Организованная гематома?

Пол пациента: 
Тип патологии: 
Область исследования: 
Методы исследования: 

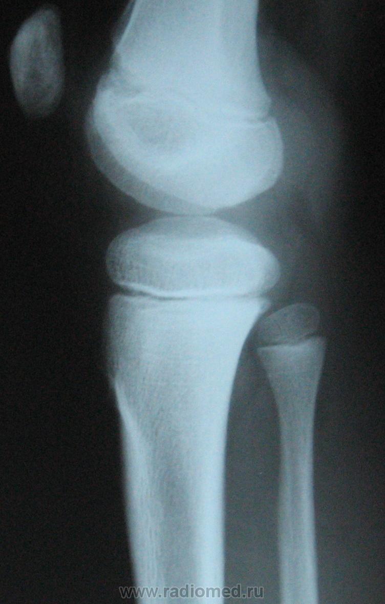
Мальчик 10 лет. Травма 1 год назал ( сомнительная).  4 мес. назад обнаружили плотное образование в обл. бугристости бб. кости. За это время увеличелось на 13. При пальпации очень плотное, без болезненное, не подвижное. Ваше мнение? Нужна ли активная хирургическая тактика?

Изображение Изображение Изображение

Обработанные снимки.

1.HR_..jpg
1.HR_..jpg
2.HR_.jpg
2.HR_.jpg
3.HR_..jpg
3.HR_..jpg

 

 

 

 

 

 

 

 

 

 

 

 

4.HR_.jpg
4.HR_.jpg
5.HR_.jpg
5.HR_.jpg
6.Hr_.jpg
6.Hr_.jpg

 

 

 

 

 

 

 

 

 

 

 

 

7.Hr_.jpg
7.Hr_.jpg
ВложениеРазмер
Иконка изображения 1.HR_..jpg200.72 КБ
Иконка изображения 2.HR_.jpg126.23 КБ
Иконка изображения 3.HR_..jpg61.28 КБ
Иконка изображения 4.HR_.jpg61.54 КБ
Иконка изображения 5.HR_.jpg89.32 КБ
Иконка изображения 6.Hr_.jpg63.43 КБ
Иконка изображения 7.Hr_.jpg51.33 КБ
Almo аватар
Не на сайте
Был на сайте: 4 часа 31 минут назад
Зарегистрирован: 28.09.2008 - 18:50
Публикации: 8251

С учётом клиники, можно предположить, что речь идёт болезни Осгуд-Шляттера, хотя привычной картины для этой болезни не видно на снимке. А, что за метод представлен на 3 слева снимке?

Ola-la аватар
Не на сайте
Был на сайте: 10 месяцев 5 дней назад
Зарегистрирован: 06.12.2008 - 09:33
Публикации: 1786

Я однажды наблюдала рост костно-хрящевого экзостоза из бугристости большеберцовой кости. Возможно, здесь тоже самое.

Vega аватар
Не на сайте
Был на сайте: 3 месяцев 1 неделя назад
Зарегистрирован: 22.01.2009 - 19:16
Публикации: 1087

А что за участок разрежения в метафизе бедра?

Катенёв Валентин Львович аватар
Не на сайте
Был на сайте: 7 лет 2 недели назад
Зарегистрирован: 22.03.2008 - 22:15
Публикации: 54876

Согласен с коллегой. Весьма "интересный" участок в области дистального метафиза бедренной кости.

mom12308 аватар
Не на сайте
Был на сайте: 15 лет 8 месяцев назад
Зарегистрирован: 07.02.2009 - 14:52
Публикации: 10

На 3 снимке УЗД бугристости. Гипоєхогенное образование с неровным но четким контуром с неоднородной по видимому солидной структурой. Который давит на кортикал ( получается воронка).

v1tal аватар
Не на сайте
Был на сайте: 4 года 9 месяцев назад
Зарегистрирован: 07.06.2008 - 19:41
Публикации: 1779

Если на на снимке не визуализируется,  но при этом образование как вы пишите плотное и имеет место быть атрофии кортикала от давления, можно предположить о хондроме.

 

А ведь "тенюху" то видно она на широком основании,  ещё возможно хрящевой экзостоз.

"Знаешь, у некоторых врачей есть комплекс мессии — им необходимо спасать мир. А у тебя комплекс Рубика — тебе необходимо решать головоломки."

Катенёв Валентин Львович аватар
Не на сайте
Был на сайте: 7 лет 2 недели назад
Зарегистрирован: 22.03.2008 - 22:15
Публикации: 54876

Возможно, на структурном снимке и будет видна тень. Хорошо видна нечеткость контура кортикального слоя по переднему контуру б/берцовой кости в области проксимального метафиза.

v1tal аватар
Не на сайте
Был на сайте: 4 года 9 месяцев назад
Зарегистрирован: 07.06.2008 - 19:41
Публикации: 1779

Ну а сейчас?

Изображение

"Знаешь, у некоторых врачей есть комплекс мессии — им необходимо спасать мир. А у тебя комплекс Рубика — тебе необходимо решать головоломки."

Катенёв Валентин Львович аватар
Не на сайте
Был на сайте: 7 лет 2 недели назад
Зарегистрирован: 22.03.2008 - 22:15
Публикации: 54876

А это что?

 

v1tal аватар
Не на сайте
Был на сайте: 4 года 9 месяцев назад
Зарегистрирован: 07.06.2008 - 19:41
Публикации: 1779

Скорее всего это особенность ростковой зоны, для подтверждения или опровержения, следует сделать смежный сустав.

"Знаешь, у некоторых врачей есть комплекс мессии — им необходимо спасать мир. А у тебя комплекс Рубика — тебе необходимо решать головоломки."

Катенёв Валентин Львович аватар
Не на сайте
Был на сайте: 7 лет 2 недели назад
Зарегистрирован: 22.03.2008 - 22:15
Публикации: 54876

Полность с Вами согласен. Но на мой взгляд необходимо также произвести качественные рентгенограммы и данного сустава в стандартных проекциях, а возможно и в косых проекциях. Возможно целесообразна и прицельная рентгенография с центрацией на "болевую точку" или на точку пальпируемого "что-то".

Петрович аватар
Не на сайте
Был на сайте: 7 лет 2 месяцев назад
Зарегистрирован: 22.03.2009 - 01:13
Публикации: 3908

А мне что-то не кажется это нормальным вариантом ростковой зоны, и надколенник здесь как бы отодвинут от бедра (в прямой проекции его вовсе не видно). А что думают об этом наши любимые детские рентгенологи?

Неоднозначно всё

Катенёв Валентин Львович аватар
Не на сайте
Был на сайте: 7 лет 2 недели назад
Зарегистрирован: 22.03.2008 - 22:15
Публикации: 54876

А ведь Петрович ПРАВ! Надколенник смещен кпереди и весьма неравномерно - верхние отделы надколенника смещены кпереди больше, по сравнению с нижними. По всей видимости, что-то "невидимое" отодвигает надколенник кпереди. А что у нас "невидимое" - может "бяка", состоящая из хрящевой ткани?

Ola-la аватар
Не на сайте
Был на сайте: 10 месяцев 5 дней назад
Зарегистрирован: 06.12.2008 - 09:33
Публикации: 1786

Мне кажется, с надколенником все нормально, на счет ростковой зоны....не знаю, сомнительно. Я бы рекомендовала снять вторую ногу, и потом уже думать.

Vega аватар
Не на сайте
Был на сайте: 3 месяцев 1 неделя назад
Зарегистрирован: 22.01.2009 - 19:16
Публикации: 1087

На мой взгляд - лучше взять биопсию. Душе будет спокойней.

Опять же, если биопсия ничего не покажет - операция все равно оправдана - можно остеоперфораций наделать, Осгуд-Шлаттера полечить.Улыбаюсь

tatyana аватар
Не на сайте
Был на сайте: 4 года 1 месяц назад
Зарегистрирован: 24.06.2009 - 08:33
Публикации: 2090

Vega wrote:

На мой взгляд - лучше взять биопсию. Душе будет спокойней.

Опять же, если биопсия ничего не покажет - операция все равно оправдана - можно остеоперфораций наделать, Осгуд-Шлаттера полечить.Улыбаюсь

Ага, и боли конечно пройдут...

А может сначала консервативно Осгуд-Шляттера полечить? Как-то и клиника и данные лучевых методов, учитывая юный возраст пациента, вполне укладываются в эту нозологию.

"самоуверенность дилетантов - предмет зависти профессионалов"

Vega аватар
Не на сайте
Был на сайте: 3 месяцев 1 неделя назад
Зарегистрирован: 22.01.2009 - 19:16
Публикации: 1087

А какое консервативное лечение Шлаттера? Покой, тепловые и физиопроцедуры. А если там все-таки новообразование? Физио на опухоль - за такое посадят не раздумывая. Кстати, про боли, которые должны быть при Шлаттере, автор случая ничего не указывал.

 

tatyana аватар
Не на сайте
Был на сайте: 4 года 1 месяц назад
Зарегистрирован: 24.06.2009 - 08:33
Публикации: 2090

Точно, была не права, образование безболезненное. Заболит, когда трепан или остеоперфораций сделают. При биопсии получим "хрящ", наши действия? И за что мы парня будем оперировать или лечить, если ему ничего не мешает жить? Может понаблюдаем, через 2-3 месяца рентген сделаем?

"самоуверенность дилетантов - предмет зависти профессионалов"

Vega аватар
Не на сайте
Был на сайте: 3 месяцев 1 неделя назад
Зарегистрирован: 22.01.2009 - 19:16
Публикации: 1087

Хрящ мы не получим, ибо его в области бугристости б/б кости в этом возрасте быть не должно. Многие опухоли до поры до времени жить пациентам не мешают, а когда начинают мешать - уже поздно становиться. По крайней мере, после биопсии мы точно про опухоль забудем.

Но, конечно, показаний к срочному оперативному лечению нет. Можно и понаблюдать. 

Кстати, интересные мнения высказаны коллегами на моём профильном форуме по этому случаю http://www.weborto.net/forum/1257686672/index_html

tatyana аватар
Не на сайте
Был на сайте: 4 года 1 месяц назад
Зарегистрирован: 24.06.2009 - 08:33
Публикации: 2090

Извините, коллега Veqa, я не детский рентгенолог, объясните мне мне, пожалуйста, какая ткань в этом возрасте может быть в области бугристости б/берцовой кости, поскольку точка окостенения пока не видна? насколько я помню, хрящевую стадию развития минуют акромиальный конец ключицы и кости свода черепа. А остеохондропатии откуда берутся? Если речь идет об опухоли, то о какой?

я согласна с коллегой Ola-La: доснять контрлатеральный сустав, еще, как вариант - МРТ, понаблюдать 2-3 месяца. Активная хирургическая тактика на мой взгляд сейчас не оправдана.

"самоуверенность дилетантов - предмет зависти профессионалов"

Vega аватар
Не на сайте
Был на сайте: 3 месяцев 1 неделя назад
Зарегистрирован: 22.01.2009 - 19:16
Публикации: 1087

Признаюсь, с хрящом вышла оплошностьУжасно стыдно.

Но опухоль все равно может быть. Какая? Хондрома, остеогенная саркома. Биопсия не является очень уж травматичным методом, зато снять все подозрения поможет на 100%. 

Катенёв Валентин Львович аватар
Не на сайте
Был на сайте: 7 лет 2 недели назад
Зарегистрирован: 22.03.2008 - 22:15
Публикации: 54876

Даже остеогенная саркома? Это с учетом представленных снимков?

Vega аватар
Не на сайте
Был на сайте: 3 месяцев 1 неделя назад
Зарегистрирован: 22.01.2009 - 19:16
Публикации: 1087

Даже она. А Вы возьмете на себя ответственность сказать на 100%, что остеосаркомы здесь нет?

tatyana аватар
Не на сайте
Был на сайте: 4 года 1 месяц назад
Зарегистрирован: 24.06.2009 - 08:33
Публикации: 2090

К сожалению, поверьте, но биопсия не является методом, который на 100% снимет все подозрения

"самоуверенность дилетантов - предмет зависти профессионалов"

Vega аватар
Не на сайте
Был на сайте: 3 месяцев 1 неделя назад
Зарегистрирован: 22.01.2009 - 19:16
Публикации: 1087

Конечно, абсолютно информативных методов нет. Но биопсия будет явно информативнее всех других методов обследования. К тому же - здесь не нужен травматичный хирургический доступ - прокол и все.

Катенёв Валентин Львович аватар
Не на сайте
Был на сайте: 7 лет 2 недели назад
Зарегистрирован: 22.03.2008 - 22:15
Публикации: 54876

Я возьму на себя ответственность произвести качественные снимки в стандартных проекциях, а возможно и в нестандартных. Автор случая, фактически не представил рентгенограммы в прямой проекции. Имеем только боковую и её-же фрагмент с увеличением.

Катенёв Валентин Львович аватар
Не на сайте
Был на сайте: 7 лет 2 недели назад
Зарегистрирован: 22.03.2008 - 22:15
Публикации: 54876

Вега:

"Кстати, интересные мнения высказаны коллегами на моём профильном форуме по этому случаю http://www.weborto.net/forum/1257686672/index_html"

 

Спасибо посмотрел. Но если по большому счету, комменты почти аналогичны.

tatyana аватар
Не на сайте
Был на сайте: 4 года 1 месяц назад
Зарегистрирован: 24.06.2009 - 08:33
Публикации: 2090

Vega wrote:

Даже она. А Вы возьмете на себя ответственность сказать на 100%, что остеосаркомы здесь нет?

Vega, такая постановка вопроса некорректна, т.к. проистекает из принципа исключения, а не из того, что имеет место быть. Вы у больного пневмонией возьмете на себя ответственность сказать на 100%, что у него нет рака легкого?  А по вашему отрицательный результат при тонкоигольной биопсии (информативность данного метода не превышает 30%, а Вы ведь именно ее предлагаете) позволит сказать на 100%. что остеосаркомы здесь нет?

В том то и дело, что результат любой биопсии имеет смысл только при положительном ответе, а что касается онкоостеологии, то диагноз обязательно ставится только на основании клинико-рентгено-морфологический признаков. Какие клинико-рентгенологические признаки остеосаркомы здесь видите Вы?

"самоуверенность дилетантов - предмет зависти профессионалов"

Катенёв Валентин Львович аватар
Не на сайте
Был на сайте: 7 лет 2 недели назад
Зарегистрирован: 22.03.2008 - 22:15
Публикации: 54876

Татьяна Валентиновна:

«В том то и дело, что результат любой биопсии имеет смысл только при положительном ответе, а что касается онкоостеологии, то диагноз обязательно ставится только на основании клинико-рентгено-морфологический признаков.»



Взял себе на «вооружение»

Петрович аватар
Не на сайте
Был на сайте: 7 лет 2 месяцев назад
Зарегистрирован: 22.03.2009 - 01:13
Публикации: 3908

  Не совсем понял.... Так мы сможем увидеть рентгенограмму контрлатерального сустава? Ещё хотелось бы увидеть прямую проекцию целиком. И, наконец, предел желаний, боковая проекция этого сустава, сделанная для мягких тканей: выдержку экспозиции надо уменьшить в 3-4 раза.

Неоднозначно всё

Vega аватар
Не на сайте
Был на сайте: 3 месяцев 1 неделя назад
Зарегистрирован: 22.01.2009 - 19:16
Публикации: 1087

tatyana wrote:

Vega, такая постановка вопроса некорректна, т.к. проистекает из принципа исключения, а не из того, что имеет место быть. Вы у больного пневмонией возьмете на себя ответственность сказать на 100%, что у него нет рака легкого?  А по вашему отрицательный результат при тонкоигольной биопсии (информативность данного метода не превышает 30%, а Вы ведь именно ее предлагаете) позволит сказать на 100%. что остеосаркомы здесь нет?

В том то и дело, что результат любой биопсии имеет смысл только при положительном ответе, а что касается онкоостеологии, то диагноз обязательно ставится только на основании клинико-рентгено-морфологический признаков. Какие клинико-рентгенологические признаки остеосаркомы здесь видите Вы?

 

Имеет место быть: рост образования костной плотности в в/3 большеберцовой кости с одной стороны у ребёнка 10 лет, без болевого синдрома, не очень укладывающиеся в клинику болезни Шлаттера. Имеют место быть не предполагающие однозначный ответ рентгенологические данные. 

С другой стороны, имеет место быть доступность малоивазивного метода диагностики как дополнение, причем весомое к возможности постановки диагноза. Хоть тонкоигольная биопсия и даёт определённый процент ошибок, что в этом случае мы потеряем? Ведь здесь очаг не в теле позвонка,  а непосредственно под кожей. Неужели лучше гадать по рентгенограммам, делать дополнительные методы, КТ, МРТ и т.д., имея при этом возможность хоть на 30%, но быть более уверенным в отсутствии опухоли? Конечно, несомненных рентгенологических признаков признаков злокачественного роста здесь нет. Но здесь http://radiomed.ru/cases/v-prodolzhieniie-tiemy тоже ничего не вызывало никаких сомнений. А девочке уже поставили протез Недоволен

Ola-la аватар
Не на сайте
Был на сайте: 10 месяцев 5 дней назад
Зарегистрирован: 06.12.2008 - 09:33
Публикации: 1786

Vega, расскажите про девочку, что, там совсем все плохо, после операции было ухудшение?

Vega аватар
Не на сайте
Был на сайте: 3 месяцев 1 неделя назад
Зарегистрирован: 22.01.2009 - 19:16
Публикации: 1087

Её консультировали в РОНЦ им. Блохина, поставили диагноз адамантиномы, рекомендовали контроль через 2 месяца и собирать средства на протез коленного сустава. (У нас в стране только в речах властей медицина бесплатнаяНедоволен). Мама девочки звонила мне из района в сентябре, когда они уже уезжали на операцию. Больше о судьбе её пока ничего не знаю...

tatyana аватар
Не на сайте
Был на сайте: 4 года 1 месяц назад
Зарегистрирован: 24.06.2009 - 08:33
Публикации: 2090

Vega wrote:

Имеет место быть: рост образования костной плотности в в/3 большеберцовой кости с одной стороны у ребёнка 10 лет, без болевого синдрома, не очень укладывающиеся в клинику болезни Шлаттера. Имеют место быть не предполагающие однозначный ответ рентгенологические данные. 

С другой стороны, имеет место быть доступность малоивазивного метода диагностики как дополнение, причем весомое к возможности постановки диагноза. Хоть тонкоигольная биопсия и даёт определённый процент ошибок, что в этом случае мы потеряем? Ведь здесь очаг не в теле позвонка, непосредственно под кожей. Неужели лучше гадать по рентгенограммам, делать дополнительные методы, КТ, МРТ и т.д., имея при этом возможность хоть на 30%, но быть более уверенным в отсутствии опухоли? Конечно, несомненных рентгенологических признаков признаков злокачественного роста здесь нет. Но здесь http://radiomed.ru/cases/v-prodolzhieniie-tiemy тоже ничего не вызывало никаких сомнений. А девочке уже поставили протез Недоволен

Коллега Vega, хотя образование "костной плотности" не видно на снимке, а определяется пальпаторно, по УЗИ - хрящевая плотность, а мы с Вами вроде как пришли к консенсусу, что хрящ имеет право быть в этой зоне, и остеосаркома без болевого синдрома - большая редкость, я сдаюсь. Хотите - делайте биопсию, если хоть на 30% будете уверены в отсутствии опухоли (хотя я не понимаю, что делать с 70%). Приведенный Вами очень интересный случай я посмотрела, на мой взгляд, он подтверждает то, о чем я писала выше: в онкоостеологии гистологам тоже бывает очень трудно и биопсия должна быть адекватна, а диагноз, определяющий соответственно и лечение, должен ставиться на основании комплекса клинико-рентгеноморфологических критериев.

Что касается адамантиномы, то это редкая о очень интересная опухоль, интересна тем, что она имеет эпителиальный компонент (как рак), тогда как в кости развиваются мезенхимальные опухоли (саркомы). По критериям доброкачественная/злокачественная относится к промежуточным, кстати как и гигантоклеточная опухоль, т.к. обе опухоли могут иметь (а могут не иметь) веретеноклеточный компонент (как у остеосаркомы), именно им определяются критерии злокачественности. Если хотите, посмотреть подробнее: http://www.ipath.ru/downloads/arkhiv%20patologii_1_06.pdf (хотя и не прилично ссылаться на себя). Ola-la, Вам наверное тоже будет интересно.

"самоуверенность дилетантов - предмет зависти профессионалов"

Vega аватар
Не на сайте
Был на сайте: 3 месяцев 1 неделя назад
Зарегистрирован: 22.01.2009 - 19:16
Публикации: 1087

Спасибо за статью.

mom12308 аватар
Не на сайте
Был на сайте: 15 лет 8 месяцев назад
Зарегистрирован: 07.02.2009 - 14:52
Публикации: 10

Прооперировали. Заключение гистологии - ХОНДРОМА.

Катенёв Валентин Львович аватар
Не на сайте
Был на сайте: 7 лет 2 недели назад
Зарегистрирован: 22.03.2008 - 22:15
Публикации: 54876

Огромное спасибо Вам коллега за представленный результат. Случай можно считать законченным.

tatyana аватар
Не на сайте
Был на сайте: 4 года 1 месяц назад
Зарегистрирован: 24.06.2009 - 08:33
Публикации: 2090

mom12308 wrote:

Прооперировали. Заключение гистологии - ХОНДРОМА.

Коллега, а не могли бы Вы полностью процитировать протокол (описание) морфологогического исследования, а не только заключение? Предполагаю, что обнаружены хондроциты и митозы. А еще что-то есть?

"самоуверенность дилетантов - предмет зависти профессионалов"

Петрович аватар
Не на сайте
Был на сайте: 7 лет 2 месяцев назад
Зарегистрирован: 22.03.2009 - 01:13
Публикации: 3908

ПРИСОЕДИНЯЮСЬ! Хотелось бы уточниь локализацию ХОНДРОМЫ.

Неоднозначно всё