туберкулома или шварта?

Пол пациента: 
Тип патологии: 
Область исследования: 
Методы исследования: 

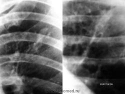
Мужчина пришел на дообследование после флюрографии (туберкулома слева). Жалоб нет. В 2003г. была правосторонняя пневмония.

Произведены снимки: обзорный и гиперлордоз.

За качество извиняюсь!  Что думаете коллеги?

 

 

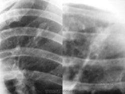
Обработанные снимки.

1.Vo_..jpg
1.Vo_..jpg
2.Vo_..jpg
2.Vo_..jpg

 

 

 

 

 

 

 

 

 

 

 

 

 

3.Vo_..jpg
3.Vo_..jpg
4.Vo_..jpg
4.Vo_..jpg
ВложениеРазмер
Иконка изображения 1.Vo_..jpg110.14 КБ
Иконка изображения 2.Vo_..jpg34.33 КБ
Иконка изображения 3.Vo_..jpg132.21 КБ
Иконка изображения 4.Vo_..jpg148.14 КБ
v1tal аватар
Не на сайте
Был на сайте: 4 года 9 месяцев назад
Зарегистрирован: 07.06.2008 - 19:41
Публикации: 1779

Для шварты ужь больно "круглит", может архив был? Если нет то линейные томограммы для начала, там сразу ясно станет.

"Знаешь, у некоторых врачей есть комплекс мессии — им необходимо спасать мир. А у тебя комплекс Рубика — тебе необходимо решать головоломки."

Катенёв Валентин Львович аватар
Не на сайте
Был на сайте: 7 лет 2 недели назад
Зарегистрирован: 22.03.2008 - 22:15
Публикации: 54876

На первый взгляд, в общем все "довольно спокойно". Участок фиброза от очага к корню (по всей видимолсти, бывшая, преимущественно "бронхиальная" дорожка). Да и "аффект" в легочной ткани создает впечатление плотного.

 

Катенёв Валентин Львович аватар
Не на сайте
Был на сайте: 7 лет 2 недели назад
Зарегистрирован: 22.03.2008 - 22:15
Публикации: 54876

Но при дальнейшем анализе - "структура " неоднородная.

Катенёв Валентин Львович аватар
Не на сайте
Был на сайте: 7 лет 2 недели назад
Зарегистрирован: 22.03.2008 - 22:15
Публикации: 54876

А если проанализировать эту "пару", то без линейной томографии не обойтись.

 

Наталия аватар
Не на сайте
Был на сайте: 8 лет 7 месяцев назад
Зарегистрирован: 30.07.2008 - 13:24
Публикации: 538

Инфильтративный туберкулёз?

serega аватар
Не на сайте
Был на сайте: 12 лет 4 месяцев назад
Зарегистрирован: 15.10.2009 - 18:10
Публикации: 99

Спасибо большое коллеги! Вообще я написал- участок фиброза и меня весь день терзали сомнения ( вначале был полностью уверен, потом в конце рабочего дня взглянул еще раз и ....???). Сегодня запишу на томограмму и Вас позже обязательно проинформирую.

Наталия аватар
Не на сайте
Был на сайте: 8 лет 7 месяцев назад
Зарегистрирован: 30.07.2008 - 13:24
Публикации: 538

А раньше состоял на учете у фтизиатра7