Ваше мнение уважаемые коллеги?

Пол пациента: 
Тип патологии: 
Методы исследования: 

Ваше мнение уважаемые коллеги?

 

 

  • https://radiomed.ru/sites/default/files/styles/case_slider_image/public/user/12/32..P3240022.JPG?itok=m3qHZ6Qq
ID:1930
арнольд аватар
Не на сайте
Был на сайте: 1 год 11 месяцев назад
Зарегистрирован: 22.12.2008 - 16:50
Публикации: 196

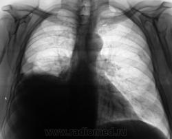
Гемопневмоторакс.

Dat.Dicat.Dedicat.

Катенёв Валентин Львович аватар
Не на сайте
Был на сайте: 7 лет 1 неделя назад
Зарегистрирован: 22.03.2008 - 22:15
Публикации: 54876

Томограммы.

 

 

Приложения: 
21..P3240024a.jpg22..P3240025a.jpg23..P3240028a.jpg24..P3240031a.jpg
Almo аватар
Не на сайте
Был на сайте: 16 часов 4 минуты назад
Зарегистрирован: 28.09.2008 - 18:50
Публикации: 8247

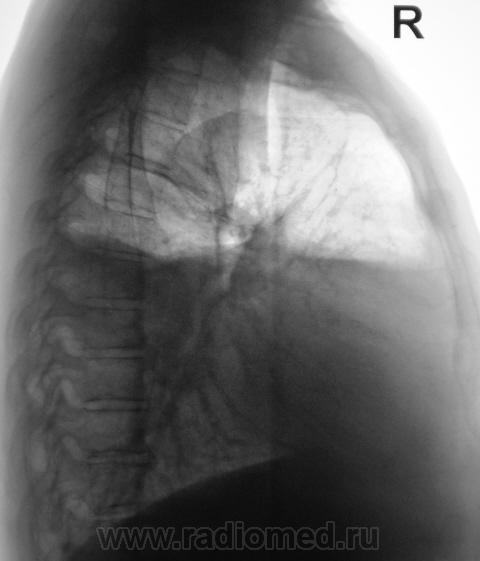
Признаков пневмоторакса по прямой R-грамме не нахожу( в наружном отделе среднего поля справа, явно не воздух т.к.тень значительно плотнее лёгочной ткани), по боковой проекции действительно видна жидкость с горизонтальным уровнем-может быть этот уровень имеет отношение к средостению? Случай непростой, нужна клиника и анамнез. 

Грицько Виталий аватар
Не на сайте
Был на сайте: 8 лет 11 месяцев назад
Зарегистрирован: 05.01.2010 - 14:06
Публикации: 1058

Уровень сохраняется горизонтальный за счет осумкования так как не растекается на томограммах.Пневмоторакс сомнителен. А вот причина плеврита ?

Игорь Иванович аватар
Не на сайте
Был на сайте: 3 года 9 месяцев назад
Зарегистрирован: 23.01.2010 - 14:56
Публикации: 3695

А где сегментарные бронхи 6-10 на томограммах?

арнольд аватар
Не на сайте
Был на сайте: 1 год 11 месяцев назад
Зарегистрирован: 22.12.2008 - 16:50
Публикации: 196

По ходу, снимок обрезали.... Да и на мониторе компа качество отличается, нежели вживую. Это предисловие...

По сути:

- вызывает сомнение полоса просветления в мягких тканях гр. клетки справа, там где стрелка виднеется;

- разница в плотности мягких тканей надключичной области;

- переломы ребер справа - мозолей не видно. С ребрами слева всё ясно.

Свернувшаяся гематома в плевральной полости не будет гулять(растекаться) - это что-то вроде холодца, имеется ввиду по плотности.То, что снимали стоя - говорит о более-менее стабильном состоянии бедолаги. 

О пневмотораксе говорит светлая полоса по краю легочного поля справа - там и не прослеживается легочной рисунок.(Во всяком случае на моём мониторе.

Вот ход моих мыслей!

Теперь жду камней......

Dat.Dicat.Dedicat.

Грицько Виталий аватар
Не на сайте
Был на сайте: 8 лет 11 месяцев назад
Зарегистрирован: 05.01.2010 - 14:06
Публикации: 1058

Как по моему изображению, судить о консолидации справа нельзя. Но слева переломы консолидированные.

Катенёв Валентин Львович аватар
Не на сайте
Был на сайте: 7 лет 1 неделя назад
Зарегистрирован: 22.03.2008 - 22:15
Публикации: 54876

Спасибо, уважаемые коллеги! Но дело в том, что пациент "свежую травму", в течение последнего года отрицает. Пациент, весьма не молодого возраста, ведет "добропорядочный" образ жизни - не пьёт, не дебоширит, не замечен...

ElenaG аватар
Не на сайте
Был на сайте: 15 лет 7 месяцев назад
Зарегистрирован: 23.02.2010 - 23:21
Публикации: 69

По видимому этот пациент отправлен в онкологию?не нравиться тень в глубоких отделах S 6,и следствие -жидкость.

Катенёв Валентин Львович аватар
Не на сайте
Был на сайте: 7 лет 1 неделя назад
Зарегистрирован: 22.03.2008 - 22:15
Публикации: 54876

Да, Вы правы коллега, пациент направлен в онкологию - ООД.