Пол пациента:
Тип патологии:
Область исследования:
Методы исследования:
- https://radiomed.ru/sites/default/files/styles/case_slider_image/public/user/12/2.travmap7300094.jpg?itok=NovXIad7
- https://radiomed.ru/sites/default/files/styles/case_slider_image/public/user/12/3.travma.p7300095.jpg?itok=k9f_Uq30
- https://radiomed.ru/sites/default/files/styles/case_slider_image/public/user/12/4.travma.p7300097.jpg?itok=JhpAe7Us
ID:8629
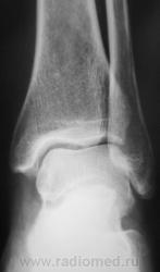
Перелом пяточной кости, перелом н\3 м\б кости, а что это за тень? остеоид-остеома?
[[wysiwyg_imageupload:329:]]
Гм.. а где аксиальный снимок пятки?
Хороший вопрос.
Дело в том, что дежурный хирург "заказал" голеностопный сустав, и лаборант (ургентный на праздниках) сделал, то, что заказано было.
Господа травматологи-рентгенологи,дайте тоже проявить себя!Не успеешь на сайт выйти, там уже Александр Викторович с готовым заключением.
А тенюшка интересная, но где склероз?На боковом тоже не нашла.
Вообще-то в б/берцовой кости стрелка на фоне довольно большого литического очага
"самоуверенность дилетантов - предмет зависти профессионалов"
Я бы на очаг посмотрел пошире.
Великое преймущество врача заключается в том, что он не обязан следовать собственным советам. ( А. Кристи)
[quote=Helios]
Я имела в виду, что ободка склероза не видно как при остеоид-остеоме.
Наверное потому, что это никак не может быть остеоид-остеомой
"самоуверенность дилетантов - предмет зависти профессионалов"
Валентин Львович, у Вас же уже есть линейная томограмка данного случая, не томите душу, выставите!
Нет, мы томографию не делали, это случай "по ургенту".
жаль, теперь мы не узнаем что же за литический очаг
Пациент был направлен в областную "онкологическую контору", но результата не знаю.
А если сделали бы линейную томографию, узнали бы что за литический очаг?
А я - нет
"самоуверенность дилетантов - предмет зависти профессионалов"
а что предположительно думаете Вы? Татьяна Валентиновна молчит...
Я молчу????????!!!!!!!!!!!!!
"самоуверенность дилетантов - предмет зависти профессионалов"
этот случай очень показателен к форуму http://www.radiomed.ru/forum/komu-i-zachem-nuzhen-vrach-rentgenolog и конкретно к комменту ola-la? я ведь тоже стал считать переломы..........
По всей видимости, "это" не может быть онкологией вообще...
Александ Викторович, Вы то как раз первый обратили внимание на этот очаг, а не только уперлись в перелом!
На мой взгляд, деструкция есть. Хотя контуры очага довольно четкие, рентгенологический дифференциальный ряд может быть неприлично большим, из серии "и все остальные заболевания костей". Я бы в первую очередь предположила кисту, но м.б. и опухоль. Линейная томография дополнительной информации не даст и их отдифференцировать не позволит: надо узнать что внутри очага - жидкость или ткань. Поэтому лучше всего, до того как поковырять трепаном, сделать МРТ и КТ.
Но как я понимаю, в даном случае получится третий вариант - динамическое наблюдение, когда пациент появится для контроля консолидации перелома...
"самоуверенность дилетантов - предмет зависти профессионалов"
Почему это?
"самоуверенность дилетантов - предмет зависти профессионалов"
Лучше "трепаном поковырять".
Интересно. А, что из онкологии может иметь такой "портрет"?
Спасибо Татьяна Валентиновна! я учюсь.Гипсовая иммобилизация при данном переломе около 2,5 мес. Будем ждать.
"Пользующий хирург" склоняется в сторону остеомиелита...
Кому лучше?!!!!
Если серьезно, это вполне может быть и опухоль, например: ГКО, плазмоцитома, хондрома, мтс, даже в начальных проявлениях Юинг или остеосаркома. Диф. ряд конечно поможет сузить клиника. Поэтому пациента стоит "взять на контроль", побеседовать и, когда снимут гипс, без экстрима сделать снимки
"самоуверенность дилетантов - предмет зависти профессионалов"
Дак, я совсем не против. Просто хотелось услышать мнения коллег. Сами говорите, что д/д ряд неприлично большой, вот я и за "трепан", за биопсию...
Наши-то, местные консультанты "разное ставят", и каждый считает, что прав, и безаппеляционно...
Что знают, то и ставят...
Кстати, может быть и остеомиелит. Какая клиника, возраст, были какие-либо симптомы до перелома? Просто, если киста или, к примеру гиперпаратиреоидная остеодистрофия, то можно без трепана обойтись. Хотя трепаном конечно проще...
"самоуверенность дилетантов - предмет зависти профессионалов"
А, клиники до перелома никакой...
Трепан более объективен.
В большинстве случаев - да, но я Вам привела 2 случая, когда без него можно обойтись, используя только неинвазивные методы исследования.
"самоуверенность дилетантов - предмет зависти профессионалов"
Спасибо за коменты. Большое спасибо.
Но неоднократно, именно "на Ваших демонстрациях" и демонстрациях Ola-la, трепан -биопсия, нередко "рушили" самые "типичные скиалогические картины"...
Поэтому я и предложила методы дообследования не основаные на скиалогической картине
"самоуверенность дилетантов - предмет зависти профессионалов"
Вот, только "боковуха" меня смущала. Не видел я четко "этого" на боковухе...
Вот он, здесь видны четкие контуры очага.
Пардон, что криво вышло (мне в paintе неудобно рисовать, у коллеги Lupan стрелочки лучше получились...)
"самоуверенность дилетантов - предмет зависти профессионалов"
А на Ваших обработаных снимках вообще отлично видно!
"самоуверенность дилетантов - предмет зависти профессионалов"
Спасибо.