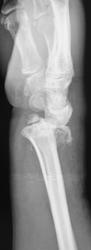
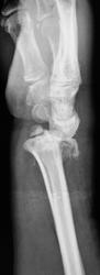
Травма. Пациент направлен на рентгенографию лучезапястного сустава.

Пол пациента: 
Тип патологии: 
Область исследования: 
Методы исследования: 

 

Травма. Пациент направлен на рентгенографию лучезапястного сустава.

Ваше мнение уважаемые коллеги?

  • https://radiomed.ru/sites/default/files/styles/case_slider_image/public/user/12/2.p1110090a.jpg?itok=ojkhKuR1
  • https://radiomed.ru/sites/default/files/styles/case_slider_image/public/user/12/3.p1110091.jpg?itok=lWupnYH4
  • https://radiomed.ru/sites/default/files/styles/case_slider_image/public/user/12/4.p1110091a.jpg?itok=U-OSaZOd
ID:17998
Глазков Игорь Артурович аватар
Не на сайте
Был на сайте: 9 месяцев 2 недели назад
Зарегистрирован: 19.12.2008 - 20:41
Публикации: 1597

перелом луча с отрывом шиловидного отростка. Вывих в лучезапястном суставе. Видимо упал с лестницы или неудачное голосование?

Прийди к Себе

И.Бондаренко аватар
Не на сайте
Был на сайте: 18 часов 17 минут назад
Зарегистрирован: 13.09.2011 - 22:55
Публикации: 9206

Как давно была травма? Очень смахивает на солидный возраст. Даже показалось на формирующийся ложный сустав.

Любовь С. аватар
Не на сайте
Был на сайте: 9 лет 5 месяцев назад
Зарегистрирован: 23.12.2010 - 01:58
Публикации: 2324

Истинный тыльный вывих кисти. Внутрисуставной оскольчатый перелом лучевой в типичном месте, перелом шиловидного отростка локтевой со смещением. А контроль после репозиции будет?

"Предоставляя весь смысл и совершенство в распоряжение одного только Бога, вы избавляете себя от бездны хлопот." Джон Уитборн.

Катенёв Валентин Львович аватар
Не на сайте
Был на сайте: 7 лет 2 недели назад
Зарегистрирован: 22.03.2008 - 22:15
Публикации: 54876

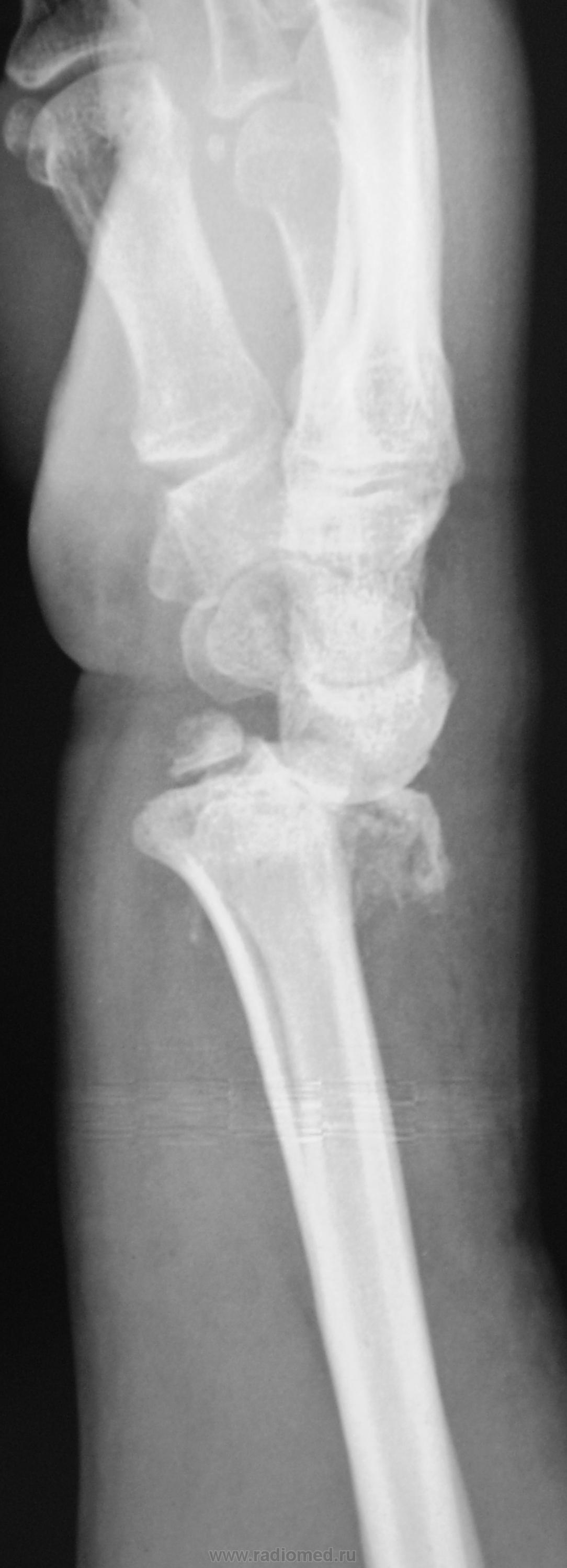
Сегодня был контроль, однако желаемое не достигнуто...

Любовь С. аватар
Не на сайте
Был на сайте: 9 лет 5 месяцев назад
Зарегистрирован: 23.12.2010 - 01:58
Публикации: 2324

В данном случае стоит требовать продолжения банкета до победного конца.

"Предоставляя весь смысл и совершенство в распоряжение одного только Бога, вы избавляете себя от бездны хлопот." Джон Уитборн.

Катенёв Валентин Львович аватар
Не на сайте
Был на сайте: 7 лет 2 недели назад
Зарегистрирован: 22.03.2008 - 22:15
Публикации: 54876

"Банкет" заказывает не рентгенолог, в данном случае "банкует" клиницист

Любовь С. аватар
Не на сайте
Был на сайте: 9 лет 5 месяцев назад
Зарегистрирован: 23.12.2010 - 01:58
Публикации: 2324

А "банкротом" может оказаться пациентка... Но это уже лирика)). Наше дело в данном случае маленькое: ДИНАМИКИ НЕТ, ВЫВИХ НЕ УСТРАНЕН. И всё))

"Предоставляя весь смысл и совершенство в распоряжение одного только Бога, вы избавляете себя от бездны хлопот." Джон Уитборн.

Катенёв Валентин Львович аватар
Не на сайте
Был на сайте: 7 лет 2 недели назад
Зарегистрирован: 22.03.2008 - 22:15
Публикации: 54876

Вы правы на все СТО...