Катенёв В.Л.
Случай из практики «Туберкулёз левого плечевого сустава».
(Рентгенологическое отделение МУЗ «Красногвардейская центральная районная больница» Белгородской области).
Пациент 41 год.
Направлен на рентгенологическое исследование – рентгенографию левого плечевого сустава по поводу болей в плечевом суставе и левом плече.
Рентгенологическое исследование проведено на рентгенодиагностическом аппарате на 3 рабочих места «Вироматик» методами рентгенографии и томографии с оцифровкой изображения при помощи системы компьютерной радиографии Point-of-Care СR 120.

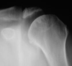
Иллюстрация 1 и 2. Рентгенограмма и фрагмент рентгенограммы с увеличением. В области головки плечевой кости определяются нерезко очерченные участки намечающегося остеопороза. Визуализируется нечеткость контура головки плечевой кости по латеральному контуру, в области большого бугорка. Определяется перестройка структуры костной ткани в области дистального отдела акромиального отростка лопатки. По верхнему краю определяется неровность и нечеткость контура. Решено произвести томографическое исследование.
СРЕЗ 1.
Иллюстрации 3 и 4. Определяется выраженная перестройка структуры костной ткани в области акромиального отростка, с выраженной неровностью нижнего контура и его склерозированием. В области верхне-медиальных отделов головки плечевой кости субхондрально определяется участок склероза неправильной формы в виде «языков». В верхнем наружном квадранте головки плечевой кости определяются причудливой формы участки остеопороза, местами определяются мелкие, округлой формы очаги остеопороза. Имеет место некоторая нечеткость контура в области большого бугорка.
Иллюстрации 5 и 7. Участки плечевой кости (с увеличением) – участки остеопороза без пояска остеосклероза.
Иллюстрации 6 и 8. Структура акромиального отростка лопатки. Структура неоднородная. Четко определяются два участка остеопороза (деструкция), в медиальных отделах – неоднородный остеосклероз. Нижний контур акромиального отростка неровный, склерозированный. Верхний контур, особенно в верхне-медиальном отделе неровный. Определяется выраженное сужение щели в ключично-акромиальном сочленении.
СРЕЗ 2.
Иллюстрации 9 и 10. В сегменте большого бугорка плечевой кости определяется неправильной формы участок остеопороза. Создается впечатление наличия на фоне остепороза мелкого секвестра (по типу «тающего сахара»).
С учетом теневой картины был предположительно выставлен диагноз «Туберкулёз левого плечевого сустава?». Пациент направлен в туб. больницу, произведена пункция, диагноз верифицирован, в настоящее время получает лечение.