У пациента снят ГИПС...

Пол пациента: 
Тип патологии: 
Область исследования: 
Методы исследования: 

У пациента снят ГИПС...

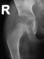
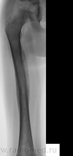
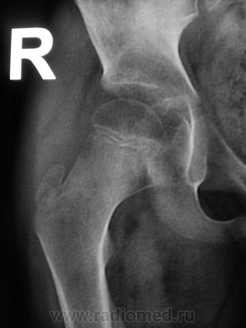
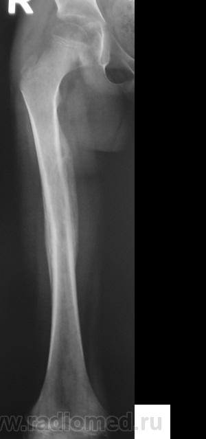
Пациент направлен на конрольное рентгенологическое исследование средней трети бедренной кости с целью оценки консолидации. Ранее - первичный снимок пациент был направлен на рентгенографию средней трети бедра, что и было сделано. Но, при производстве "контроля" рентгенолаборанты захватили тазобедренный сустав в прямой проекции, и возникли неясные сомнения по поводу головки, да и вообще...

Ваше мнение уважаемые коллеги?

  • https://radiomed.ru/sites/default/files/styles/case_slider_image/public/user/12/2..S-t.jpg?itok=HYToRRhw
  • https://radiomed.ru/sites/default/files/styles/case_slider_image/public/user/12/3..S-t.JPG?itok=BSneicJP
  • https://radiomed.ru/sites/default/files/styles/case_slider_image/public/user/12/4..S-t.jpg?itok=Az6pZ2E3
  • https://radiomed.ru/sites/default/files/styles/case_slider_image/public/user/12/5..S-t.JPG?itok=fW7Z6hh9
  • https://radiomed.ru/sites/default/files/styles/case_slider_image/public/user/12/6..S-t.jpg?itok=nGv54_OH
  • https://radiomed.ru/sites/default/files/styles/case_slider_image/public/user/12/7..S-t.JPG?itok=4oBqCDUz
  • https://radiomed.ru/sites/default/files/styles/case_slider_image/public/user/12/8..S-t.jpg?itok=8I12DSiI
  • https://radiomed.ru/sites/default/files/styles/case_slider_image/public/user/12/9..S-t.JPG?itok=7uSUf9cg
  • https://radiomed.ru/sites/default/files/styles/case_slider_image/public/user/12/10..S-t.jpg?itok=G1admSrm
ID:2013
Петрович аватар
Не на сайте
Был на сайте: 7 лет 3 месяцев назад
Зарегистрирован: 22.03.2009 - 01:13
Публикации: 3908

Какой-то «змей 2х-головый» и впадина не слава богу. Надо или детских рентгенологов ждать или вторую проекцию делать.

Неоднозначно всё

Ola-la аватар
Не на сайте
Был на сайте: 10 месяцев 2 недели назад
Зарегистрирован: 06.12.2008 - 09:33
Публикации: 1786

Отлично все срослось. А что не нравится в головке? Остеопороз? Может быть после длительной иммобилизации.

Катенёв Валентин Львович аватар
Не на сайте
Был на сайте: 7 лет 4 недели назад
Зарегистрирован: 22.03.2008 - 22:15
Публикации: 54876

Сама головка не нравится, особенно её нижне-медиальный отдел.

Nela аватар
Не на сайте
Был на сайте: 6 лет 1 месяц назад
Зарегистрирован: 12.05.2009 - 20:43
Публикации: 1847

Согласна, что-то и меня в глазах головка бедра двоиться.

Катенёв Валентин Львович аватар
Не на сайте
Был на сайте: 7 лет 4 недели назад
Зарегистрирован: 22.03.2008 - 22:15
Публикации: 54876

Наверно, придется оттомографировать "линейкой", не укладывается как-то в норму.

Ola-la аватар
Не на сайте
Был на сайте: 10 месяцев 2 недели назад
Зарегистрирован: 06.12.2008 - 09:33
Публикации: 1786

Пожалейте ребенка, не надо томографировать. Все укладывается в норму. Просто головка еще маленькая, а медиально - это шеечная шпора. Уж если не верите, снимите оба сустава одновременно.

 

 

Приложения: 
a.JPG
Катенёв Валентин Львович аватар
Не на сайте
Был на сайте: 7 лет 4 недели назад
Зарегистрирован: 22.03.2008 - 22:15
Публикации: 54876

Спасибо Ольга.

 

Анатолий Владимирович Шумаков аватар
Не на сайте
Был на сайте: 7 лет 10 месяцев назад
Зарегистрирован: 16.10.2009 - 21:16
Публикации: 1941

Вероятно остеопороз головки от функционального щажения, разрушений не видно, капсула (мягкие ткани) параартикулярно - в норме...

Петрович аватар
Не на сайте
Был на сайте: 7 лет 3 месяцев назад
Зарегистрирован: 22.03.2009 - 01:13
Публикации: 3908

А в нижней половине вертлужной впадины всё ОК?

Неоднозначно всё

Катенёв Валентин Львович аватар
Не на сайте
Был на сайте: 7 лет 4 недели назад
Зарегистрирован: 22.03.2008 - 22:15
Публикации: 54876

На томографию настроился, значит проведу. Изображения выставлю.

Ola-la аватар
Не на сайте
Был на сайте: 10 месяцев 2 недели назад
Зарегистрирован: 06.12.2008 - 09:33
Публикации: 1786

Ну конечно, ребенок то не Ваш, что не облучить то.

Петрович аватар
Не на сайте
Был на сайте: 7 лет 3 месяцев назад
Зарегистрирован: 22.03.2009 - 01:13
Публикации: 3908

Наука, как и красота, требует жертв.

А я жду ответа.

Неоднозначно всё

Катенёв Валентин Львович аватар
Не на сайте
Был на сайте: 7 лет 4 недели назад
Зарегистрирован: 22.03.2008 - 22:15
Публикации: 54876

Ola-la wrote:

Ну конечно, ребенок то не Ваш, что не облучить то.

Ольга!

Вы предлагали для сравнения оба сустава, соответственно - на одной пленке, следовательно, по гонадам и по прочему "шарахнет - мама - не горюй". Томограммы мы делаем очень качественные и ограничиваем пучок максимально, а соответственно информацию получим определенную и отличную от рентгенограммы. Наверно, тот, кто ставит подпись, несет определенную ответственность. Конечно, Вы правы, "ребенок - не наш", он прежде всего пациент, того клинициста, который в свое время "посмотрел" и "лоханулся", направив "на рентгенографию средней трети", а сейчас тоже вдруг озадачился.

По поводу "что не облучить то-" - просто промолчу... - картина не однозначная, значит сделаем снимки, чтобы потом не "разводить руками".

Петрович аватар
Не на сайте
Был на сайте: 7 лет 3 месяцев назад
Зарегистрирован: 22.03.2009 - 01:13
Публикации: 3908

  Мне кажется, понятие "шеечная шпора" относится к тому возрастному периоду, когда головка бедра ещё толком не видна.

Неоднозначно всё

Катенёв Валентин Львович аватар
Не на сайте
Был на сайте: 7 лет 4 недели назад
Зарегистрирован: 22.03.2008 - 22:15
Публикации: 54876

Как следует из комментов коллег, мнение по поводу "головки" и вертлужной впадины неоднозначное. Пациент - ребенок, рисковать не стоит, значит надо поставить точку над "и", а следовательно, дообследовать, чтобы сомнения ушли, или исчезли.

Ola-la аватар
Не на сайте
Был на сайте: 10 месяцев 2 недели назад
Зарегистрирован: 06.12.2008 - 09:33
Публикации: 1786

Я предлагала вообще оставить ребенка в покое (рентгенограмма - это уже на крайний случай). И никто не лоханулся. Проконсультируйте снимки у детских рентгенологов или детских травматологов.

В.Б. Серов аватар
Не на сайте
Был на сайте: 2 недели 3 дня назад
Зарегистрирован: 16.07.2008 - 10:15
Публикации: 1361

Считаю дообследование излишним.

Зри в корень!

Катенёв Валентин Львович аватар
Не на сайте
Был на сайте: 7 лет 4 недели назад
Зарегистрирован: 22.03.2008 - 22:15
Публикации: 54876

Ola-la wrote:

Я предлагала вообще оставить ребенка в покое (рентгенограмма - это уже на крайний случай). И никто не лоханулся. Проконсультируйте снимки у детских рентгенологов или детских травматологов.

Эх, если-бы мы имели такой "десерт" - детских рентгенологов, да детских травматологов. По "одному", мы - общие рентгенологи - "на район". кое - где нет вообще. Разве, что поехать со снимком в областной центр, к коллегам? На консультацию? Так, посоветуют доделать.

Плохо ножечка в тазобедренном ходит, вот и боковая укладка, выполнена на "раскоряку" лаборантами не просто так, не отводит ноженьку пациент.

Ola-la аватар
Не на сайте
Был на сайте: 10 месяцев 2 недели назад
Зарегистрирован: 06.12.2008 - 09:33
Публикации: 1786

Конечно не отводит, потому что контрактура сформировалась за время иммобилизации. У нас все дети после таких переломов госпитализируются на разработку.

Андрей Юрьевич аватар
Не на сайте
Был на сайте: 2 недели 1 день назад
Зарегистрирован: 16.11.2008 - 22:16
Публикации: 18098

Ola-la wrote:

Ну конечно, ребенок то не Ваш, что не облучить то.

После доз, получаемых при КТ, дозы при обычной рентгенографии кажутся статистической погрешностью.

П.С. С мнением Ola-la о сути патологического процесса абсолютно согласен.

Андрей Юрьевич

Ola-la аватар
Не на сайте
Был на сайте: 10 месяцев 2 недели назад
Зарегистрирован: 06.12.2008 - 09:33
Публикации: 1786

Вот еще такой возраст.

 

Приложения: 
Photo-0001.jpg
konstant_in аватар
Не на сайте
Был на сайте: 6 лет 9 месяцев назад
Зарегистрирован: 17.02.2010 - 12:01
Публикации: 74

Согласен с теми коллегами которым, в нижнем квадранте вертлужной впадины видится фрагмент головки бедренной кости.В принципе тоже против "линейки", но "змея " добить надо.Почему бы не выполнить ультрасонографию сустава?

Черного кобеля не отмоешь добела?!

Катенёв Валентин Львович аватар
Не на сайте
Был на сайте: 7 лет 4 недели назад
Зарегистрирован: 22.03.2008 - 22:15
Публикации: 54876

Ola-la wrote:

Вот еще такой возраст.

 

Еще раз спасибо ОЛЬГА!

 

А.В. ШУМАКОВ -

"Хорошо, когда, как в книжке и понятно - как в кино..."

 

Петрович аватар
Не на сайте
Был на сайте: 7 лет 3 месяцев назад
Зарегистрирован: 22.03.2009 - 01:13
Публикации: 3908

И всё-таки не совсем то. На рентгенограмме представленном Ola-la всё кристально чётко и понятно. Даже тормозным взрослым рентгенологам. А вот на картинке Главного рентгенолога туманно… не до конца ясно, что в нижнем отд. впадины. Кстати у Валентина Львовича сегодня день рождения, как и у меня. Я позравляю!

Неоднозначно всё

Катенёв Валентин Львович аватар
Не на сайте
Был на сайте: 7 лет 4 недели назад
Зарегистрирован: 22.03.2008 - 22:15
Публикации: 54876

Я поздравляю, Вас Петрович, с днем рождения от всей души - здоровья Вам и хорошей погоды в Вашем доме.

 

Я, по знаку Зодиака - "скорпион", а следовательно, до дня Рождения еще 7 месяцев. Но за поздравление - спасибо.

 

brainmodel аватар
Не на сайте
Был на сайте: 2 месяцев 3 недели назад
Зарегистрирован: 18.03.2010 - 22:04
Публикации: 2881

Интересная дискуссия. Жаль с опозданием увидел (однако же, много времени уходит, пока всё на сайте просмотришь). На мой взгляд, патологии головки нет, без фрагментации, проекционно пересекается с тенью обызвествляемого Y-хряща. Под головкой медиально, несомненно, есть остеопороз, придающий нечеткость картине. Впрочем, регионарный остеопороз имеет место вследствие закономерной атрофии после иммобилизации. Сюда же наслаивается субстрат т.н. фигуры серпа, еще не оформленный. Впадина нормальная. Кость срослась - замечательно, всем бы такие результаты. Реабилитация обязательна.

Verum plus uno esse non potest.

Ola-la аватар
Не на сайте
Был на сайте: 10 месяцев 2 недели назад
Зарегистрирован: 06.12.2008 - 09:33
Публикации: 1786

Валентин Львович, чем дело то закончилось?

Катенёв Валентин Львович аватар
Не на сайте
Был на сайте: 7 лет 4 недели назад
Зарегистрирован: 22.03.2008 - 22:15
Публикации: 54876

Ждем-с. Пациента обязательно в рентген-кабинет лечащий хирург направит, ибо, в протоколе исследования соответствующее "требование" написано. Как только явится, в тот - же день снимки будут выложены.

Ola-la аватар
Не на сайте
Был на сайте: 10 месяцев 2 недели назад
Зарегистрирован: 06.12.2008 - 09:33
Публикации: 1786

Валентин Львович, что, пациента так и не было?

Я вот тут еще хочу один суставчик показать, такой же возраст, и такая же головка.

 

 

Приложения: 
Sustav.jpg
Катенёв Валентин Львович аватар
Не на сайте
Был на сайте: 7 лет 4 недели назад
Зарегистрирован: 22.03.2008 - 22:15
Публикации: 54876

Здравствуйте Ольга!

Конечно, от меня "можно ожидать чего угодно", но если я сказал, что при явке пациента в рентгеновский кабинет, снимки будут выставлены, то так и будет, пока не прислали пациента.</p><p>Спасибо за выставленный "суставчик", но мне, вот кажется, что "то", да не совсем "то".

Ola-la аватар
Не на сайте
Был на сайте: 10 месяцев 2 недели назад
Зарегистрирован: 06.12.2008 - 09:33
Публикации: 1786

Катенёв Валентин Львович wrote:

но мне, вот кажется, что "то", да не совсем "то".

А в чем не то то? Очень похожи.

 

Приложения: 
Sustavy.JPG
Петрович аватар
Не на сайте
Был на сайте: 7 лет 3 месяцев назад
Зарегистрирован: 22.03.2009 - 01:13
Публикации: 3908

  Из-за выраженного остеопороза бедра и тазовых костей, некоторые контуры теряются… да ещё кисты в шейке и головке мерещатся. Томограмма сама просится. Вот разве что Ola-la на обмен согласна.

Неоднозначно всё