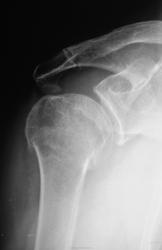
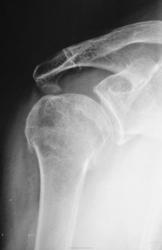
Пол пациента: Мужской пол Тип патологии: Травма Область исследования: Скелетно-мышечная система Методы исследования: Rg Травма. Пациент направлен на рентгенографию плечевого сустава. Ваше мнение уважаемые коллеги? https://radiomed.ru/sites/default/files/styles/case_slider_image/public/user/12/2.p9260006.jpg?itok=ZZgP4cVe https://radiomed.ru/sites/default/files/styles/case_slider_image/public/user/12/3.p9260006a.jpg?itok=SS2b-avQ ID:15657 Пнд, 26/09/2011 - 17:41 #1 Student_Andrew Не на сайте Был на сайте: 13 лет 8 месяцев назад Зарегистрирован: 21.08.2011 - 23:18 Публикации: 106 Вколоченный перелом хирургической шейки правой плечевой кости. Постравматическая гематома в правой аксилярной области(?) Medicus curat, natura sanat Пнд, 26/09/2011 - 20:15 #2 ДокRg Не на сайте Был на сайте: 12 лет 3 месяцев назад Зарегистрирован: 30.03.2011 - 20:05 Публикации: 105 Похоже на патологический.... Пнд, 26/09/2011 - 21:33 #3 Петрович Не на сайте Был на сайте: 7 лет 2 месяцев назад Зарегистрирован: 22.03.2009 - 01:13 Публикации: 3908 Перелом оскольчатый, а возможно, и внутрисуставной. В этом его «патологичность» Неоднозначно всё Втр, 27/09/2011 - 15:13 #4 Катенёв Валенти... Не на сайте Был на сайте: 7 лет 2 недели назад Зарегистрирован: 22.03.2008 - 22:15 Публикации: 54876 Нет, перелом не патологический - рутинный перелом.
Вколоченный перелом хирургической шейки правой плечевой кости. Постравматическая гематома в правой аксилярной области(?)
Medicus curat, natura sanat
Похоже на патологический....
Перелом оскольчатый, а возможно, и внутрисуставной. В этом его «патологичность»
Неоднозначно всё
Нет, перелом не патологический - рутинный перелом.