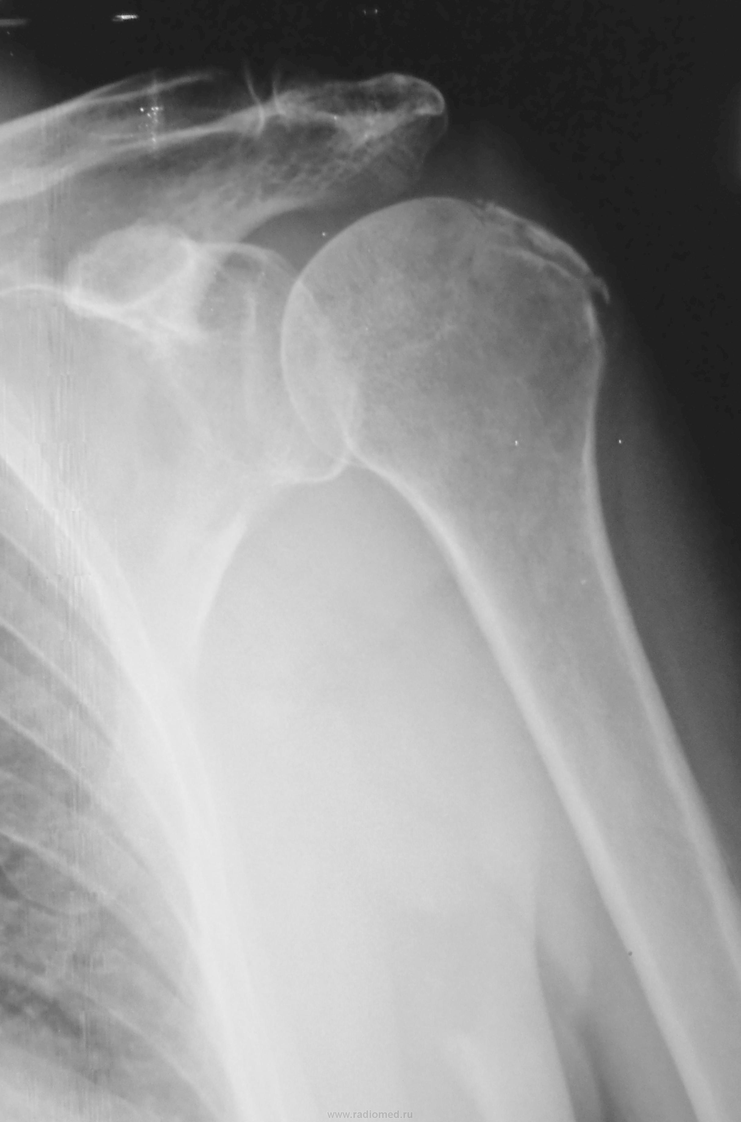
Пол пациента: Женский пол Тип патологии: Травма Область исследования: Скелетно-мышечная система Методы исследования: Rg Травма. Пациент направлен на рентгенографию плечевого сустава https://radiomed.ru/sites/default/files/styles/case_slider_image/public/user/12/2.dscn1091.jpg?itok=2dOlFZz1 ID:26462 Пнд, 18/02/2013 - 20:38 #1 И.Бондаренко Не на сайте Был на сайте: 1 день 17 часов назад Зарегистрирован: 13.09.2011 - 22:55 Публикации: 9206 Как давно травма была? Пнд, 18/02/2013 - 20:57 #2 алкс Не на сайте Был на сайте: 10 лет 1 месяц назад Зарегистрирован: 24.10.2012 - 22:55 Публикации: 2915 Перипроцесс. Пнд, 18/02/2013 - 20:59 #3 Катенёв Валенти... Не на сайте Был на сайте: 7 лет 1 месяц назад Зарегистрирован: 22.03.2008 - 22:15 Публикации: 54876 Хирургом травма расценана как свежая. Пнд, 18/02/2013 - 21:28 #4 И.Бондаренко Не на сайте Был на сайте: 1 день 17 часов назад Зарегистрирован: 13.09.2011 - 22:55 Публикации: 9206 Думаю, что здесь несколько недель. А может сумка обызвествилась?
Как давно травма была?
Перипроцесс.
Хирургом травма расценана как свежая.
Думаю, что здесь несколько недель. А может сумка обызвествилась?