ФКТЛ

Пол пациента: 
Тип патологии: 
Методы исследования: 

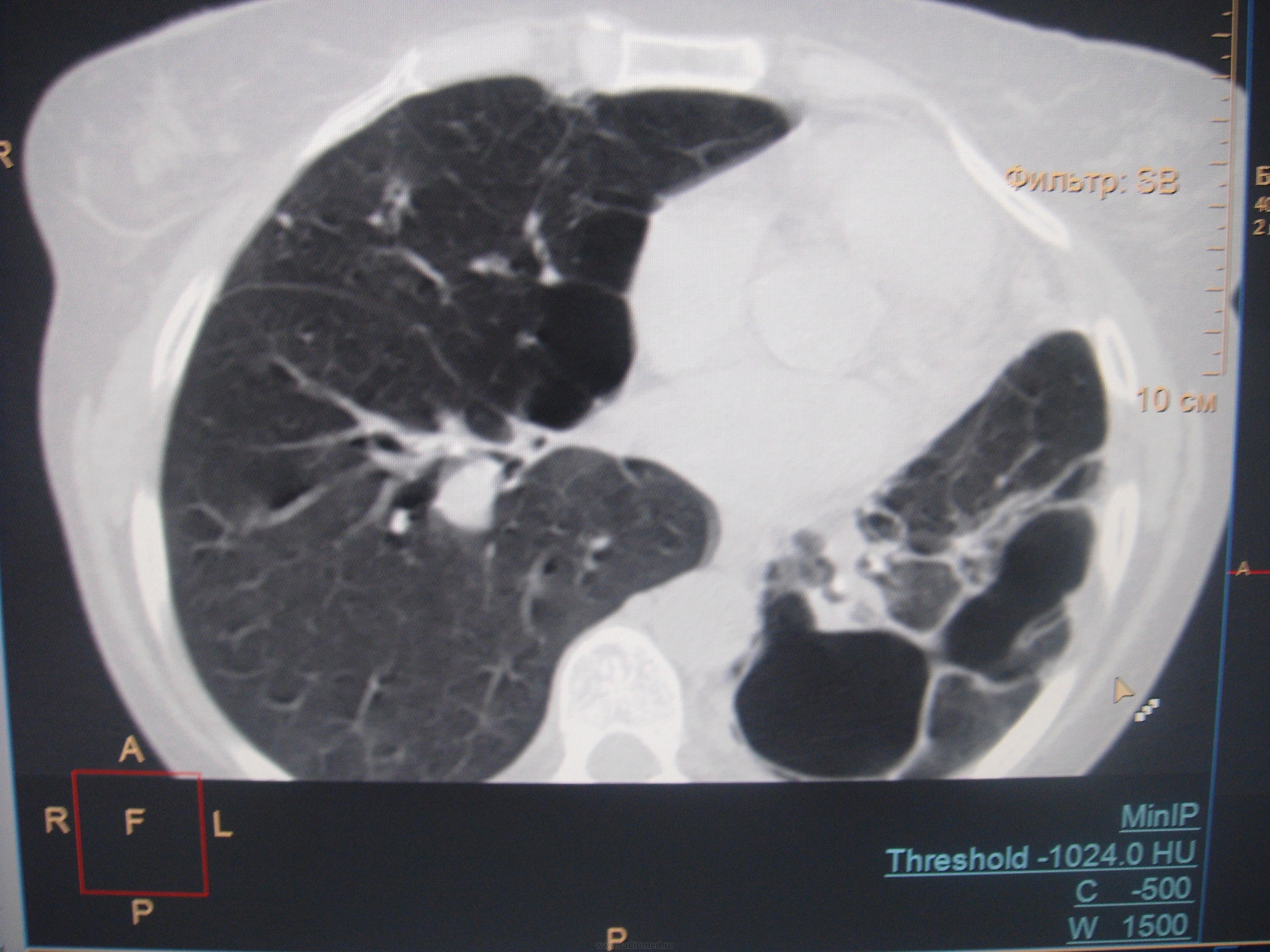
Больная с 03 года выявлена с диагнозом ФКТЛ. Ведет асоциальный о  браз жизни, лечится по настроению. На снимках- одни страсти и таких живучих больных- хроников уже мало. Абацилирована с 06года, если бы высевала, ведя такой образ жизни, давно бы сгинула. 

          

Впечатляет...

  • https://radiomed.ru/sites/default/files/styles/case_slider_image/public/user/16789/dsc02968_0.jpg?itok=Juf6XEC9
  • https://radiomed.ru/sites/default/files/styles/case_slider_image/public/user/16789/dsc02970.jpg?itok=5u_mp1pa
  • https://radiomed.ru/sites/default/files/styles/case_slider_image/public/user/16789/dsc02971.jpg?itok=A2p_rU2G
  • https://radiomed.ru/sites/default/files/styles/case_slider_image/public/user/16789/dsc02973.jpg?itok=iNSm5K4z
  • https://radiomed.ru/sites/default/files/styles/case_slider_image/public/user/16789/dsc02975.jpg?itok=VUFypmTC
  • https://radiomed.ru/sites/default/files/styles/case_slider_image/public/user/16789/dsc02976.jpg?itok=8XNUyoua
  • https://radiomed.ru/sites/default/files/styles/case_slider_image/public/user/16789/dsc02985.jpg?itok=zB9jU18R
  • https://radiomed.ru/sites/default/files/styles/case_slider_image/public/user/2841/dsc02986.jpg?itok=wesZRNOp
  • https://radiomed.ru/sites/default/files/styles/case_slider_image/public/user/2841/dsc02987.jpg?itok=QLCQdL64
  • https://radiomed.ru/sites/default/files/styles/case_slider_image/public/user/2841/dsc02988.jpg?itok=t79EOEEb
  • https://radiomed.ru/sites/default/files/styles/case_slider_image/public/user/2841/dsc02990.jpg?itok=2U7ZxGiv
ID:22828
Наталия Васильевна аватар
Не на сайте
Был на сайте: 5 лет 8 месяцев назад
Зарегистрирован: 25.09.2011 - 09:02
Публикации: 754

Ну, что ж, ей крупно повезло, что есть запаска в виде еще одного легкого.

НАДЕЖДА ЮРЬЕВНА аватар
Не на сайте
Был на сайте: 6 лет 11 месяцев назад
Зарегистрирован: 30.07.2012 - 13:14
Публикации: 360

Ну да, правое тоже поражено, но не в таком виде.

maker4ik аватар
Не на сайте
Был на сайте: 8 лет 7 месяцев назад
Зарегистрирован: 19.10.2011 - 17:49
Публикации: 2682

Ну живут же люди после пульмонэктомии как-то...

НАДЕЖДА ЮРЬЕВНА аватар
Не на сайте
Был на сайте: 6 лет 11 месяцев назад
Зарегистрирован: 30.07.2012 - 13:14
Публикации: 360

Да, после пульмонэктомии легче живется наверняка, чем с таким пораженным легким. Удалять нельзя в этом случае- недовес, недоедание, ХСН, ДН и куча до сопут заболеваний-  алкоголизм, глухая, как пробка- от препаратов..

Катенёв Валентин Львович аватар
Не на сайте
Был на сайте: 7 лет 2 недели назад
Зарегистрирован: 22.03.2008 - 22:15
Публикации: 54876

Да, по всей видимости, на обычных рентгенограммах, возможно и томограммах, картинка весьма напоминает фиброзно-кавернозный туберкулёз, который, как трактует фтизиатрия относится к запущенным формам туберкулёза, за который ох как сильно бьют!

Не могу сказать, что видел сильно много ФКТ, но видел..., а представленный случай, на мой взгляд ФКТ не "пахнет". При таких то полостищах, а может быть и кистах слева, довольно интеллигентная картинка справа...

А может быть то не бывшие "каверкоты", а дизонтогенетические кисты?

Nikolas аватар
Не на сайте
Был на сайте: 1 месяц 3 недели назад
Зарегистрирован: 21.12.2010 - 20:37
Публикации: 4559

особенности патологической анатомии туберкулеза, сочетающегося с кистозной гипоплазией легких был изучен выдающимся русским патологоанатомом, антропологом, биологом В.Г.Штефко. 100-летие В.Г.Штефко было отмечено в 1993 году.  В.Г. Штефко считал, что  дегенеративные легкие особенно восприимчивы к туберкулезной инфекции. Мнение В.Л. Катенёва ("а дизонтогенетические кисты?") не фантастика. Вероятность того, что туберкулез легких развился на фоне порочного легкого, очень даже высока. Кроме того, отечественными исследователями подробно описано "разрушенное легкое", как исход прогрессирущих форм туберкулеза.

Молодые врачи! Читайте отечественную медицинскую литературу.  Это клад, который надо изучать. Там многое  описано, в том числе, по рентгенологии. Как не вспомнить академика РАМН А.Г.Хоменко :"На западе сегодня открываются истины, которые стали известными отечественной фтизиатрии 25 -50 лет назад" (1993 г).

Катенёв Валентин Львович аватар
Не на сайте
Был на сайте: 7 лет 2 недели назад
Зарегистрирован: 22.03.2008 - 22:15
Публикации: 54876

 

Эта форма туберкулеза в классификации поглощается понятием цирротического туберкулеза, который характеризуется разрастанием грубой соединительной ткани в легком и плевре. Понятие цирротического туберкулеза чисто морфологическое, так как в клинике определить наличие именно такого разрастания не представляется возможным. Единственным признаком является постоянное затемнение легочного поля при .многократных рентгенологических исследованиях. В прошлом цирротический туберкулез считали благоприятным исходом заболевания. В настоящее время стали отличать циррозы легких в качестве относительно благоприятных остаточных изменений, в этой рубрике они и числятся в классификации.

Наш опыт пульмонэктомий по поводу цирротического туберкулеза показал, что у всех больных, оперированных с таким диагнозом, имелся активный хронический деструктивный туберкулез, причем каверны располагались действительно среди цирротичеоки измененной легочной ткани (рис. 13). Это позволяет выделить такой вид цирротического туберкулеза, как каварнозно-цирротический или поликавернозно-цирфотический, тотально поражающий легкое, иначе говоря разрушенное легкое.

В клинической классификации рекомендовано относить такие изменения с наличием каверн, с бронхогенными отсевами и бацилловыделением к группе фибвозно-кавернозного туберкулеза. Однако мы считаем, что для такого процесса, при котором тотально поражено целое легкое с полной потерей его нормальной структуры и функции, более подходящим является название разрушенное легкое. Действительно, здесь мы имеем дело уже не с органом, пусть даже патологически измененным, а с его остатками.

Морфологические и мнкробиологические данные показывают, что при разрушенном легком туберкулезной этиологии речь идет об активном торппдно текущем процессе, сопровождающемся вспышками л диссеминацией. В цирротической ткани, окружающей каверны, расположены уязвимые, ломкие, легко подвергающиеся аррозии сосуды, что является основой кровохарканий и профузных кровотечений.

Таким образом, разрушенное легкое диктует необходимость хирургического вмешательства, если нет серьезных противопоказаний.

image026.jpg

Рис. 13. Гистотопограмма удаленного легкого вместе с париетальной плеврой

(плевропульмонэктомия). Плевра резко утолщена. В сморщенном легком на фоне выраженного фиброза видны каверны с характерным строением стенок.

Следует упомянуть о том, что шунтирование крови в цирротическом легком является причиной сброса неаксигенированной венозной крови в большой круг кровообращения, в результате чего возникает хроническая гипоксемия с вытекающими отсюда последствиями. И наконец, длительное существование в организме источника хронического воспаления с продукцией гноя ведет к амилоидному перерождению паренхиматозных органов. В 40% случаев эта. категория больных подвергается операции в неотложном порядке ввиду легочного Кровотечения, бурного иропреесирования процесса, нарастающих признаков амилоидоза. (В. П. Стрельцов, 1971).