Дегенеративно-дистрофические изменения. Окостение выйной связки. Если жалоб особых нет, то и слава богу. Да особых жалоб и не должно быть, организм сам зафиксировал шейный отдел, как бы сам себя вылечил.
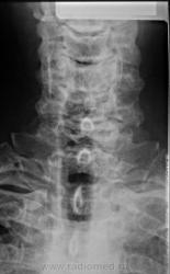
Диагноз основывается на данных рентгенографии позвоночника. Выявляется патогномоничный признак — оссификация передней продольной связки, первоначально в грудном отделе. В норме эта связка тонкая, при рентгенографии не видна, проходит вдоль всего позвоночника, огибает межпозвоночные диски и прикрепляется к телам позвонков; в результате оссификации эта связка становится рентгенопозитивной. Патологический процесс в связке обычно начинается в области тел позвонков, постепенно распространяется на другие отделы связки, что приводит к резкому и неравномерному ее утолщению (рис.), иногда до 10—20 мм. На рентгеновских снимках в прямой проекции в выраженных случаях позвоночник окружен по бокам лентовидными образованиями костной плотности с неровными контурами, как бы стекающими вдоль позвоночного столба, выгибаясь на уровне межпозвоночных дисков и соприкасаясь с телами позвонков. Позвоночник на определенных уровнях становится как бы закованным вновь образованной костной тканью (анкилозирующий гиперостоз позвоночника). Диагноз Ф. б. считается достоверным, если определяется непрерывное окостенение передней продольной связки на протяжении не менее четырех последовательных сегментов позвоночника вдоль переднелатеральной его части при условии отсутствия в этой области признаков остеохондроза, а также рентгенологических признаков сакроилеита. При рентгенографии различных отделов периферического скелета выявляются окостенение мест прикрепления сухожилий и связок к костям в виде шпор, бахромы, а иногда оссификация капсул суставов.
Соглашусь с коллегой Nela! Дегенеративные изменения шейного отдела позвоночника. Обызвествления передней продольной связки с образованием костных мостиков между телами позвонков. Деформирующий спондилез. Можно добавить остеохондроз(снижена высота дисков, склероз замыкательных пластин, артроз унко-вертебральных сочленений). Для Бехтерева - слишком зрелый возраст.
Анкилозирующийспондилоартрит(болезньБехтерева) можно включать в диф. ряд, только если видим анкилозирование межпозвонковых (межпозвоночных) суставов. В этом примере его нет!
Дегенеративно-дистрофические изменения. Окостение выйной связки. Если жалоб особых нет, то и слава богу. Да особых жалоб и не должно быть, организм сам зафиксировал шейный отдел, как бы сам себя вылечил.
По русски Болезнь Форестье )))
Виктор.
Я бы расценила скорее как спондилез, нежели как фиксирующий лигаментоз.
А в чём принципиальная разница?
Виктор.
Диагноз основывается на данных рентгенографии позвоночника. Выявляется патогномоничный признак — оссификация передней продольной связки, первоначально в грудном отделе. В норме эта связка тонкая, при рентгенографии не видна, проходит вдоль всего позвоночника, огибает межпозвоночные диски и прикрепляется к телам позвонков; в результате оссификации эта связка становится рентгенопозитивной. Патологический процесс в связке обычно начинается в области тел позвонков, постепенно распространяется на другие отделы связки, что приводит к резкому и неравномерному ее утолщению (рис.), иногда до 10—20 мм. На рентгеновских снимках в прямой проекции в выраженных случаях позвоночник окружен по бокам лентовидными образованиями костной плотности с неровными контурами, как бы стекающими вдоль позвоночного столба, выгибаясь на уровне межпозвоночных дисков и соприкасаясь с телами позвонков. Позвоночник на определенных уровнях становится как бы закованным вновь образованной костной тканью (анкилозирующий гиперостоз позвоночника). Диагноз Ф. б. считается достоверным, если определяется непрерывное окостенение передней продольной связки на протяжении не менее четырех последовательных сегментов позвоночника вдоль переднелатеральной его части при условии отсутствия в этой области признаков остеохондроза, а также рентгенологических признаков сакроилеита. При рентгенографии различных отделов периферического скелета выявляются окостенение мест прикрепления сухожилий и связок к костям в виде шпор, бахромы, а иногда оссификация капсул суставов.
http://www.nedug.ru/library/doc.aspx?item=79018
http://www.nedug.ru/library/doc.aspx?item=57195
Что то мне Ваше описание напоминает больше анкилозирующий спондилит...
Пороюсь может что и накопаю, считал, что болезнь Форестье это обезображивающий спондилёз, как в этом случае..
Виктор.
Верно, в диф. ряду болезнь Бехтерева и деформирующий спондилез. Немного есть у Тагера и, кажется, у Рейнберга.
Для этого пациента, по большому счету, все равно спондилез, лигаментоз, а для Бехтерева он староват.
Соглашусь с коллегой Nela! Дегенеративные изменения шейного отдела позвоночника. Обызвествления передней продольной связки с образованием костных мостиков между телами позвонков. Деформирующий спондилез. Можно добавить остеохондроз(снижена высота дисков, склероз замыкательных пластин, артроз унко-вертебральных сочленений). Для Бехтерева - слишком зрелый возраст.
dok
Анкилозирующий спондилоартрит (болезнь Бехтерева) можно включать в диф. ряд, только если видим анкилозирование межпозвонковых (межпозвоночных) суставов. В этом примере его нет!
Неоднозначно всё