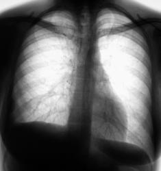
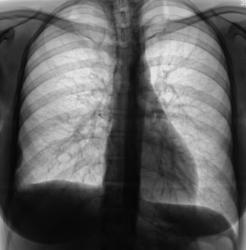
Пол пациента: Мужской пол Тип патологии: Злокачественное новообразование Область исследования: Грудная клетка и верхние дыхательные пути Методы исследования: Rg Сегодня, при расшифровке флюорограмм, пациента "взяли на контроль". Заподозрили наличие мезотелиомы. Ваше мнение коллеги? 1.MEZO_..jpg 2.MEZO_..JPG 3.MEZO_..jpg ВложениеРазмер 1.MEZO_..jpg73.66 КБ 2.MEZO_..JPG55.21 КБ 3.MEZO_..jpg59.52 КБ Ср, 02/12/2009 - 09:16 #1 Almo Не на сайте Был на сайте: 1 неделя 5 дней назад Зарегистрирован: 28.09.2008 - 18:50 Публикации: 8302 Да, похоже на мезотелиому.Рёбернодиафрагмальный синус затенён нет ли там выпота? Ср, 02/12/2009 - 19:38 #2 Глазков Игорь А... Не на сайте Был на сайте: 1 год 2 месяцев назад Зарегистрирован: 19.12.2008 - 20:41 Публикации: 1597 здесь травмы? Купол диафрагмы уплощён, синус практически не определяется, осумкованный выпот паракостально? Укладка ровная, но тень средостения смещена влево. Прийди к Себе Ср, 02/12/2009 - 21:59 #3 Анатолий Владим... Не на сайте Был на сайте: 8 лет 2 месяцев назад Зарегистрирован: 16.10.2009 - 21:16 Публикации: 1941 Необходимы повторные снимки с четким отображением структуры ребер - патология может быть там. Ср, 02/12/2009 - 22:17 #4 Катенёв Валенти... Не на сайте Был на сайте: 7 лет 5 месяцев назад Зарегистрирован: 22.03.2008 - 22:15 Публикации: 54876 Пациент вызван на контроль. Следовательно, будут произведены и обзорные снимки и линейная томография. Чт, 03/12/2009 - 12:37 #5 Almo Не на сайте Был на сайте: 1 неделя 5 дней назад Зарегистрирован: 28.09.2008 - 18:50 Публикации: 8302 Сомнения коллег логичны. Ср, 16/12/2009 - 22:56 #6 Катенёв Валенти... Не на сайте Был на сайте: 7 лет 5 месяцев назад Зарегистрирован: 22.03.2008 - 22:15 Публикации: 54876 Сегодня произвели рентгенографию. Ср, 16/12/2009 - 22:57 #7 Катенёв Валенти... Не на сайте Был на сайте: 7 лет 5 месяцев назад Зарегистрирован: 22.03.2008 - 22:15 Публикации: 54876 Сегодня произвели рентгенографию. Ср, 16/12/2009 - 22:58 #8 Катенёв Валенти... Не на сайте Был на сайте: 7 лет 5 месяцев назад Зарегистрирован: 22.03.2008 - 22:15 Публикации: 54876 Сегодня произвели рентгенографию. Чт, 17/12/2009 - 21:17 #9 Катенёв Валенти... Не на сайте Был на сайте: 7 лет 5 месяцев назад Зарегистрирован: 22.03.2008 - 22:15 Публикации: 54876 Произведена томограмма. Чт, 17/12/2009 - 21:18 #10 Катенёв Валенти... Не на сайте Был на сайте: 7 лет 5 месяцев назад Зарегистрирован: 22.03.2008 - 22:15 Публикации: 54876 Увеличенные фрагмент томограммы. Чт, 17/12/2009 - 21:20 #11 Катенёв Валенти... Не на сайте Был на сайте: 7 лет 5 месяцев назад Зарегистрирован: 22.03.2008 - 22:15 Публикации: 54876 Следующий "срез". Чт, 17/12/2009 - 21:21 #12 Катенёв Валенти... Не на сайте Был на сайте: 7 лет 5 месяцев назад Зарегистрирован: 22.03.2008 - 22:15 Публикации: 54876 И увеличенный фрагмент.
Да, похоже на мезотелиому.Рёбернодиафрагмальный синус затенён нет ли там выпота?
здесь травмы? Купол диафрагмы уплощён, синус практически не определяется, осумкованный выпот паракостально? Укладка ровная, но тень средостения смещена влево.
Прийди к Себе
Необходимы повторные снимки с четким отображением структуры ребер - патология может быть там.
Пациент вызван на контроль. Следовательно, будут произведены и обзорные снимки и линейная томография.
Сомнения коллег логичны.
Сегодня произвели рентгенографию.
Сегодня произвели рентгенографию.
Сегодня произвели рентгенографию.
Произведена томограмма.
Увеличенные фрагмент томограммы.
Следующий "срез".
И увеличенный фрагмент.