Ваше мнение по поводу коленного сустава.

Пол пациента: 
Тип патологии: 
Область исследования: 
Методы исследования: 

Ваше мнение по поводу коленного сустава.

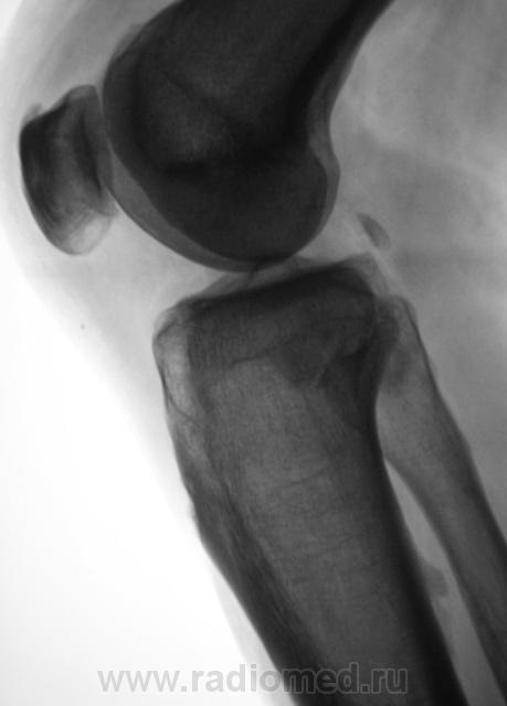
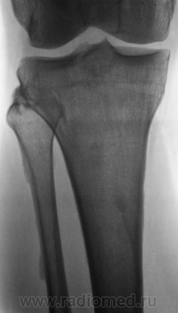
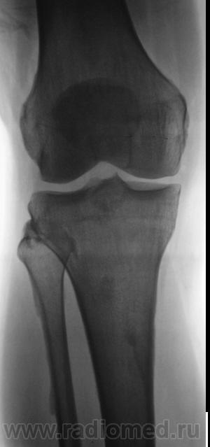
Мужчина средних лет, крепкий, ведущий активный образ жизни, занимающийся дозировано «элементами спорта», полковник милиции, в последнее время (несколько лет) почувствовал боли в области правого коленного сустава.

Снимки ниже.

Просьба высказать мнения по представленным иллюстрациям.

  • https://radiomed.ru/sites/default/files/styles/case_slider_image/public/user/12/2.pb160033a.jpg?itok=NWxl2lN0
  • https://radiomed.ru/sites/default/files/styles/case_slider_image/public/user/12/3.pb160036.jpg?itok=EvQRcYDY
  • https://radiomed.ru/sites/default/files/styles/case_slider_image/public/user/12/4.pb160036a.jpg?itok=ezRSPWPF
  • https://radiomed.ru/sites/default/files/styles/case_slider_image/public/user/12/5.pb160034.jpg?itok=P6bVJ0R5
  • https://radiomed.ru/sites/default/files/styles/case_slider_image/public/user/12/6.pb160034a.jpg?itok=m4fcou6Z
  • https://radiomed.ru/sites/default/files/styles/case_slider_image/public/user/12/7.pb160035.jpg?itok=w0kLX49X
  • https://radiomed.ru/sites/default/files/styles/case_slider_image/public/user/12/8.pb160035a.jpg?itok=gbjoDhmT
ID:8955
Сан Саныч1 аватар
Не на сайте
Был на сайте: 11 месяцев 2 недели назад
Зарегистрирован: 07.06.2010 - 21:17
Публикации: 2114

Энтезопатия надколенника, перегрузочная болезнь б/б кости(подозрение на неполный перелом).

Хочешь сделать что-то нормально - сделай это сам!

Глазков Игорь Артурович аватар
Не на сайте
Был на сайте: 9 месяцев 1 неделя назад
Зарегистрирован: 19.12.2008 - 20:41
Публикации: 1597

Очень похожая картина на консолидированный перелом б\б кости. В проекции м\б кости определяется периостальная реакция или патологическая перестройка костной ткани.

Прийди к Себе

Віктор аватар
Не на сайте
Был на сайте: 12 лет 8 месяцев назад
Зарегистрирован: 13.10.2010 - 22:18
Публикации: 33

Есть  признаки  артроза  и  синовита . Была  повреждена  передняя  крестообразная  связка.

Сан Саныч1 аватар
Не на сайте
Был на сайте: 11 месяцев 2 недели назад
Зарегистрирован: 07.06.2010 - 21:17
Публикации: 2114

А какие тут признаки синовиита?

Хочешь сделать что-то нормально - сделай это сам!

Berezovskiy.A аватар
Не на сайте
Был на сайте: 14 лет 9 месяцев назад
Зарегистрирован: 19.02.2010 - 16:13
Публикации: 39

А какой характер боли? Связаны с нагрузками? Динамика боли в течении дня?

"Я считаю, что вегетарианская диета, хотя бы благодаря её чисто физическому воздействию на человеческий темперамент, должна в высшей степени благотворно сказаться на судьбе человечества" Альберт Эйнштейн

Катенёв Валентин Львович аватар
Не на сайте
Был на сайте: 7 лет 2 недели назад
Зарегистрирован: 22.03.2008 - 22:15
Публикации: 54876

Боли почти постоянные, усиливаются после физической нагрузки.

Віктор аватар
Не на сайте
Был на сайте: 12 лет 8 месяцев назад
Зарегистрирован: 13.10.2010 - 22:18
Публикации: 33

Сан Саныч1 wrote:

А какие тут признаки синовиита?

                                                                                                                                                                           Возможно ошибаюсь , но  на  мой  взгляд , есть  затемнение  надколенникового  физ. просветления.     

Berezovskiy.A аватар
Не на сайте
Был на сайте: 14 лет 9 месяцев назад
Зарегистрирован: 19.02.2010 - 16:13
Публикации: 39

Катенёв Валентин Львович wrote:

Боли почти постоянные, усиливаются после физической нагрузки.

 

Валентин Львович, я бы направил пациента на ультразвук коленного сустава для детально "рассмотрения" суставной поверхности надколенника. Был у меня подобный случай - очень схож и анамнез и характер жалоб.  Его (больного) бы ещё положить и руками "подавить"... но это уже удел травматологов.

"Я считаю, что вегетарианская диета, хотя бы благодаря её чисто физическому воздействию на человеческий темперамент, должна в высшей степени благотворно сказаться на судьбе человечества" Альберт Эйнштейн

Катенёв Валентин Львович аватар
Не на сайте
Был на сайте: 7 лет 2 недели назад
Зарегистрирован: 22.03.2008 - 22:15
Публикации: 54876

Спасибо за совет. А, то пациент, сильно интересуется.