Мужчина 56 лет, 11 дней выполнена ЛХЭ. Ранний послеоперационный период осложнился острой кишечной непроходимостью, купированна консервативно.
Выписан на 8 сутки в удовлетворительном состоянии. Поступил в клинику с жалобами на одышку при малейшей физической нагрузке, подъемы температуры
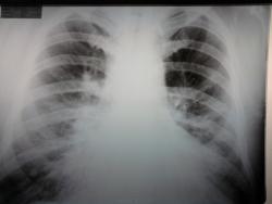
до 38. При осмотре цианоз носогубной складке, ЧДД 30, сутурация в покое 85, при Узи сердца фракция выброса 65. При осмотре терапевта влажные хрипы в нижних отделах
с обеих сторон, глухие тоны сердца. Извен
Дык у ниёш отек легких... Обзорку бы в нормальном качестве посмотреть.
Хочешь сделать что-то нормально - сделай это сам!
да почему бы и не отек легких с преимущественным пропитыванием центраьных отделов, корни не структурны, нечеткие...+ контроль в динамике после лечения
А ЭКгэшку делали?
На Экг ЧСС92 Синусовый ритм, гипертрофия левого желудочка.
Я вот думаю, а не не Дестресс-синдром это на фоне вирусной инфекции.
Отек при повышеной сосудистой проницаемости
Это не дистресс-синдром.
Хочешь сделать что-то нормально - сделай это сам!
Что интерстициальный отек понятно .На фоне чего возник. Если инфаркта нет, возможно гипертонический криз.
Криз с температурой 38,5?
А что ,Бородулин, наличие высокой температуры тела исключает гипертонический криз.Я вычитал 38.00 ,откуда взялась38.5?
Евгений 1313. Все же чем страдает человек?
Евгений 1313( Вы что, фаталист?)-самые приятные звуки для человеческого уха-это звуки его собственного имени.Даже Вас взять-Вы же не назвались Пупкиным или своей фамилией ( извините, но фамилии Вашей не имею чести знать)-хотите, чтобы по имени Вас величали.У нас у всех есть имена.Призываю проявлять уважение друг к другу-мы здесь все равны.
Спасибо за внимание.
38,5? Средняя t по больнице)). А мне что-то хочется септическую пневмонию. И КТ))
"Предоставляя весь смысл и совершенство в распоряжение одного только Бога, вы избавляете себя от бездны хлопот." Джон Уитборн.
Отёк-вторичное проявление.Я пытаюсь исключить главные причины.А бородулин по любому поводу злорадствует.Ну опят-же септическая-больше в плащевых зонах(т.к. частный случайТЭЛА-септическими эмболами),быстро текушаяя(сепсис), с распадами.Такого не наблюдаю .Да... и желательно иметь септический источник.
А у меня просто отёк не вяжется с температурой! Хочется инфекции)). Вирусной, например. Если уж септическую нельзя
"Предоставляя весь смысл и совершенство в распоряжение одного только Бога, вы избавляете себя от бездны хлопот." Джон Уитборн.
А живот? Грамположительные энтерококки, грамотрицательные энтеробактерии (кишечная палочка). Возбудители проникают в брющную полость даже без перфорации. за счет нарушения проницаемости стенки кишки. Абдоминальный сепсис вполне возможен.
КТ у нас в больницы нет.
КТ здесь не помошник.Если хотите инфекцию -кровь на гемокультуру.
Прочитайте еще раз.
"Евгений, добрый мой приятель
Родился на брегах Невы,
где может быть родились вы,
Или БЛИСТАЛИ мой читатель"
Евгений - добрая душа.
Вам руку помощи протянет;
Всегда быть рядом поспеша,
Хорошим верным другом станет.
Он избегает лишних ссор,
Терпенья полон и вниманья;
Воспринимает с детских пор
Очарованье мирозданья.
Пусть исполняются мечты
И будет полон сил Евгений;
Пусть он живёт без суеты,
Обид напрасных и волнений!
+++
Евгений по жизни романтик,
Он стремится везде побывать:
Лицезреть неизвестные дали
И, конечно, себя показать.
С ним легко заводить разговоры –
Он поведает множество тем;
Справедливый, активности полный,
Разрешит целый ворох дилемм.
Из именинных поздравлений. Надеюсь, Евгению 1313 понравится.
Спасибо боевые подруги -толи ещё будет.Жизнь успеет приподнести такие сюрпризы ..о которых мы даже не мечтаем!!??
а не сепсис ли здесь и какие анализы крови, СОЭ гемоглобин.
Вполне возвожно и вирусная этиология.H1N1 такое иногда дает.В этом году 8 случаев 2х сторонней пневмонии у меня было(все потверждены вирусологически).Из них 1 после операции на брюшной полости,с летальным исходом.
А не пора ли автору, сообщить о резултатах аутопсии.
Наук интересных много, микробиология, вирусология, патфизиология.
Уважаемый Леший, расскажите, пожалуйста, а чем дело закончилось?
"Предоставляя весь смысл и совершенство в распоряжение одного только Бога, вы избавляете себя от бездны хлопот." Джон Уитборн.
И......?