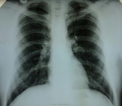
Создается впечатление связи тени с костными структурами, поперечным отростком Th4, например. Хотя, исключать легочную природу (например, туберкулому) тоже нельзя. Думаю, задненаклонный снимок мог бы прояснить ситуацию.
Пациенту 21 год, проходил ежегодную диспансеризацию, в ходе которой выявлена следующая картина в легких.Сделали ЛТ, обследовали и в Обл.туб на КЭК с диагнозом :туберкулома верхней доли левого легкого.На 3-4 месяца он выпал из поля зрения, на днях появился-счастливый и довольный.Его долго обследовали в вышестоящих ЛУ, подозревали даже рак верхнедолевого бронха( говорит, что чуть не поседел), а оказалась туберкулома ( все как положеноКТ,-гистология).Лично смотрела выписки одного из Московских ЛУ.Доволен был нашим отделением, так как много раз проходил ФОГК во время обучения в одном из учебных учреждений где-то в Центральных районах страны,причем буквально за пару-тройку месяцев до прибытия в нашу область.Теперь мы для него как полубоги.
Kat, Ваш рейтинг поднялся еще на одну ступень выше!Про остеому( так и быть!) забуду!
Уважаемый доктор Nicolas,Вы седьмой.Мне показалось, что большинство завсегдатаев сайта проигнорировало случай по каким-то непонятным мне причинам, да и самые активные уже поистомились, не стала дожидаться и призналась.Вот.
умирать". Рассуждаю. Случай в обыденной практике не представлял бы для большинства участников трудностей. Но появилось на сайте словечко "подвох" и кое-кто....... Надеюсь, что ни у кого нет даже мысли поставить коллег в неприятное положение.Это мое личное мнение, так как я сам испытываю иногда эти чувства. Спасибо Вам доктор Helios за искренность. С уважением Nik
Спасибо.Мне показалось, что случай достаточно простой, подвоха не подразумевалось, даже наоборот-сообщила, что случай уже выставлялся на сайте.Изначально считаю, что наши доктора умны, начитаны, самобытны и т.д-могу петь дифирамбы до бесконечности.
Два выстрела - и оба в "молоко"... Она синим(?), а я навоображала зеленым, объединив тень туберкуломы и поперечных отростков. Одно слабое утешение - взяла бы пофлейшнерить или на линейную ТГ, разобралась бы... Надеюсь)).
Даешь побольше туберкулом! ...в смысле выкладывайте больше случаев с туберкуломами.
Первая мысль - невринома, вторая - зоб. Третья не пришла))
https://www.youtube.com/channel/UCBGxoBUOqUT_bFhSeUgtWEw
Создается впечатление связи тени с костными структурами, поперечным отростком Th4, например. Хотя, исключать легочную природу (например, туберкулому) тоже нельзя. Думаю, задненаклонный снимок мог бы прояснить ситуацию.
Делай, что должно, и будь, что будет.
------Первая мысль - невринома, вторая - зоб. ------
Зоб - сильно сомнительно, невринома- на рентгенограмме образование неоднородное - отшнуровалось? Без ТМГ убедительно высказаться не могу.
очаговая тень в S1 слева до 2.0 см, учитывая кальцинаты в корнях и в\легочных полях и здесь же фиброз, отнесем-ка ее к твс
Временно отсутствую на сайте...
Какие-нибудь версии еще будут, интересно?
остеома заднего отрезка 4 ребра
Временно отсутствую на сайте...
дополнительное ребро
Отличные версии!Кто еще?Мне не терпится назвать имя победителя!
а свою версию дадите? вдруг Вы победитель))
Временно отсутствую на сайте...
Пока не знаю..Версия есть.Даже верификация.
Заинтриговали... Так что же это?
https://www.youtube.com/channel/UCBGxoBUOqUT_bFhSeUgtWEw
Честно говоря, думала, что число угадавших будет больше.
Интригуете-интригуете))))))))
https://www.youtube.com/channel/UCBGxoBUOqUT_bFhSeUgtWEw
ну не томите,вряд ли еще кто подтянется)) или подождем до полуночи?))
Временно отсутствую на сайте...
тератома?
Анна
Пациенту 21 год, проходил ежегодную диспансеризацию, в ходе которой выявлена следующая картина в легких.Сделали ЛТ, обследовали и в Обл.туб на КЭК с диагнозом :туберкулома верхней доли левого легкого.На 3-4 месяца он выпал из поля зрения, на днях появился-счастливый и довольный.Его долго обследовали в вышестоящих ЛУ, подозревали даже рак верхнедолевого бронха( говорит, что чуть не поседел), а оказалась туберкулома ( все как положеноКТ,-гистология).Лично смотрела выписки одного из Московских ЛУ.Доволен был нашим отделением, так как много раз проходил ФОГК во время обучения в одном из учебных учреждений где-то в Центральных районах страны,причем буквально за пару-тройку месяцев до прибытия в нашу область.Теперь мы для него как полубоги.
Kat, Ваш рейтинг поднялся еще на одну ступень выше!Про остеому( так и быть!) забуду!
10 первых участников.Народ безмолвствует. Я только пятый. "Туберкулезные очаги". С уважением Nik
Уважаемый доктор Nicolas,Вы седьмой.Мне показалось, что большинство завсегдатаев сайта проигнорировало случай по каким-то непонятным мне причинам, да и самые активные уже поистомились, не стала дожидаться и призналась.Вот.
умирать". Рассуждаю. Случай в обыденной практике не представлял бы для большинства участников трудностей. Но появилось на сайте словечко "подвох" и кое-кто....... Надеюсь, что ни у кого нет даже мысли поставить коллег в неприятное положение.Это мое личное мнение, так как я сам испытываю иногда эти чувства. Спасибо Вам доктор Helios за искренность. С уважением Nik
Спасибо.Мне показалось, что случай достаточно простой, подвоха не подразумевалось, даже наоборот-сообщила, что случай уже выставлялся на сайте.Изначально считаю, что наши доктора умны, начитаны, самобытны и т.д-могу петь дифирамбы до бесконечности.
Два выстрела - и оба в "молоко"... Она синим(?), а я навоображала зеленым, объединив тень туберкуломы и поперечных отростков. Одно слабое утешение - взяла бы пофлейшнерить или на линейную ТГ, разобралась бы... Надеюсь)).
Даешь побольше туберкулом! ...в смысле выкладывайте больше случаев с туберкуломами.
https://www.youtube.com/channel/UCBGxoBUOqUT_bFhSeUgtWEw