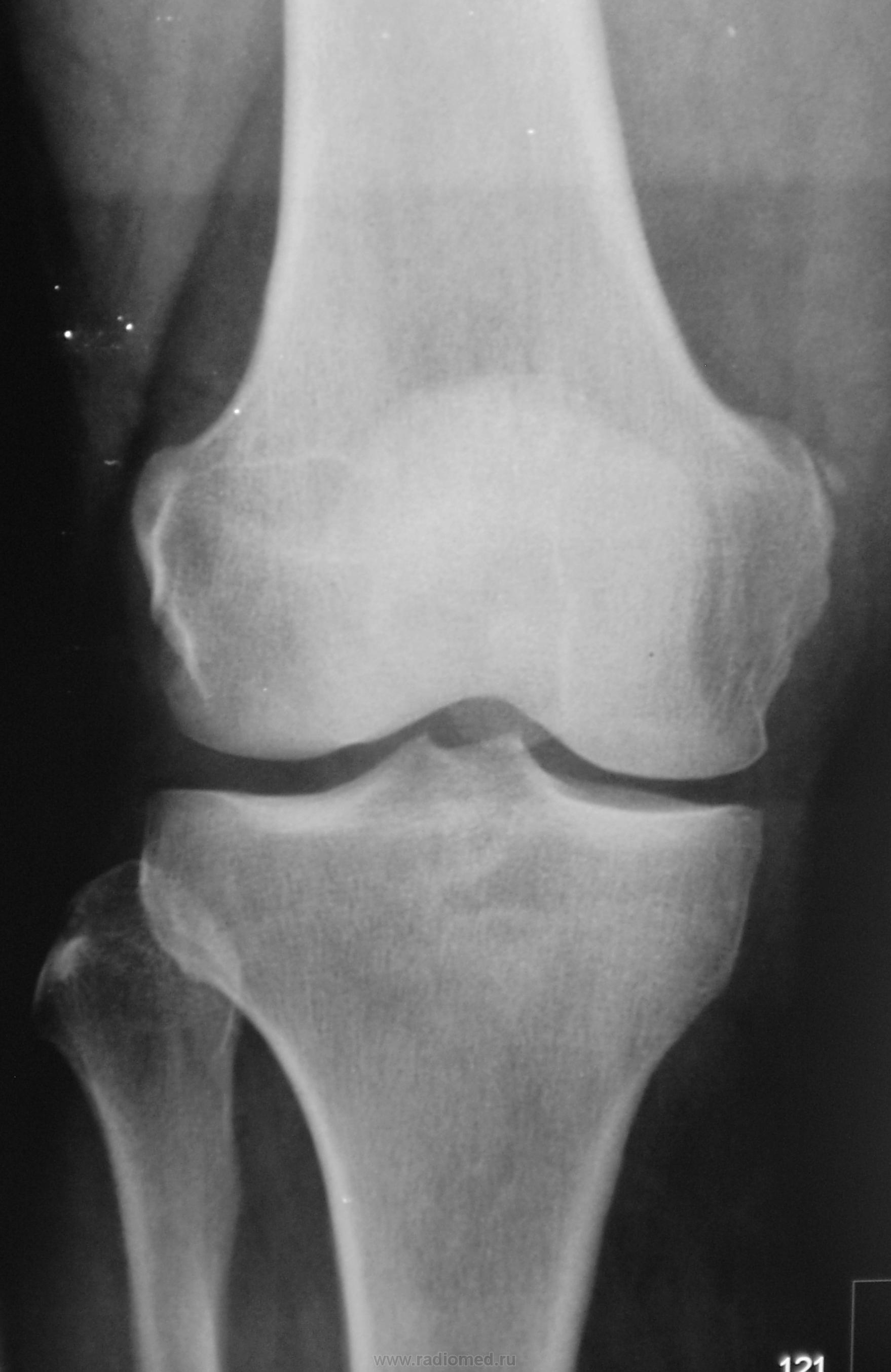
Травма. Пациент направлен на рентгенографию коленного сустава.

Пол пациента: 
Тип патологии: 
Область исследования: 
Методы исследования: 

Травма.  Пациент направлен на рентгенографию коленного сустава.

  • https://radiomed.ru/sites/default/files/styles/case_slider_image/public/user/12/12.p2070027.jpg?itok=jTWhrlAl
  • https://radiomed.ru/sites/default/files/styles/case_slider_image/public/user/12/13.p2070028.jpg?itok=OzFyhOtE
  • https://radiomed.ru/sites/default/files/styles/case_slider_image/public/user/12/14.p2070028a.jpg?itok=Gu0k0X1H
ID:18714
Глазков Игорь Артурович аватар
Не на сайте
Был на сайте: 9 месяцев 3 недели назад
Зарегистрирован: 19.12.2008 - 20:41
Публикации: 1597

Данная картина больше напоминает болезнь Пеллегрини-Штида, обызвествления сухожилия мышцы.

Прийди к Себе

Дмитрий К аватар
Не на сайте
Был на сайте: 6 лет 5 месяцев назад
Зарегистрирован: 27.10.2011 - 10:17
Публикации: 120

Пеллегрини-Штида

И.Бондаренко аватар
Не на сайте
Был на сайте: 1 день 22 часа назад
Зарегистрирован: 13.09.2011 - 22:55
Публикации: 9206

Участок обызвествления у медиального надмыщелка бедренной кости. Возможно оскольчатый перелом.

Фаина аватар
Не на сайте
Был на сайте: 2 года 11 месяцев назад
Зарегистрирован: 14.12.2008 - 16:51
Публикации: 323

Глазков Игорь Артурович wrote:

Данная картина больше напоминает болезнь Пеллегрини-Штида, обызвествления сухожилия мышцы.

+1

Катенёв Валентин Львович аватар
Не на сайте
Был на сайте: 7 лет 1 месяц назад
Зарегистрирован: 22.03.2008 - 22:15
Публикации: 54876

Что писать в протоколе?

Фаина аватар
Не на сайте
Был на сайте: 2 года 11 месяцев назад
Зарегистрирован: 14.12.2008 - 16:51
Публикации: 323

Костно-травматических изменний не выявлено. Участок линейного обызвествления у медиального надмыщелка бедренной кости - болезнь П.-Ш. (это я сократилаsmiley)

kotanka аватар
Не на сайте
Был на сайте: 13 лет 10 месяцев назад
Зарегистрирован: 10.02.2012 - 16:42
Публикации: 15

Согласна с Фаиной

Катенёв Валентин Львович аватар
Не на сайте
Был на сайте: 7 лет 1 месяц назад
Зарегистрирован: 22.03.2008 - 22:15
Публикации: 54876

Фаина wrote:

Костно-травматических изменний не выявлено. Участок линейного обызвествления у медиального надмыщелка бедренной кости - болезнь П.-Ш. (это я сократилаsmiley)

Так и написали.

Вот , был ещё один случай.

 

Приложения: 
1._pel.slayd4_.jpg2.peld_.slayd5_.jpg