Это приложение к ветке:
http://www.radiomed.ru/blogs/petrovich/ugadyvaem-verifitsirovannyi-diagnoz-v
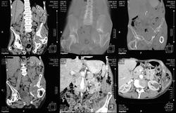
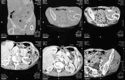
Здесь представлены КТ срезы брюшной полости и таза с контрастированием, выполненные через 2 года после травмы.
В той ветке итак уже много снимков, да и смотреть изображения в двух окнах параллельно удобнее-полезнее. Особенно если монитор большой (рекомендую 30" от LG), или их два.
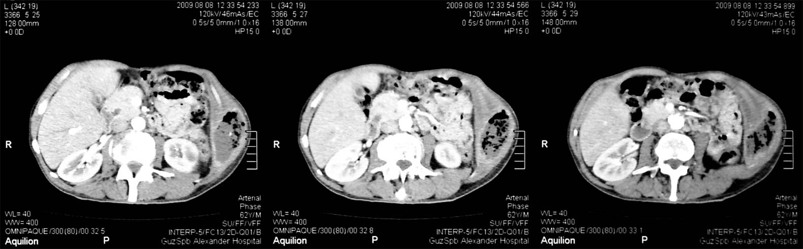
Артериальная фаза
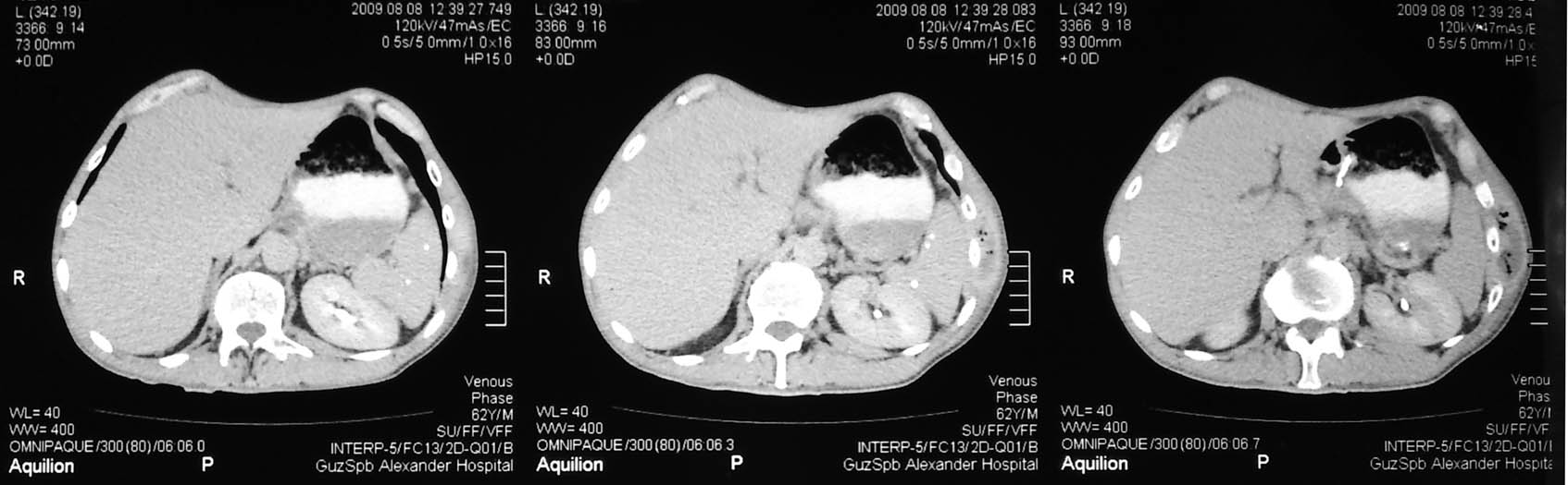
Венозная фаза
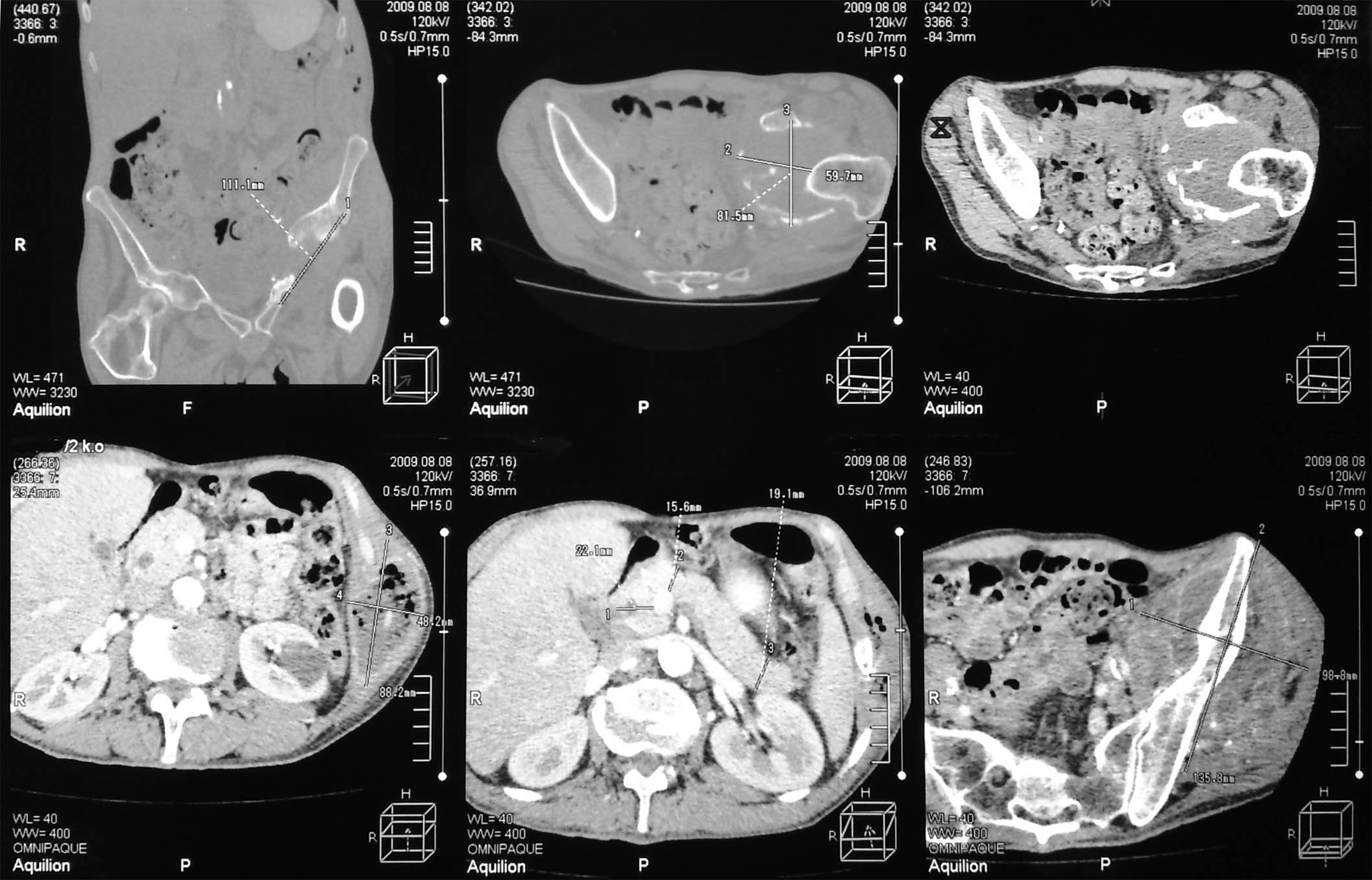
Реконструкции
Остальное уже представлено по адресу:
http://www.radiomed.ru/blogs/petrovich/ugadyvaem-verifitsirovannyi-diagnoz-v
- https://radiomed.ru/sites/default/files/styles/case_slider_image/public/user/939/vph073-dsc03234.jpg?itok=3I77v9rW
- https://radiomed.ru/sites/default/files/styles/case_slider_image/public/user/939/vph103-dsc03230.jpg?itok=txQQlzzN
- https://radiomed.ru/sites/default/files/styles/case_slider_image/public/user/939/vph133-dsc03234.jpg?itok=NoJaLRJL
- https://radiomed.ru/sites/default/files/styles/case_slider_image/public/user/939/vph163-dsc03235.jpg?itok=ZwLI53de
- https://radiomed.ru/sites/default/files/styles/case_slider_image/public/user/939/vph193-dsc03242..jpg?itok=qNTso39t
- https://radiomed.ru/sites/default/files/styles/case_slider_image/public/user/939/vph223-dsc03236..jpg?itok=amOsLKCe
- https://radiomed.ru/sites/default/files/styles/case_slider_image/public/user/939/vph253-dsc03242..jpg?itok=rh1XMOYq
- https://radiomed.ru/sites/default/files/styles/case_slider_image/public/user/939/vph283-dsc03244..jpg?itok=GrOPLmL7
- https://radiomed.ru/sites/default/files/styles/case_slider_image/public/user/939/vph313-dsc03246..jpg?itok=W7OQqB8P
- https://radiomed.ru/sites/default/files/styles/case_slider_image/public/user/939/vph338-dsc03244..jpg?itok=WERI4ZcB
- https://radiomed.ru/sites/default/files/styles/case_slider_image/public/user/939/vph368-dsc03246..jpg?itok=z_euSzYd
- https://radiomed.ru/sites/default/files/styles/case_slider_image/public/user/939/aph038-dsc03277.jpg?itok=0b5BKIcZ
- https://radiomed.ru/sites/default/files/styles/case_slider_image/public/user/939/aph068-dsc03296.jpg?itok=Bnryc89-
- https://radiomed.ru/sites/default/files/styles/case_slider_image/public/user/939/aph098-dsc03277.jpg?itok=wzWkKWnj
- https://radiomed.ru/sites/default/files/styles/case_slider_image/public/user/939/aph128-dsc03296.jpg?itok=R0tLoPSy
- https://radiomed.ru/sites/default/files/styles/case_slider_image/public/user/939/aph128-dsc03300.jpg?itok=zPxcqp7_
- https://radiomed.ru/sites/default/files/styles/case_slider_image/public/user/939/aph158-dsc03297.jpg?itok=3xroCzOq
- https://radiomed.ru/sites/default/files/styles/case_slider_image/public/user/939/aph188-dsc03282.jpg?itok=p_WYOSZz
- https://radiomed.ru/sites/default/files/styles/case_slider_image/public/user/939/r-dsc03264..jpg?itok=WhtufxKC
- https://radiomed.ru/sites/default/files/styles/case_slider_image/public/user/939/rc-dsc03268.jpg?itok=1-914ZKi
- https://radiomed.ru/sites/default/files/styles/case_slider_image/public/user/939/r-dsc03270.jpg?itok=Iuv8j9Ak
- https://radiomed.ru/sites/default/files/styles/case_slider_image/public/user/939/r-dsc03271.jpg?itok=j_cn0k3x
ID:50858
Я бы назвала отсроченной. С одной стороны, оценивать 1 фазу - неверно. С другой стороны, тоже информация есть. Абсцесс, не исключено, что салфетка, в мягких тканях поясничной области слева, распространяется каудально и на таз. Может, и два разных процесса. Подожду мнения аксакалов и артериальную фазу. Неординарный случай, но несомненно интересный. Конечно, было б любопытно посмотреть на дайкомы.
https://www.youtube.com/channel/UCBGxoBUOqUT_bFhSeUgtWEw
Спасибо за ваше Участие участливое)). Остальное увидим завтра.
Неоднозначно всё
Злокачественное образование кости с мягкотканным компонентом: низкодифференцированная саркома какая-нибудь (предположу злокачественную фиброзную гистиоцитому- переходит на несколько костей).
Что-то в виде абсцесса подкожного слева, идёт от грудной клетки до места перелома. Возможно, проникновение в брюшную полость. В месте перелома мягкотканное образование с наличием перегородок, жидкостного компонента. Да, в области грудной клетки прослеживается воздух. Наверное, Людмила Григорьевна права, что-то вроде салфетки. Не думаю, что это какая-нибудь анаэробная инфекция.
Не очень понятно, откуда взялась салфетка - данных о хирургическом лечении не припоминаю, опухоли кости не вижу. По-прежнему, предположу следующий варант развития процесса: перелом - гематома - нагноившаяся гематома - остеолиз
"самоуверенность дилетантов - предмет зависти профессионалов"
А когда уже верификация? (два года наблюдать такую динамику - крепкие нервы нужны, давайте уже верифицируем).
Я-то салфетку предположил в проекции м. таза, там, где мы видим нечто треугольное на первом снимке..
Может и не два, а больше. Артериальная фаза давно выложена, а вот аксакалов не видать…, не заблудились ли среди саксаулов? Почему НО? По-вашему интересным может быть только ординарный случай?
А ось дайкомов як і бананів немає.Є ще знімки нативних КТ зрізів черевної порожнини (без контрастування), та чи потрібні вони? Verstanden?
Информации к размышлению прибавилось, а вот активность диагностического процесса у нас совсем упала. Некоторые люди уже готовый ответ хотят, так ведь его тоже люди дают, и почему они должны быть умнее? А вдруг наоборот?)
Некому скиалогическую картину в целом оценить-проанализировать. Плохо нам без Феди. И как же мы раньше жили…?
Неоднозначно всё
"НО" адресовано Грише). А слабо также отпрепарировать высказывания и других участников, проявивших участливое участие? Я помню, что Вы предположили (скорее этот треугольник в малом тазу - отломок ротированной против часовой стрелки левой седалищной ости с прилежащей частью кости, вон и "фигуру слезы" вывернуло вместе с ней). Свои соображения высказала, от публикации артериальной фазы они не изменились. Реконструкции посмотрю позже. Наверное). За интересный случай уже поблагодарила).
Картину в-целом уже оценила Татьяна Валентиновна, мне к её словам добавить нечего.
P.S. 11 пользователей высказались еще сутки назад). А к чему украинский, и при чём бананы - нипанятна). Всё, чем могла, Петрович!
https://www.youtube.com/channel/UCBGxoBUOqUT_bFhSeUgtWEw
Вы простите меня ЛГ за повышенное внимание, что-то тянет меня…, но я справлюсь. Что 11 пользователей высказались еще сутки назад я заметил, так ведь и я обещанное уже выложил. Реконструкции точно будут. К вашему утреннему кофе. За неимением бананов.
Спокойной ночи, госпожа Люся).
Неоднозначно всё
До чого тут співоча мова Великого Кобзаря? Може хворий теж не любив москалів за те, що вони з ним скоїли?
Не причём. Это эсперанто, ирокезский диалект.
Неоднозначно всё
Реконструкции добавлены. Остался последний рывок. Находим всё ранее ненайденное (кисту в левой почке даже я вижу).
Неоднозначно всё
на серии кт определяются в средней трети левой почки ,латерально от ее ворот определяется гиповаскулярный участок с четкими ровными контурами .с поддавливанием чашечно-лоханочной системы,ограниченый капсулой почки ,неправильной вытянутой формы ,который в поздней венозной фазе не изменяет своей визуализации (д.д между кистой и кистозной формой почечно-клеточного рака).латерально от левой почки в мягких тканях определяется большой участок со сниженной денситометрической плотностью,размерами - 53х117мм ,с включениями газа и кольцом периферического усиления,с дренажом(вероятнее всего крупный абсцесс).печень увеличена в размере,селезенка с включениями кальция .размеры поджелудочной железы в пределах нормы,холедох и вирсунгов проток без патологии.надпочечники нормальных размеров,без изменений.в области левого тазобедреного сустава определяется участок деструкции с разрушением вертлужной впадины ,головки и шейки бедренной кости ,смещением повздошной кости вверх и латерально на 111.1мм,с фрагментом головки левой бедренной кости .в левой повздошной кости определяются гиперостоз с обширным участком остеосклероза и мелкими участками остеолитической деструкции (смешанный тип).аналогичные остеолитические изменения в крыле правой повздошной кости и в головке правой бедренной кости (сужу по 3d).по медиальному контуру средней трети тела поздошной кости определяется разрушение замыкательной пластинки с вовлечением губчатого вещества на большом протяжении,в крыше и самой вертлужной впадине с мягкотканным компонентом ,с участками пониженной денситометричской плотности (вероятнее всего участки некроза),с мелкими костными фрагментами (что косвенно может подтверждать рост изнутри снаружу),с поддавливанием на большом протяжении органов малого таза,латерально -левая стенка мочевого пузыря утолщена.вывод :такие изменения могут быть как первичного так и метастатического характера .первопричина протрузии возможно врожденного характера(дисплазия) ,затем перелом усугубил процесс(посттравматическая протрузия).меня настораживает тот момент,что изменения в повздошной кости напоминают хронический остемиелит изначально .а затем появились изменения ,сильно напоминающие озлакочествление+изолированно крупный абсцесс
Обалдеть! Других слов нет.
https://www.youtube.com/channel/UCBGxoBUOqUT_bFhSeUgtWEw
Зато весело
"самоуверенность дилетантов - предмет зависти профессионалов"
Спокойно девушки. Временно прерываем веселье. Вспоминаем все ДРУГИЕ слова нужные при решении серьёзных задач. В чем, по-вашему, Федя неправ?
Поправьте и меня, если ошибаюсь. Я так думаю:
Как только получим ответ на простые вопросы. Ну же, надо постараться!)) – выкладываю все карты на бочку.
Неоднозначно всё
1. Вздутия не вижу.
2. Не имеет.
3. Есть, но оценить достоверно по показанным картинкам сложно. И зачем?
4. Даже если допустить дисплазию... и что из этого? Есть и изменения позвоночника, но нужной информации это не несёт.
5. Деструкции справа не вижу. Оценивать её по 3D считаю некорректным.
6. Паравезикальный абсцесс.
Ответы есть. Открывайте карты).
https://www.youtube.com/channel/UCBGxoBUOqUT_bFhSeUgtWEw
Документы №2 и №3
Неоднозначно всё
К сему надо добавить, что у нашего пациента неоднократно выявлялась гематурия, почти постоянно анемия, в анамнезе Бильрот I, по поводу язвы, ещё к него энцефалопатия смешанного генеза (в том числе алкогольного) III ст., на учёте в ПНД. Онкологи (со слов его домашнего врача) склоняются к диагнозу: "Рак мочевого пузыря". Сейчас пациент "твердо встал на путь исправления" ведёт трезвую жизнь, гуляет с костылём по окрестностям. На вскрытие пока не торопится. Так что окончательная верификация откладывается.
Неоднозначно всё
Неоднозначно всё
Цистоскопия в Питере не применяется? Петрович, история презабавная. Столько нестыковок, нет описаний КТ, нет контроля КТ... Мягкие ткани таза обширные, так где конкретно выполняли биопсию? Одни вопросы... В выписках ни слова о неконсолидированных переломах. Ощущение абсурдности, мягко говоря.
https://www.youtube.com/channel/UCBGxoBUOqUT_bFhSeUgtWEw
https://www.youtube.com/channel/UCBGxoBUOqUT_bFhSeUgtWEw
С 2009 прошло около 2,5 лет. И до сих пор пациент без диагноза?
https://www.youtube.com/channel/UCBGxoBUOqUT_bFhSeUgtWEw
Ответила в первой ветке. Но прочитав дополнения здесь, диагноз рака почки считаю несостоятельным
"самоуверенность дилетантов - предмет зависти профессионалов"
Может хоть там правильный диагноз установили.
Да, нестыковки у всех бывают…. Такова "C'est la vie»)). И зачем вам описание КТ-ушек, "лучшей мотальщице чесального цеха"?!)) А контроль КТ... не делался. Зачем он? Ясно же всё). Это не ко мне: меня там рядом не стояло. Да и что Вам прояснят эти детали? Скорей всего из двух мест, поскольку дважды делали. И вправду, абсурдно рассуждать о неконсолидированных переломах, когда отломки уже подвергаются лизису или деструкции Диагноз-то есть и он не эксклюзивно редкий: TX N1 M1. Годится, чтобы на учёт онколога поставить.Мы живём с Вами в одной стране. Оглянитесь окрест.
Неоднозначно всё
Людмила Григорьевна, Вы уже прочитали свои 10 книг?
Неоднозначно всё
Во-первых, я Вас лично ни в чем не обвиняла. Во-вторых, описание КТ было бы нелишним, поскольку Вы нам показали репродукции, а не дайкомы (не Ваша вина). Динамика КТ - с 2009 времени прошло немало, а диагноза толком нет. В-третьих, про мотальщицу намотала на ус... В-четвертых, детали мне - вряд ли Вы поймёте...
В-общем, по обещанию в комменте 9: ... Вы не справились.
Нет, не прочитала свои 10 книг.
https://www.youtube.com/channel/UCBGxoBUOqUT_bFhSeUgtWEw
Я снова виновен… как в забытые времена… ухожу, "посыпая голову пеплом".
Теперь я умолкну, чтобы не отвлекать Вас от чтения.
Неоднозначно всё
при описании костей я использовал в описании 3 синдрома :остеосклероз,гиперостоз и остеолитическую деструкцию -а вот1) вздутие как синдром я не описывал .о 3d и их информативности не согласен -они не чуть не хуже стандартных(из личного опыта всегда сравниванию разницу на 3d,скажу вам не уступает)окончательно изменения справа можно исключить лишь сделав остеосцинтиграфию ,а так вопрос остается открытым ,на счет абсцесса -он не имеет связи с брюшной полостью.на счет дисплазии -мое мнение ,в любом случае не одна опухоль кости (как первичная,так и 2 -ная) не могла вызвать такой диастаз -она лишь" помогла",поэтому и выдвинул мнение на счет дисплазии . а на счет диагноза -с каких пор онколог делает умозаключение со слов лучевого диагноста?мое мнение первопричина в почке с метастазами,а утолщение стенки мочевого пузыря =требуется доказать онкоприроду!!!а так гистологическое исследование намекает на почку !!!
На первый взгляд может показаться, что к очередному проекту Петровича я отнёсся легкомысленно. Отнюдь нет. В самом начале он мне показался очень простым. По рентгенограммам через 9 мес. после травмы хотелось написать, что следующим этапом станет патологический вывих бедра. Действительно, асептический некроз головки и шейки довольно часто встречается после переломовывихов в тазобедренном суставе.
Когда была опубликована вся серия снимков, я поймал себя на мысли, что асептический некроз както затянулся во времени. Я ожидал его увидеть максимум через год-полтора, но никак не через четыре. Меня удивило также то, что он начался локально с нагружаемой поверхности головки бедра и вертлужной впадины. В это же время сложилось впечатление, что пациент ногу не нагружал или неособенно нагружал. Отсюда напрашивался вопрос, за счет чего медленно тающая головка находится в постоянном контакте с медленно тающей подвздошной костью?
Как-то однажды я наблюдал эпилептика с подобной картиной после травматическго вывиха бедра. Вывих ему вправили, но удержать полтора месяца на вытяжении не смогли из-за участившихся приступов. Он стал нагружать ногу и всё закончилось печально для тазобедренного сустава примерно года через три. Я подумал, может и у этого пациента после ушиба головного мозга развился эписиндром, а судорги постепенно доконали скомпрометированный травмой сустав?
Но я оказался неправ. Если Петрович считает, что всё произошло от мягкотканного метастаза в левую половину таза, значит так оно и будет. В интернете нельзя по-другому. Здесь можно или верить, или нет. Проврить всё равно не получится. Я готов поверить в очередной раз.
Только просьба, Петрович, не называйте свой следующий проект: "Угадываем верифицированный диагноз..."!
Петрович, а что Вы сами думаете по данному случаю?
"самоуверенность дилетантов - предмет зависти профессионалов"
В конце 2011 г., когда я подобрал материал, мне казалось что всё здесь в общем понятно-логично и укладывается в картину метастатического поражения ранее травмированного бедра и тазовых костей. Неясна только до конца локализация первичного очага. Пациент тогда был соматически весьма тяжел, правда преобладала психоневрологическая симптоматика (почему бы не предположить и метастазы в головной мозг?). С самого начала была мысль указать, что случай недоверифицирован, но не хотелось снижать планку интереса, и была надежда в марте получить сведения об «окончательной верификации» Но по ходу обсуждения ясность стала размываться, особенно убедительны возражения ваши, Tatyana. А уж как узнал о переменах последнего времени в состоянии больного и вовсе ясность улетучилась. Осталось только формальное состояние на учёте онколога.
Об эпилепсии невролог (хороший) не говорит. Диагноз октября 2011г. звучит так: Энцефалопатия смешанного генеза IIIст. (посттравматич. + интоксикац. + дисциркулят.). Выраженные интеллектуально-мнестические нарушения.
Неоднозначно всё
)))) Не угадывем не верифицированный не диагноз...))))
С уважением, А.В.Коробейников
очень интересный случай , автору спасибо
Неоднозначно всё
не ломайте голову , это простой набор букв
для чего ОН?
Неоднозначно всё
)))) признаюсь , думала нужно заполнять тему сообщения , уже поняла ,что не обязательно. Ни к чему заострять внимание на таких мелочах
Вы искушаете заострять внимание на более круных... деталях?))) В этом нет необходимости.))
С уважением, А.В.Коробейников
В пост особо не вникал, но с первых же снимков, мне показалось, что это какая-то саркома, развившаяся в месте травмы