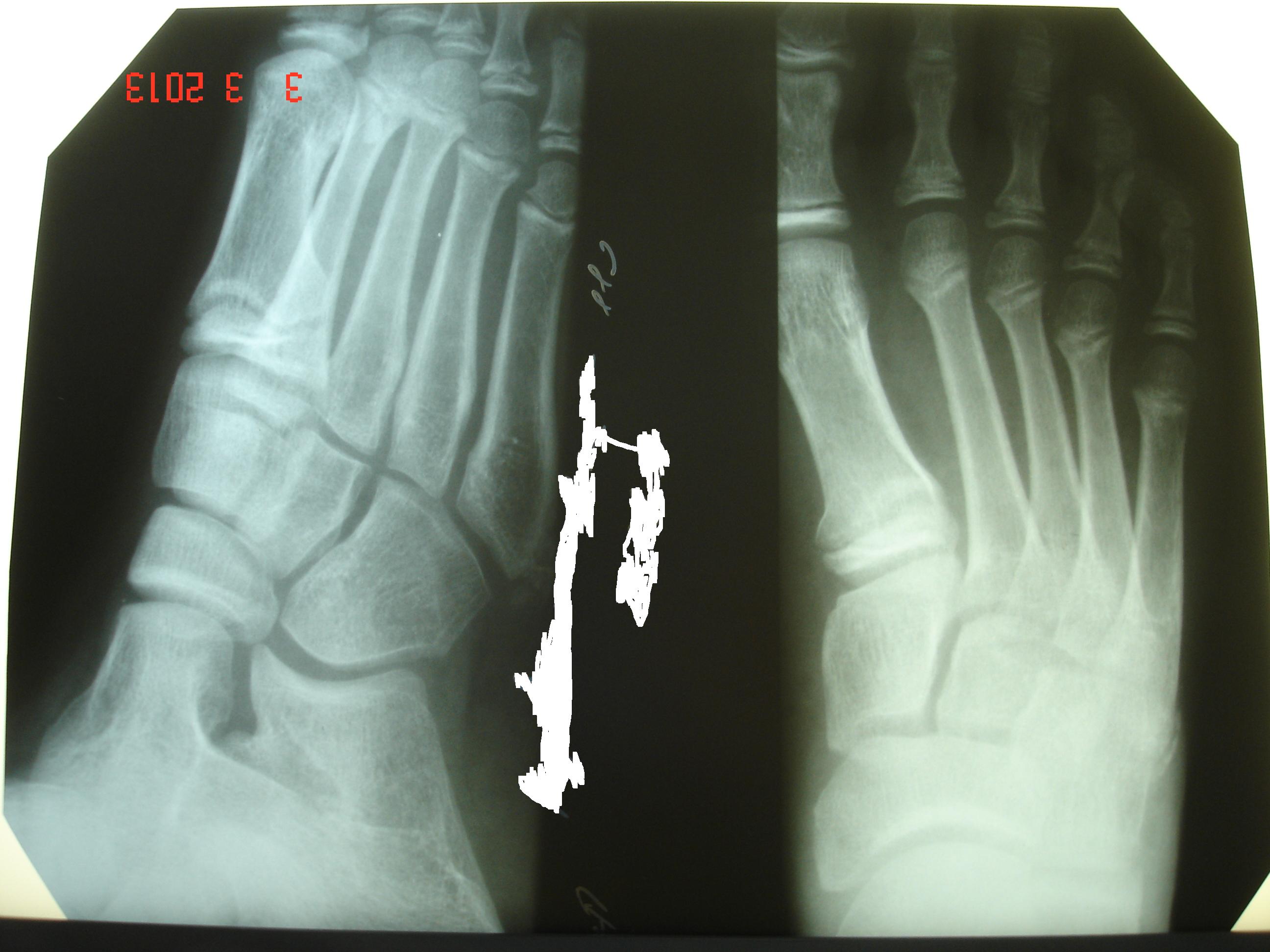
Мальчик, 11 лет. Обращение в травмпункт с жалобами на боли в правой стопе. Упал на горке. «Мозговым штурмом» этот случай назвать будет слишком громко. Так, легкая разминка перед тренировкой. Прошу извинить за качество снимков, но патологию (в общем и целом) видно.

Перелом основания I плюсневой. Нечасто встретишь...
Ни разу не попадалось.
"Предоставляя весь смысл и совершенство в распоряжение одного только Бога, вы избавляете себя от бездны хлопот." Джон Уитборн.
А как вам основная фаланга IV пальца?
В смысле наслоение тени мягких тканей V пальца на основную фалангу IV? Никак
.
Там вроде бы не болело.
К стыду не сразу увидел перелом 1 кости. А как объяснить неровности, в виде пролабирования, в ростковых зонах оснований первых фаланг 2,3, 4 пальцев?
перелом основания 1 плюсневой кости по типу остеоэпифизеолиза, в травмпункте у детей встречается не редко, раз в неделю точно есть))) остальное здесь - возрастная норма
Перелом основания 1 плюсневой кости скорее является застарелым. Формирование ложного сустава? Является ли он причиной болей применительно к свежей травме?
Братцы, да вы что! Какой застарелый? Какой ложный сустав?.. Да и остеоэпифизеолизом я бы не рискнула его назвать
Почему нечасто? Я очень часто вижу, особенно у детей младшего детского возраста (2,3,4 года), механизм травмы чаще всего "спрыгнул с дивана".
https://www.instagram.com/pediatricradiology/
А я вот редко. К тому же у 2-4 летних.
Verum plus uno esse non potest.
Уважаемые коллеги, почему? Разъясните, пожалйста..
Андрей Юрьевич
не факт, что вовлечена зона роста
При такой картине мне когда-то говорили (поэтому я так осторожен) об остеоэпифизеолизе без смещения.
Андрей Юрьевич
Вот уж не предполагал, что по этому случаю дискуссия будет столь оживленной! Перелом не застарелый, обращение в травмпункт на следующий день после травмы. Ложным суставом, разумеется, и не "пахнет". А насколько принципиально, остеоэпифизеолиз это или "обычный" перелом? Тактика, в общем-то, одна и та же, и сроки сращения одинаковые.
Вероятно, все дело в геологических особенностях :) Как мне объяснили, Ваш прекрасный город, уважаемая Ola-la, построен на гранитной плите. Отсюда, вероятно, и болезнь Дойчлендера у подростков, и переломы основания I плюсневой кости при прыжках с дивана у маленьких ребятишек :)
Да, у нас всего хватает ))))) Может, дело в численности обслуживаемого населения нашей больницей? В нашей больнице единственное детское травматологическое отделение на почти двухмиллионный город.
https://www.instagram.com/pediatricradiology/
Может быть, у Вас действительно концентрируется достаточно редкая патология.
Уважаемый Виталий Юрьевич, мы же здесь не просто так сидим, а для взаимного обогащения (знаниями)
Ваше мнение, мнения коллег Vega и Ola-la мне были бы чрезвычайно интересны, но что-то они отмалчиваются.
Андрей Юрьевич
Я бы написала просто перелом, мне кажется, линия перелома на ростковую зону не распространяется.
https://www.instagram.com/pediatricradiology/
Эпифизеолиз без смещения характеризуется 1. расширением физарной зоны роста, как правило, преобладающей с одной стороны, по типу клиновидной формы, 2. "дисконгруэнтностью" (если угодно) склерозированных зон роста эпифиза и метадиафиза 3. иногда - мелкой фрагментацией зон роста в виде костной "крошки" в этой зоне. Эпифизеолиз обычно ставлю, когда смещается эпифиз.
В данном случае имеется деформация кортекса и нарушение балочной структуры прилежащей к зоне роста внутреннего сектора метадиафизарной зоны, по типу "сминания" кости. Высока вероятность того, что перелом вхож в ростковую зону, медиальный сектор ее шире, нежели остальная часть физарной линии. Скорее всего, повреждение её здесь есть, частичное. Наблюдать в динамике рост кости обязательно, хотя, думаю, принципиального влияния на форму и длину кости данная травма не окажет.
Verum plus uno esse non potest.
Строго говоря, переломов без смещения вообще не бывает. Если есть перелом, значит, есть и смещение, хоть и минимальное, клинически незначимое и практически не определяемое на снимке. Поэтому, наверное, все же сленг. Мы чаще говорим про эпифизеолиз без смещения тогда, когда есть выраженная клиника перелома, а рентгенологически он не определяется. Хотя в этом случае перелом, наверное, больше подходит под тип V по Salter-Harris.
Что же касается обсуждаемого случая - на мой взгляд, зону роста он совсем не затрагивает, имеет место сминание кости по типу "зелёной ветки".
Измерения в прямой проекции показывают некоторое превалирование ширины зоны роста А (медиальный сектор) над проекционно расходящимися тыльным и подошвенным секторами (В, С).
Может, это и норма.
Но что же делать со второй картинкой?! Прошу объяснений.
Verum plus uno esse non potest.
А что там на второй картинке, то что вы показываете, на мой взгляд, к перелому никакого отношения не имеет. Перелом вот здесь
https://www.instagram.com/pediatricradiology/
К чему же тогда линия относится. С Вашей стрелочкой согласен был изначально.
Verum plus uno esse non potest.
К чему-то, отношения к перелому не имеющего
. Наложение теней, локальное разрежение костной структуры, наложение костных балок... Сложно сказать. На мой взгляд, линией перелома эта линия является вряд ли. Во-первых, она (синие стрелки) продолжается и на медиальную клиновидную кость (красный пунктир), перелом которой в данном случае совместно с I плюсневой предположить вообще очень сложно. Во-вторых, подобные линии можно найти и на других участках снимка (зелёная стрелка).
Что бы не быть голословной - открыла архив, период меньше месяца, выбирала только возраст до 6 лет, и то не всех подряд, вот они переломы первой плюсневой
https://www.instagram.com/pediatricradiology/
А вот у меня нет столько наблюдений за 1 месяц
. Наверное, все дело в том, что у меня город с населением в 7-8 раз поменьше Вашего и травмы, которые составляют от 1%-2% от общего числа "физальных" переломов у детей, Вы видите значительно чаще.
Насчёт возраста - Вы правы, в литературе пишут, что перелом I плюсневой в возрасте до 5 лет встречается в 73% от всех плюсневых переломов, тогда как в возрасте старше 10 лет I плюсневая ломается только в 12% от всех переломов плюсневых костей.
Да, так и есть. Я когда вижу перед собой рентгенограмму стопы маленького ребенка с травмой, первым делом ищу перелом первой плюсневой. У старших детей первая плюсневая ломается значительно реже.
https://www.instagram.com/pediatricradiology/
Уважаемые коллеги! Мне кажется частота встречаемости данной патологии не зависит от того кто на какой гранитной плите живет))), а от профиля обслуживаемых подразделений, у нас общегородской детский травматологический амбулаторный прием (город 600 тыс), потому и не редкость, с возрастом и механизмом травмы вышеуказанными наша "статистика" совпадает. Диагноз эпифизеолиз-остеоэпифизеолиз очень востребован нашими травматологами, особенно в том случае если "нога-рука" плоха, а на снимке ничего нет конкретного, непосильным многолетним трудом отучили их подгонять описание снимка под клинику, теперь ставят этот диагноз "клинически" если на снимке норма. В данном конкретном случае мне кажется, что зона роста все же затронута, ну а "подробности" на тактику лечения в этом случае вряд ли повлияют...
Думал, это частный случай, а оказывается, глобальная проблема, по которой можно писать диссертацию :) И ветку надо было озаглавить по другому. Например: "(Остео)эпифизеолиз: миф или реальность?" :)
Спасибо, теперь буду искать тоже. Случай достаточно типичный: маленький ребенок плачет, ногу щадит, посмотреть себя толком не дает, родители травму, как правило, не видели. Чаще всего назначается именно рентгенографию стопы.
Если мы все-таки "признаем существование" переломов без смещения, то почему таковые не могут проходить по зоне роста?
По всей видимости, и этот случай, с некоторой натяжкой, может быть тематически отнесен к данной ветке.
Могут проходить и по зоне роста. Но мы не потому признаём существование, что смещения нет вообще, а потому, что понимаем - это смещение имеет место быть, но оно не определяемо на доступных нам в данный момент методах визуализации. И если есть отчётливая клиника - то более вероятен диагноз "перелом без смещения" (смещения не определяемого нами на снимках, но существующего), чем "очень сильный ушиб".
Разумеется, существует ненулевая вероятность того, что в представленном случае перелом проходит через зону роста. Но наиболее вреоятно, что этого нет, имеет место обычная зелёня ветка. Аргументы и доводы такой точки зрения изложены в предыдущих постах.
Постановка любого диагноза - это всегда компромисс между рациональностью и полётом мысли среди вселенной далёких, маловероятных, но всё же имеющих право на существование нозологий. И чем шире наши знания о возможных болезнях, тем бесконечнее вселенная возможных патологий. Чтобы не заблудиться в бесконечности, мы всегда притягиваемся к наиболее близкому к нам в силу своей наибольшей вероятности диагнозу.
Как красиво сказано!!! Когда я это прочел, то представил себе картину звездного неба, в котором в виде звезд сверкают всевозможные диагнозы, а к ним притягивается врач, летящий на космическом корабле!