У пациентки снят ГИПС.

Пол пациента: 
Тип патологии: 
Область исследования: 
Методы исследования: 

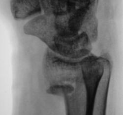
У пациентки снят ГИПС. Пациентка направлена на рентгенографию лучезапястного сустава с целью рентгенологического подтверждения консолидации.


Kon.1..JPG
Kon.1..JPG
Kon.2..JPG
Kon.2..JPG
Kon.3..JPG
Kon.3..JPG

 

 

 

 

 

 

 

 

 


Kon.4..JPG
Kon.4..JPG
Kon.5..jpg
Kon.5..jpg

 

 

 

 

 

 

 

 

 

Ваше мнение коллеги?

ВложениеРазмер
Иконка изображения Kon.1..JPG56.03 КБ
Иконка изображения Kon.2..JPG90.99 КБ
Иконка изображения Kon.3..JPG47.9 КБ
Иконка изображения Kon.4..JPG62.47 КБ
Иконка изображения Kon.5..jpg56.61 КБ
Катенёв Валентин Львович аватар
Не на сайте
Был на сайте: 7 лет 5 месяцев назад
Зарегистрирован: 22.03.2008 - 22:15
Публикации: 54876


Это предложение только к админу. Администратор сайта - Магонов Евгений Петрович.

Раздел -

Связь с администрацией

В.Б. Серов аватар
Не на сайте
Был на сайте: 3 недели 3 дня назад
Зарегистрирован: 16.07.2008 - 10:15
Публикации: 1376

На мой взгляд amosmn64 явно прикидывается шлангом, нарушая тему топика и размещая рекламные ссылки. Администратор определенно должен взять его на заметку.

Зри в корень!

Анатолий Владимирович Шумаков аватар
Не на сайте
Был на сайте: 8 лет 3 месяцев назад
Зарегистрирован: 16.10.2009 - 21:16
Публикации: 1941

Настораживает повышенная плотность отдельно лежащего фрагмента по передней поверхности метафиза луча на фоне  легкой общей минералопении, признаков формирования костной мозоли не видно - есть основания зподозрить нарушение его трофики с последующим формированием секвестра.

Наталия аватар
Не на сайте
Был на сайте: 9 лет 2 недели назад
Зарегистрирован: 30.07.2008 - 13:24
Публикации: 538

Консолидации нет.