Ваше мнение уважаемые коллеги?

Пол пациента: 
Тип патологии: 
Методы исследования: 

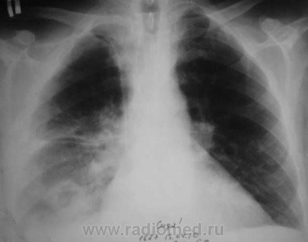
Пациенту в "области" была произведена операция по поводу "аденомы" предстательной железы. Через 3 дня после операции состояние пациента резко ущудшилось, была назначена рентгенография. Снимок ниже.

 

  • https://radiomed.ru/sites/default/files/styles/case_slider_image/public/user/12/2.Skimok.P4230016ab.jpg?itok=m26oJLDy
  • https://radiomed.ru/sites/default/files/styles/case_slider_image/public/user/12/3.Snimok.P4230017a.jpg?itok=zuMJ9zrY
  • https://radiomed.ru/sites/default/files/styles/case_slider_image/public/user/12/4.Snimok.P4230018a.jpg?itok=Wv3M9VOb
  • https://radiomed.ru/sites/default/files/styles/case_slider_image/public/user/12/5.Snimok.P4230018ab.jpg?itok=1MwkKvvt
ID:3326
Катенёв Валентин Львович аватар
Не на сайте
Был на сайте: 7 лет 3 недели назад
Зарегистрирован: 22.03.2008 - 22:15
Публикации: 54876

Из общения с пациентом.

Говорит, что на ноги встать не может, вот так ослаб...

Ермолаев аватар
Не на сайте
Был на сайте: 8 лет 10 месяцев назад
Зарегистрирован: 07.02.2009 - 16:33
Публикации: 670

Валентин Львович! Наверняка перед операцией пациенту выполнялась ФЛГ и там возрастная норма (надеюсь, что это так). Следовательно "аденома" не является причиной изменений в легких. Тогда остается холодная операционная и абсцедирующая пневмония правого легкого.

dok

Грицько Виталий аватар
Не на сайте
Был на сайте: 9 лет 1 день назад
Зарегистрирован: 05.01.2010 - 14:06
Публикации: 1058

Снимок до операции очень нужен.

Катенёв Валентин Львович аватар
Не на сайте
Был на сайте: 7 лет 3 недели назад
Зарегистрирован: 22.03.2008 - 22:15
Публикации: 54876

Здравствуйте Владимир Васильевич!

Спасибо за высказанное мнение. Я конечно, "раскрыл пасть" по поводу отсутствия "боковой". Но ОКБ, есть ОКБ, и они решили провести КТ.

Катенёв Валентин Львович аватар
Не на сайте
Был на сайте: 7 лет 3 недели назад
Зарегистрирован: 22.03.2008 - 22:15
Публикации: 54876

У пациента КТ не на диске, а распечатка. Вот и представляю так. как перефотографировал. Какое мнение будет уважаемые коллеги?

 

Приложения: 
61.Ne_.P4230021a.jpg62.Ne_.P4230022a.jpg63.Ne_.P4230023.JPG64.Ne_.P4230024.JPG65.Ne_.P4230025.JPG66.Ne_.P4230026.JPG67.Ne_.P4230027.JPG68.Ne_.P4230028.JPG
Катенёв Валентин Львович аватар
Не на сайте
Был на сайте: 7 лет 3 недели назад
Зарегистрирован: 22.03.2008 - 22:15
Публикации: 54876

Грицько Виталий wrote:
Снимок до операции очень нужен.

До операции - "норма".

Ермолаев аватар
Не на сайте
Был на сайте: 8 лет 10 месяцев назад
Зарегистрирован: 07.02.2009 - 16:33
Публикации: 670

Валентин Львович! Мне думается, что распечатка КТ на бумаге сама по себе уже не информативна и не предназначена для диагностики. Смысла ее перефотографировать абсолютно не имеется.

dok

Ермолаев аватар
Не на сайте
Был на сайте: 8 лет 10 месяцев назад
Зарегистрирован: 07.02.2009 - 16:33
Публикации: 670

Но все таки абсцедирующая пневмония!

dok

Катенёв Валентин Львович аватар
Не на сайте
Был на сайте: 7 лет 3 недели назад
Зарегистрирован: 22.03.2008 - 22:15
Публикации: 54876

Ермолаев wrote:

Валентин Львович! Мне думается, что распечатка КТ на бумаге сама по себе уже не информативна и не предназначена для диагностики. Смысла ее перефотографировать абсолютно не имеется.

Вы мудрый человек Владимир Васильевич.

КТ мне принесли для информации, так как пациент для динамики будет направлен на рентгенографию ОГК, чтобы я имел общее представление о патологическом процессе.

Грицько Виталий аватар
Не на сайте
Был на сайте: 9 лет 1 день назад
Зарегистрирован: 05.01.2010 - 14:06
Публикации: 1058

Ермолаев wrote:

Но все таки абсцедирующая пневмония!

Раз раньше норма полностью согласен. Мне кажется или там немного выпота?

Юозас аватар
Не на сайте
Был на сайте: 14 лет 7 месяцев назад
Зарегистрирован: 27.12.2009 - 18:46
Публикации: 43

Грицько Виталий wrote:

Ермолаев wrote:

Но все таки абсцедирующая пневмония!

Думаю, что да - это абсцесс легкого

Nela аватар
Не на сайте
Был на сайте: 6 лет 1 месяц назад
Зарегистрирован: 12.05.2009 - 20:43
Публикации: 1847

Объясните мне, не специалисту в пульмонологии, может ли абсцесс сформироваться за 3 дня. Или я что-то не так поняла? Видна дренированная полость, округлая, довольно четко отграниченная. В плевральной полости жидкость.

Катенёв Валентин Львович аватар
Не на сайте
Был на сайте: 7 лет 3 недели назад
Зарегистрирован: 22.03.2008 - 22:15
Публикации: 54876

Nela wrote:

Объясните мне, не специалисту в пульмонологии, может ли абсцесс сформироваться за 3 дня. Или я что-то не так поняла? Видна дренированная полость, округлая, довольно четко отграниченная. В плевральной полости жидкость.

А может быть, то не "полость"?

Катенёв Валентин Львович аватар
Не на сайте
Был на сайте: 7 лет 3 недели назад
Зарегистрирован: 22.03.2008 - 22:15
Публикации: 54876

Катенёв Валентин Львович wrote:

Nela wrote:

Объясните мне, не специалисту в пульмонологии, может ли абсцесс сформироваться за 3 дня. Или я что-то не так поняла? Видна дренированная полость, округлая, довольно четко отграниченная. В плевральной полости жидкость.

А может быть, то не "полость"?

С наличием выпота в плевральной полости согласен на все 100 %.

Ермолаев аватар
Не на сайте
Был на сайте: 8 лет 10 месяцев назад
Зарегистрирован: 07.02.2009 - 16:33
Публикации: 670

Уважаемая Nela! Двайте пойдем "логическим путем"(надеюсь, что вместе). Пожилой пациент готовится к плановой операции (аденомэктомии). Насколько мы знаем организацию нашего здравоохранения, перед плановой операцией пациент в амбулаторном порядке проходит кучу предоперационых исследований (анализы крови, мочи, ЭКГ, УЗИ простаты, почек, ФЛГ и т.д.). Если все в порядке и противопоказаний к оперативному вмешательству не имеется, пациента берут на операцию. Если имеются малейшие отклонения - то до их устранения. Если противопоказания не устранимы - пациенту в плановой операции может быть отказано. Пациента на операцию взяли, т.е. все в порядке, в том числе и в легких. Через три дня после операции мы видим представленную рентгенологическую картину. Деструкция легочной ткани. Абсцедирующая пневмония, абсцесс легкого. Смею Вас заверить, по собственному опыту, и у пациентов зрелого возраста и у молодых пациентов в послеоперационном периоде (3-5 дней) возможно развитие осложнения послеоперационного периода в виде пневмоний, в том числе абсцедирующих. Причина - чаще всего внутрибольничный стафилококк. Операция - ослабление иммунитета- внутрибольничная (очень злая, доморощенная, устойчивая к антибиотикам) стафилококковая инфекция. Вот и  пришли к конечной точке нашего пути.

dok

Катенёв Валентин Львович аватар
Не на сайте
Был на сайте: 7 лет 3 недели назад
Зарегистрирован: 22.03.2008 - 22:15
Публикации: 54876

Но, так как пациент затяжелел...

Его выписали для долечивания "по месту жительства". На носилках был доставлен в рентген-кабинет. Решили произвести рентгенографию в ортоположении, дабы "усечь" уровень жидкости в "абсцессе", ну, да и сам "абсцесс..."

Катенёв Валентин Львович аватар
Не на сайте
Был на сайте: 7 лет 3 недели назад
Зарегистрирован: 22.03.2008 - 22:15
Публикации: 54876

"Прямая" проекция.

 

Приложения: 
101.PR_.P4230001.JPG102._PR.P4230001a.jpg
Катенёв Валентин Львович аватар
Не на сайте
Был на сайте: 7 лет 3 недели назад
Зарегистрирован: 22.03.2008 - 22:15
Публикации: 54876

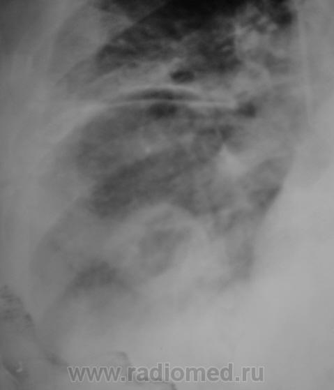
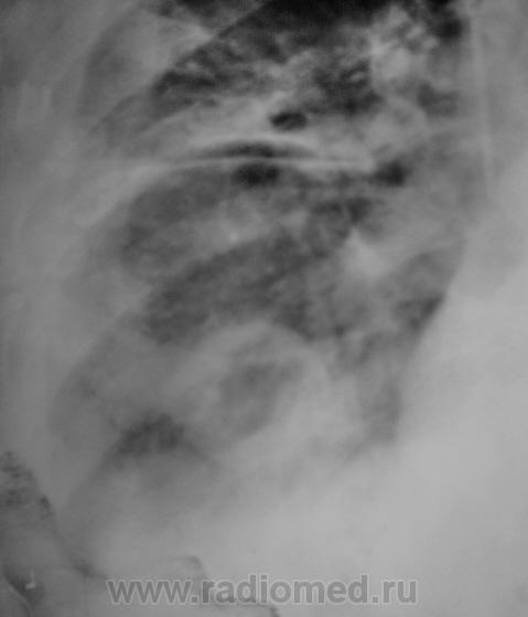
Боковая проекция.

 

Приложения: 
103.P4230002.JPG104.P4230002a.jpg105.P4230002ab.jpg
Лора аватар
Не на сайте
Был на сайте: 15 лет 6 месяцев назад
Зарегистрирован: 13.04.2010 - 17:39
Публикации: 31

явная положит. динамика деструктивн.восп. проц.,полость была и сейчас не опред. предыдущ."норма" м.б. и год назад и 3 дня назад,что уже не существенно. долечиваем и контролируем.

Больной от вскрытия отказался, выписывается под наблюдение участкового патологоанатома...

Nela аватар
Не на сайте
Был на сайте: 6 лет 1 месяц назад
Зарегистрирован: 12.05.2009 - 20:43
Публикации: 1847

Валентин Львович! Можно еще раз когда какие исследования были выполнены, с каким интервалом? Потому что на КТ я вижу вполне сформированную, хорошо дренированную полость абсцесса.

Катенёв Валентин Львович аватар
Не на сайте
Был на сайте: 7 лет 3 недели назад
Зарегистрирован: 22.03.2008 - 22:15
Публикации: 54876

Первый снимок и КТ - промежуток - 3 дня.

Последние снимки у нас - через 9 дней после КТ.

Катенёв Валентин Львович аватар
Не на сайте
Был на сайте: 7 лет 3 недели назад
Зарегистрирован: 22.03.2008 - 22:15
Публикации: 54876

Со слов.

У коллег из "области" возникала мысл о тромбоэмболии.

Лора аватар
Не на сайте
Был на сайте: 15 лет 6 месяцев назад
Зарегистрирован: 13.04.2010 - 17:39
Публикации: 31

а на д-димеры кровь брали?

Больной от вскрытия отказался, выписывается под наблюдение участкового патологоанатома...

Катенёв Валентин Львович аватар
Не на сайте
Был на сайте: 7 лет 3 недели назад
Зарегистрирован: 22.03.2008 - 22:15
Публикации: 54876

Лора wrote:

а на д-димеры кровь брали?

Такими сведениями не располагаю.

Nela аватар
Не на сайте
Был на сайте: 6 лет 1 месяц назад
Зарегистрирован: 12.05.2009 - 20:43
Публикации: 1847

Динамика прямо-таки не по дням, а по часам. А если это и впрямь стафилококк, да еще в пожилом возрасте, то пациент с ним прекрасно справился.

Almo аватар
Не на сайте
Был на сайте: 5 часов 15 минут назад
Зарегистрирован: 28.09.2008 - 18:50
Публикации: 8260

ИМХО: впечатление о значительной положительной динамике создаётся, на мой взгляд, по причине уменьшения объёма выпота в плевральной полости,вероятно потому, что в последней стоит катетер.Тень абсцесса хоть и стала меньше, но имеет ещё большие размеры.По КТ абсцесс виден и в нижнем поле левого лёгкого; картина самих абсцессов, их множественность, быстрое развитие( через 3 дня после оперативного вмешательства), вызывает подозрение на эмболию легочной артерии( о чём уже говорили коллеги из области).

Юрич аватар
Не на сайте
Был на сайте: 6 лет 5 месяцев назад
Зарегистрирован: 17.01.2010 - 09:55
Публикации: 351

согласен с ТЭЛА. На КТ подобное видел - субплеврально, полость деструкции с бронхо-сосудистым тяжем к корню легкого, жидкость в плевр полости, быстрая динамика...

Илья Васильевич Маршалко аватар
Не на сайте
Был на сайте: 13 лет 11 месяцев назад
Зарегистрирован: 25.04.2010 - 14:23
Публикации: 89

Здраствуйте, уважаемые коллеги .Согласен с абсцедирующей пневмонией с выраженнейшим выпотом, с положительной динамикой. Рентген и КТ-данных за ТЭЛА, по моему, нет

телу- мера, душе-Вера

Катенёв Валентин Львович аватар
Не на сайте
Был на сайте: 7 лет 3 недели назад
Зарегистрирован: 22.03.2008 - 22:15
Публикации: 54876

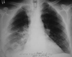
Сегодняшние снимки.

 

Приложения: 
51.Din_.P4300036.JPG51.Din_.P4300036.JPG52.Din_.P4300037.JPG
Катенёв Валентин Львович аватар
Не на сайте
Был на сайте: 7 лет 3 недели назад
Зарегистрирован: 22.03.2008 - 22:15
Публикации: 54876

Пациент выписывается из стационара с "улучшением"....

Проведен очередной рентген-контроль.

Ваше мнение коллеги?

Итак, верхний снимок - первичный у нас, средний в процессе лечения, нижний - сегодня.

Приложения: 
71..1.101.PR_.P4230001.JPG72..2.51.Din_.P4300036_0.JPG73..P5130041.JPG
Катенёв Валентин Львович аватар
Не на сайте
Был на сайте: 7 лет 3 недели назад
Зарегистрирован: 22.03.2008 - 22:15
Публикации: 54876

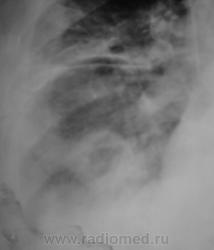
Боковые, в той-же последовательности.

 

Приложения: 
81..P4230002a.jpg82..Din_.P4300037.JPG83..P5130042.JPG
Катенёв Валентин Львович аватар
Не на сайте
Был на сайте: 7 лет 3 недели назад
Зарегистрирован: 22.03.2008 - 22:15
Публикации: 54876

Сегодня, анализируя боковую, ориентируясь на междолевые щели, вышла интересная картина. Бирюзовые - верхняя доля, желтые - средняя доля. Не заштрихованы - нижняя доля. Возник вопрос, а что-же она такая маленькая?

 

Приложения: 
_Segodnya..JPG
Makcimalist аватар
Не на сайте
Был на сайте: 11 лет 9 месяцев назад
Зарегистрирован: 08.05.2010 - 14:28
Публикации: 1994

Катенёв Валентин Львович wrote:

Сегодня, анализируя боковую, ориентируясь на междолевые щели, вышла интересная картина. Бирюзовые - верхняя доля, желтые - средняя доля. Не заштрихованы - нижняя доля. Возник вопрос, а что-же она такая маленькая?

 Вот-вот, неужели в правом гемитораксе нет жидкости - посмотреть бы в латеропозиции ( или пусть УЗИсты посмотрят).

 

--------------

"Просто, по видимости, не видеть логики в очевидных вещах - это тоже одно из свойств некоторых умов, наряду с грустными думами о свойствах ума других."  © Vega 08/10/2011

Makcimalist аватар
Не на сайте
Был на сайте: 11 лет 9 месяцев назад
Зарегистрирован: 08.05.2010 - 14:28
Публикации: 1994

Юрич wrote:

согласен с ТЭЛА. На КТ подобное видел - субплеврально, полость деструкции с бронхо-сосудистым тяжем к корню легкого, жидкость в плевр полости, быстрая динамика...

 Было бы похоже на инфаркт-пневмонию (за счёт тромбоэмболии мелких ветвеё ЛА) если бы не КТ ОГК (массивная полисегментарная инфильтрация и не одна полость).

Кстати инфаркт-пневмонии чаще рассасываются (если рассасываются) долго;  Rg изменения сохраняются при клиническом выздоровленииПодмигиваю.

--------------

"Просто, по видимости, не видеть логики в очевидных вещах - это тоже одно из свойств некоторых умов, наряду с грустными думами о свойствах ума других."  © Vega 08/10/2011

Катенёв Валентин Львович аватар
Не на сайте
Был на сайте: 7 лет 3 недели назад
Зарегистрирован: 22.03.2008 - 22:15
Публикации: 54876

Узисты - это хорошо, да и латеропозиция - не хило, но глаз зацепился за круглую тенюху и за соответствующий гарнир.

 

Приложения: 
100.P5130043.JPG101.P5130043a.jpg102.Tenyuha..JPG
Makcimalist аватар
Не на сайте
Был на сайте: 11 лет 9 месяцев назад
Зарегистрирован: 08.05.2010 - 14:28
Публикации: 1994

Тенюху назовём туберкуломой, гарнир проигнорируем пока...

  Если бы изменения локализовались в позвонках, рёбрах - то КТ-шники увидели бы (у нас смотрят всё что в срезе);

  странно, что на КТ-граммах туберкуломы не видать (спишу - на копию  с копии)...

--------------

"Просто, по видимости, не видеть логики в очевидных вещах - это тоже одно из свойств некоторых умов, наряду с грустными думами о свойствах ума других."  © Vega 08/10/2011

Катенёв Валентин Львович аватар
Не на сайте
Был на сайте: 7 лет 3 недели назад
Зарегистрирован: 22.03.2008 - 22:15
Публикации: 54876

"Тенюху назовём туберкуломой"...

Не хило... Туберкулома?