Публикации: 1087

Похоже на перелом средней фаланги

Анатолий Владимирович Шумаков аватар
Не на сайте
Был на сайте: 7 лет 10 месяцев назад
Зарегистрирован: 16.10.2009 - 21:16
Публикации: 1941

Настолько качественная рентгенограмма, что передний край суставной поверхности дистального эпифиза средней фаланги первого пальца, который имеет форму буквы V, симулирует линию перелома...

Глазков Игорь Артурович аватар
Не на сайте
Был на сайте: 9 месяцев 2 недели назад
Зарегистрирован: 19.12.2008 - 20:41
Публикации: 1597

это не перелом?

Прийди к Себе

Ермолаев аватар
Не на сайте
Был на сайте: 8 лет 10 месяцев назад
Зарегистрирован: 07.02.2009 - 16:33
Публикации: 670

Костно-травматических изменений у отрока не выявлено.

dok

Ola-la аватар
Не на сайте
Был на сайте: 10 месяцев 1 неделя назад
Зарегистрирован: 06.12.2008 - 09:33
Публикации: 1786

Я бы не исключила перелом, только не средней, а основной фаланги, средней то у первого пальца нет.

Vega аватар
Не на сайте
Был на сайте: 3 месяцев 1 неделя назад
Зарегистрирован: 22.01.2009 - 19:16
Публикации: 1087

Ola-la wrote:

 ...только не средней, а основной фаланги, средней то у первого пальца нет.

И то правда :-)